Книга Вирусы и эпидемии в истории мира. Прошлое, настоящее и будущее, страница 73 – Майкл Олдстоун

Авторы: А Б В Г Д Е Ж З И Й К Л М Н О П Р С Т У Ф Х Ч Ш Ы Э Ю Я
Книги: А Б В Г Д Е Ж З И Й К Л М Н О П Р С Т У Ф Х Ц Ч Ш Щ Ы Э Ю Я
Бесплатная онлайн библиотека LoveRead.in

Онлайн книга «Вирусы и эпидемии в истории мира. Прошлое, настоящее и будущее»

📃 Cтраница 73

Эбола остается эндемическим заболеванием в Африке. Из более чем 5000 образцов крови, собранных у людей в Центральной Африке, почти четверть (25 %) дали положительный результат на вирус Эбола. Является ли крылан единственным естественным переносчиком для таких вирусов, как передается Эбола и в каких кустах прячется, все еще останется загадкой.

Эбола со своей высокой летальностью, отсутствием информации об ее происхождении, причинах периодических вспышек, способе передачи и неспособности предотвратить лихорадку или остановить ее, когда она началась, вызывает в воображении образ надвигающейся катастрофы. Такая реакция общественности напоминает события прошлого, связанные со вспышками желтой лихорадки и полиомиелита. Страх и ошеломление перед вирусом Эбола следуют из нашего незнания о том, как лечить, предотвращать или сдерживать болезнь – из нашей беспомощности. Возможность использования террористическими группами вируса Эбола в качестве биологического оружия усиливает ужас этой ситуации.

Глава двенадцатая. Хантавирус

Хантавирусы относятся к числу инфекционных агентов, обнаруженных на сегодняшний день в Соединенных Штатах и потенциально способных вызывать эпидемии1,2.

В 1993 году мужчина и женщина, живущие в резервации навахо в Каньон дель Муэрто, штат Нью-Мексико, внезапно заболели: их мучали высокая температура, боль в мышцах, головная боль и кашель. Вскоре их легкие наполнились жидкостью, они оба умерли от дыхательной недостаточности: сначала женщина, а пять дней спустя – мужчина. В ходе опроса, проведенного Министерством здравоохранения штата Нью-Мексико, было выявлено 20 аналогичных случаев острого респираторного дистресса в регионе, где смыкаются штаты Нью-Мексико, Аризона, Юта и Колорадо – так называемый район «Четыре угла». Как и в первых двух случаях, заболевшие были здоровыми молодыми людьми. Их средний возраст составлял 34 года. Из 20 инфицированных погибла половина.

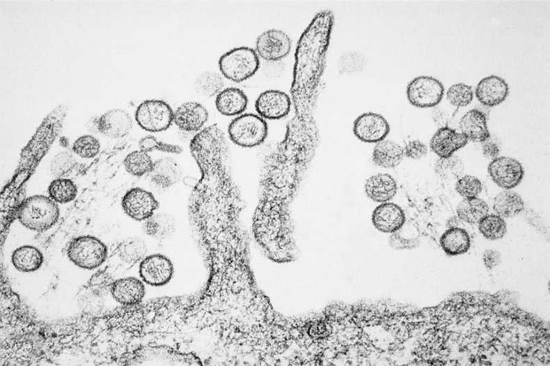
Рассмотрение историй болезни этих пациентов и анализ образцов крови и тканей при вскрытии вирусологами CDC показали, что причиной был один инфекционный агент. (Рисунок 12.1 на вклейке.) Этот агент был идентифицирован как хантавирус3, член семейства трансмиссивных вирусов Bunyaviridae4. Затем ученые, специалисты по молекулярным методам изучения генома вируса, сообщили, что выделенный хантавирус сильно отличается от известных штаммов, которые обычно вызывают геморрагические лихорадки и заболевания почек, но не острое повреждение легких. Обнаруженное заболевание было названо хантавирусным пульмональным синдромом1-3. Государственное наблюдение за хантавирусными инфекциями в Соединенных Штатах было тогда инициировано Центром инфекционных заболеваний. В 1995 году болезнь стали отслеживать и регистрировать на национальном уровне. К марту 1995 года в 20 штатах было выявлено около 106 пациентов с хантавирусным пульмональным синдромом, более половины из них погибли. Обычно симптомы включали лихорадку, мышечную боль, кашель, тошноту, рвоту и головную боль, которые продолжались от 4 до 15 дней и в итоге приводили к госпитализации пациентов. При поступлении в больницу у большинства пациентов отмечались лихорадка, низкое кровяное давление, малое количество тромбоцитов (клеток, необходимых для свертывания крови) и аномалии (если говорить точнее, инфильтраты) в легких, заметные на рентгеновских снимках. Какое-то время спустя у пациентов развивался отек легких: состояние, при котором легкие постепенно наполняются внесосудистой жидкостью. По сей день никто точно не знает, каким образом хантавирус провоцирует такие симптомы, хотя недавно обнаруженные свидетельства предполагают высвобождение определенных белков: возможно, цитокинов и хемокинов, которые во многом регулируют иммунный ответ организма. Во время воспаления, вызванного инфекцией, важную роль в патогенезе заболевания играет так называемый цитокиновый шторм. Никаких других методов лечения, кроме поддерживающей терапии и профилактики, для облегчения симптомов хантавирусной инфекции не существует. После того как информация о вирусе стала достоянием общественности, на юго-западе США сократился поток туристов, пришли в упадок соответствующие отрасли бизнеса. Поэтому первоначальное название вируса, «вирус четырех углов», отсылающее к региону, где болезнь возникла, было изменено. Вследствие политической и экономической необходимости сейчас вирус зовется Sin Nombre virus – «вирус без названия»1,5. Так «вирус четырех углов» обрел новую политическую корректность.

