Книга Кости: внутри и снаружи, страница 37 – Рой Милз

Авторы: А Б В Г Д Е Ж З И Й К Л М Н О П Р С Т У Ф Х Ч Ш Ы Э Ю Я
Книги: А Б В Г Д Е Ж З И Й К Л М Н О П Р С Т У Ф Х Ц Ч Ш Щ Ы Э Ю Я
Бесплатная онлайн библиотека LoveRead.in

Онлайн книга «Кости: внутри и снаружи»

📃 Cтраница 37

Инженерия живой костной ткани пока лишь маячит на горизонте, а вот в ортопедической хирургии аддитивное наращивание уже применяют на практике. На основе данных, полученных путем МРТ или КТ, 3D-принтер может напечатать полномасштабную пластиковую модель разрушенной кости. Сидя за столом, ортопед изучает размеры и форму фрагментов перелома и планирует фиксацию. Особенно полезно 3D-моделирование для мест со сложными контурами, например для локтя, таза, пятки. Хирург спокойно рассматривает перелом со всех сторон, может заранее согнуть пластины, определить длину необходимых винтов и максимально эффективно провести операцию. Кроме того, полноразмерные модели – наглядное пособие для студентов и пациентов.

Не за горами тот день, когда с помощью технологий послойной печати врачи начнут делать индивидуальные устройства фиксации для сложных переломов. Затем появится возможность печатать уникальные протезы костей и суставов, а стандартные компоненты станут не нужны. Прежде ортопедические приспособления создавали традиционными методами, и это занимало не одну неделю. В будущем пациент с переломом запястья или лодыжки просто дождется, пока врач изготовит у себя в кабинете протез или скобу: сначала аппарат отсканирует под множеством углов место повреждения, затем данные отправятся на принтер, который напечатает точно подходящий по форме слепок любого цвета. Ортопедическое устройство надежно и бережно зафиксирует отекшую лодыжку и не будет давить на болевые точки.

Для изготовления ортопедических пластин и винтов – как стандартных, так и индивидуальных – мы научимся применять различные неметаллические материалы, в том числе легкое, прочное углеродное волокно. Оно рентгенопрозрачное, поэтому рентгеновские лучи проходят сквозь такие имплантаты, не создавая теней, что позволяет полностью визуализировать перелом даже под пластиной.

Рентгенопрозрачные имплантаты будут не просто индивидуальными – они исчезнут, сделав свое дело. Вспомним, как менялись ортопедические пластины и винты. Всего чуть более ста лет назад хирурги брали первые попавшиеся детали из мастерской или найденные у жен принадлежности для шитья. К сожалению, железо и алюминий быстро разрушались под действием соленой жидкости внутри организма. Затем появилась нержавеющая сталь, и ортопеды с энтузиазмом напридумывали уйму разных винтов и пластин. Позднее широкое распространение получили титановые устройства – об их преимуществах я уже рассказывал. А как насчет деталей, которые будут держать перелом ровно до тех пор, пока кость не заживет, а потом рассосутся?

Сразу после фиксации перелома имплантат обеспечит сопротивление сгибающим и скручивающим силам. По мере восстановления костной ткани пластина начнет постепенно исчезать, передавая механическую нагрузку на саму кость. Пьезоэлектрические силы, возникающие благодаря контролируемому напряжению, будут побуждать режущие конусы укреплять костную ткань. Со временем необходимость в пластине отпадет, и она полностью рассосется. Ученые уже десятки лет смешивают различные полимеры, в том числе получаемые из кукурузного крахмала, и отливают из них пластины и винты. Но инженерам еще предстоит подобрать рецепт, который соединит в себе достаточную прочность, минимальный объем, низкую реактивность тканей, а также долговечность и жесткость. Когда такой материал появится, хирург сможет печатать на 3D-принтере индивидуальные пластины, пока будет мыть руки и надевать халат и перчатки перед фиксацией перелома. Повторная операция, которая сегодня требуется для удаления металлических пластин и винтов, больше не понадобится: организм сам разберет биоразлагаемый фиксатор на молекулы.

