Книга Кости: внутри и снаружи, страница 8 – Рой Милз

Авторы: А Б В Г Д Е Ж З И Й К Л М Н О П Р С Т У Ф Х Ч Ш Ы Э Ю Я
Книги: А Б В Г Д Е Ж З И Й К Л М Н О П Р С Т У Ф Х Ц Ч Ш Щ Ы Э Ю Я
Бесплатная онлайн библиотека LoveRead.in

Онлайн книга «Кости: внутри и снаружи»

📃 Cтраница 8

Если ребенок страдает от пищевой недостаточности кальция или витамина D, нагрузка на банк кальция возрастает. У ребенка развивается рахит: размягчаются кости, возникают боли в суставах, искривляются ноги. На заре XX века эта болезнь бушевала в трущобах промышленных районов севера Европы и США. Дым от угольных печей и заводских труб застилал небо и не пропускал ультрафиолетовые лучи на узкие улочки переполненных городов.

Иллюстрация к книге — Кости: внутри и снаружи [i_015.jpg]

На фотографии 1912 года видны последствия рахита: кости, особенно те, что несут нагрузку, теряют прочность (a). В наши дни искривление костей предотвращают с помощью ортопедических скоб, которые устанавливают по бокам эпифизарных пластинок: рост кости со стороны колена со временем исправит проблему (b)

William Bulloch, Paul Fildes, N. Bishop Harman, W. Jobson Horne, Thomas Lewis, H. Rischbieth, W. C. Rivers, A. R. Urquhart, Amy Barrington, Julia Bell, Pearson, Treasury of Human Inheritance. Edited by Karl Pearson F.R.S. (London: Cambridge University Press, 1909) (a); Музей человека (b)


В конце концов ученые выяснили, что употребление в пищу сливочного масла, животных жиров и печени трески помогает избежать разрушения скелета при рахите. В 1922 году биолог из Университета Джона Хопкинса обнаружил в этих пищевых продуктах соединение, которое предотвращает и лечит эту болезнь. Так был открыт витамин D.

* * *

Пришло время посмотреть, как кости сами себя ремонтируют. Сердце, этот простой насос, на такое не способно: если оно переживет инфаркт, поврежденная область зарастет шрамом, который может нарушить работу сердечной мышцы, а кость после травмы, нагрузки и даже перелома полностью себя исцеляет, причем без всяких шрамов.

Я уже говорил, что кость, в отличие от построенного моста, может увеличить свою несущую способность. Как ей удается совершить такое крайне полезное чудо? Вы познакомились с остеобластами – это клетки, которые формируют костную ткань. Их антиподы – клетки-остеокласты. «Остео» в их названии, конечно, означает «кость», а «класт» переводится как «ломать». По сути, это разрушители костей. Если продолжить аналогию с банком, остеокласты – это воры, которые трудятся не покладая рук, когда их главарю, сердцу, нужна доза кальция. Еще остеокласты берутся за дело всякий раз, когда кость испытывает нагрузку.

Давайте присмотримся к этому удивительному процессу. Внутри костной ткани остеокласты и остеобласты образуют скопления – так называемые режущие конусы. Каждый из них можно сравнить с гигантским проходческим щитом, прокладывающим туннели метрополитена. За щитом следуют необходимые материалы и оборудование, которые укрепляют стены туннеля плотным бетонным покрытием. Если возникает трещина, можно раз за разом наносить новые слои – до тех пор, пока проход не станет слишком узким для поездов. У человека таких микроскопических щитов многие миллионы – все они поддерживают прочность кости и реагируют на механические нагрузки, воздействующие на наш скелет. На кончике конусов находятся разрушающие кость остеокласты, которые непрерывно бурят в кости крохотные проходы. За остеокластами тянутся остеобласты – они покрывают стенки концентрическими слоями новой костной ткани с перекрещивающимися волокнами коллагена. Этот принцип напоминает изготовление фанеры, только появился за миллионы лет до ее изобретения.