Иллюстрация к книге — Вирусы и эпидемии в истории мира. Прошлое, настоящее и будущее [i_028.jpg]

РИСУНОК 12.1. Электронная микрофотография хантавируса


К январю 2017 года в США было зарегистрировано 728 случаев заражения хантавирусом. 36 % всех зарегистрированных случаев заболевания хантавирусным пульмональным синдромом были летальными6. В настоящее время случаи зарегистрированы в 36 штатах. Более 96 % заболевших обнаружены в штатах к западу от реки Миссисипи. Сеульский хантавирус, родственник американского Sin Nombre virus, к апрелю 2017 года поразил 17 человек, а животные-переносчики (крысы) были обнаружены в 12 штатах, включая Колорадо, Джорджию, Иллинойс, Айову, Миннесоту, Миссури, Нью-Джерси, Пенсильванию, Южную Каролину, Теннесси, Юту и Висконсин. (Рисунок 12.2.)

Иллюстрация к книге — Вирусы и эпидемии в истории мира. Прошлое, настоящее и будущее [i_029.jpg]

РИСУНОК 12.2. Распределение случаев хантавирусной инфекции по американским штатам (по состоянию на январь 2017 года). Источник: https://www.cdc.gov/hantavirus/monitoring/reporting-state.html


То, что хантавирус вызывает геморрагическую лихорадку – это, в целом, не новость4. Данные китайских медиков позволяют предположить, что такой вирус существовал еще 1000 лет назад. В 1951–1953 годах во время войны в Корее об этом вирусе стало известно, когда у более чем 2000 военнослужащих ООН проявилась геморрагическая лихорадка. Передача болезни была установлена после того, как плазма и моча, взятые у больных, а затем введенные добровольцам, вызвали инфекцию в новом организме. Данные эпидемиологии свидетельствуют о том, что дикие грызуны или эктопаразиты переносят вирусный агент: его идентифицировали в 1976 году в легких полевых грызунов в Корее. Четыре года спустя вирус был выделен, выращен в культуре клеток и использован для разработки диагностического теста. Хотя вирус назван в честь реки Хантаан в Корее, его жертвами становились люди в Японии, России, Швеции, Финляндии и нескольких других европейских странах еще до вспышки в США. Хантавирусная инфекция также встречается в Южной Америке.

Олений хомячок (Peromyscus maniculatus), естественный переносчик хантавирусов, был пойман в районе «Четыре угла» и тщательно изучен1,5. Позже несколько сотен этих грызунов были отловлены в других местах, где возникал хантавирусный пульмональный синдром. У животных в крови нашлись антитела к вирусу, а в тканях – последовательности РНК, специфичные для хантавируса. Эта вирусная РНК у оленьих хомячков соответствовала последовательностям вирусной РНК, обнаруженным в легких пациентов, умирающих от болезни. Очевидно, зараза распространилась от мышей к людям, там, где пересеклись среды их обитания.

Вход
Поиск по сайту
Ищем:
Календарь