Сейчас в любой больнице, где проводятся ортопедические операции, имеется целый арсенал специальных устройств: коробками и подносами с этими принадлежностями заставлены полки и шкафы. Пластины из титана и нержавейки варьируются по длине – от двух до тридцати сантиметров; винты также различаются резьбой и размерами – от трех миллиметров до десяти сантиметров. Что-то из этого никогда не пригодится, но на всякий случай нужно держать под рукой полный набор. Один 3D-принтер с запасом подходящего биоразлагаемого материала превратит этот склад металлических деталей в пережиток прошлого.

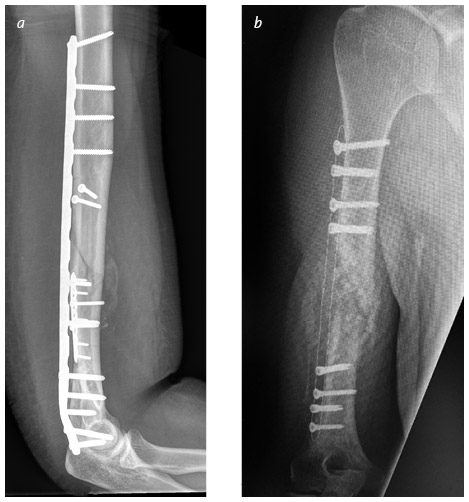
Иллюстрация к книге — Кости: внутри и снаружи [i_044.jpg]

Традиционные пластины из нержавеющей стали, длинная и короткая, фиксируют множественные переломы плечевой кости (a). Аналогичный перелом с инновационной пластиной из углеволокна, закрепленной обычными металлическими винтами. Пластина не задерживает пучок рентгеновских лучей и заметна только благодаря тонкой стальной проволоке по краям (b)

Clifton Meals, MD (a); Alidad Ghiassi, MD (b)


Малоинвазивная хирургия – еще одна область быстрого развития технологий. В ортопедии ее история началась с артроскопии коленного сустава: сделал пару небольших разрезов на коже, вставил световой меч и телекамеру, поработал тоненькими инструментами, вуаля – и спортсмен возвращается в игру. Тот же алгоритм используется при восстановлении мышц вращательной манжеты плеча.

Маленький разрез означает для пациента уменьшение боли и отечности тканей, снижение кровопотери и быстрое выздоровление, поэтому малоинвазивная хирургия продолжит развиваться. Однако руки хирурга не станут микроруками, и оперировать в тесном пространстве, например внутри таза, всегда будет сложно. Здесь на помощь придут роботы. Их манипуляторы и встроенные инструменты изумительно гибки и компактны. Они смогут филигранно работать через миниатюрный разрез, не устанут, не дрогнут. И все же, к огорчению некоторых неоперирующих врачей, хирургов роботы не заменят.

Робот действует не самостоятельно, следовательно, правильнее говорить не о роботизированной, а о компьютеризированной хирургии. Врач перестанет корпеть над операционным столом и, удобно расположившись за компьютером в операционной, будет управлять роботом с помощью джойстика на приборной панели. Когда-нибудь ортопеды начнут творить чудеса в дополненной реальности, сидя дома за кухонным столом или в отпуске, лежа под пальмой.

Основой дальнейших успехов в лечении заболеваний кости станут как уже появившиеся на горизонте инновации, так и технологии, которые сейчас даже невозможно себе представить. Но пока люди катаются на лыжах, мотоциклах и электрических скутерах, хирурги-ортопеды будут обеспечены работой.

Для лечения травм скелета требуется визуализация, но рано или поздно современные методы получения снимков костей устареют. Во всяком случае, я на это надеюсь. Рентген и КТ подвергают организм облучению, которое в больших дозах наносит вред. При проведении МРТ пациент долго лежит в шумном коконе. Ультразвук не позволяет заглянуть внутрь кости, и это ограничивает его применение. Эхо-импульсная ультразвуковая визуализация – еще один новый метод. В будущем он может прийти на смену денситометрии при диагностике остеопороза, что позволит повысить точность измерений и избежать радиационного облучения.

Идеальная методика визуализации кости вообще не будет связана с радиацией и другими вредными для организма и психики факторами: пациент на секунду замрет – и цветное трехмерное изображение внутренностей его организма готово. Звучит неправдоподобно? Возможно, но кто предвидел появление рентгена и МРТ?

Вход
Поиск по сайту
Ищем:
Календарь