Когда выстилка костного туннеля завершена, посередине остается лишь узкий центральный канал. При жизни через этот канал проходят мелкие кровеносные сосуды, которые питают клетки костной ткани, расположенные между слоями. Эти каналы открыл в 1691 году британский врач Клоптон Гаверс – он разглядел их под лупой и описал в книге с пространным названием «Новая остеология, или Некоторые новые наблюдения относительно роста и питания костей». Сегодня мы заслуженно называем эти полости гаверсовыми каналами.

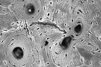
Иллюстрация к книге — Кости: внутри и снаружи [i_016.jpg]

Под микроскопом видно, что компактная костная ткань состоит из множества цилиндров, диаметр которых примерно в три раза больше толщины человеческого волоса. Эти цилиндры образованы концентрическими слоями кости вокруг центрального канала. Через каждый центральный канал проходят кровеносные сосуды, которые снабжают питательными веществами окружающие канал клетки (маленькие черные точки на фото)

Shutterstock.com


Режущие конусы не только формируют новую многослойную кость, но и постоянно восстанавливают и перестраивают старую. Представьте, что раскаленный докрасна камень падает на поверхность замерзшего пруда. Он растопит дыру и утонет, а вода снова замерзнет – получится пробка из свежего льда. Если продолжить разбрасывать камни, весь ледяной покров в конце концов обновится – некоторые пробки будут по нескольку раз меняться частично или полностью, в зависимости от места падения камней. На микроскопическом уровне процесс ремоделирования костей происходит в нашем организме непрерывно: дыры появляются и зарастают, снова возникают и снова заполняются. Однако, в отличие от случайно падающих на лед раскаленных камней, режущие конусы направляются именно туда, где кость нуждается в укреплении. Но откуда они знают направление?

До сих пор я делился своей страстью к костям, не прибегая к профессиональной лексике. К сожалению, я не знаю, как обойтись без слова «пьезоэлектрический», которое образовано от греческого и означает «сжимать» или «давить». При сжатии в некоторых кристаллах возникает электрический заряд. Этим свойством обладает и гидроксиапатит. Под давлением кристаллы гидроксиапатита в костной ткани становятся чуточку наэлектризованными – это происходит всякий раз, когда вы делаете шаг и какая-то часть кости сопротивляется гравитации. Режущие конусы чувствуют электрическое поле и направляются в нужную сторону. Представьте, например, игру в теннис. Кости руки, которая держит ракетку, испытывают толчок от каждого удара по мячу. Возникает прямой пьезоэффект, и это служит сигналом для конусов, что надо поработать в «зоне сотрясения» и сделать новую кость, способную противостоять незнакомым силам. В другой руке пьезоэлектрических зарядов гораздо меньше, поэтому конусы будут пребывать там в режиме ожидания. Со временем кости бьющей руки станут заметно плотнее и толще. Проницательный немецкий хирург по имени Юлиус Вольф заметил это явление в конце XIX века, когда такие изменения еще нельзя было увидеть на рентгеновских снимках. Закон, названный в его честь, прост: кость реагирует на прилагаемую нагрузку. Больше нагрузки – кость сильнее, насколько позволяют режущие конусы, меньше нагрузки – кость слабее. Ну как, захотелось сыграть в теннис?

Нам настойчиво рекомендуют заниматься физкультурой для поддержания костной массы именно потому, что физические упражнения вызывают настоящий пьезоэлектрический шквал. Даже легкая прогулка стимулирует электрическую активность в нижних конечностях, тазе и позвоночнике. Режущие конусы чувствуют эти сигналы, видят необходимость повысить сопротивление при ходьбе и укрепляют кости, которые испытывают повторяющиеся механические нагрузки. Постойте немного на одной ноге – конусы поймут намек и примутся за дело. Гидроксиапатиту нужен небольшой толчок, чтобы вырабатывать пьезоэлектричество, но для этого достаточно даже умеренного воздействия, например бега трусцой или энергичной ходьбы. А вот плавание и езда на велосипеде недостаточно стимулируют режущие конусы, хотя и полезны для здоровья.

Вход
Поиск по сайту
Ищем:
Календарь