Книга Сотворение Земли. Как живые организмы создали наш мир, страница 17 – Андрей Журавлев

Авторы: А Б В Г Д Е Ж З И Й К Л М Н О П Р С Т У Ф Х Ч Ш Ы Э Ю Я
Книги: А Б В Г Д Е Ж З И Й К Л М Н О П Р С Т У Ф Х Ц Ч Ш Щ Ы Э Ю Я
Бесплатная онлайн библиотека LoveRead.in

Онлайн книга «Сотворение Земли. Как живые организмы создали наш мир»

📃 Cтраница 17

И первая ледниковая эра (гляциоэра) — гуронская — не заставила себя ждать. Она наступила 2,43–2,24 млрд лет назад, и с нее, по сути, начинается протерозой. Названа эта эра по ледниковым отложениям полуторакилометровой мощности, сформировавшимся на Канадском щите в районе современного озера Гурон. Слово «эра» подчеркивает, что это не было однократное событие: каждая гляциоэра длительностью в десятки и сотни миллионов лет включала несколько ледниковых периодов, подобных по временны́м рамкам нынешнему, начавшемуся 2,6 млн лет назад (14 млн лет назад — в Южном полушарии) и еще далеко не закончившемуся, и межледниковий.

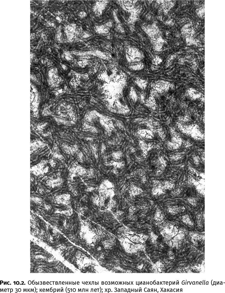
Затем уровень углекислого газа значительно поднялся. Об этом свидетельствуют сами организмы, жившие в ту пору, 1,4–1,2 млрд лет назад. Так, изотопная подпись углерода из оболочек планктонных эукариот — акритарх — отражает фракционирование изотопов при парциальном давлении двуокиси углерода, в 10–200 раз превышавшем современное. Цианобактерии с обызвествленными чехлами уточняют эту цифру: все-таки не в 200 раз, а скорее в 10 (сегодняшняя атмосфера содержит 0,04 % СО2). Именно при содержании этого газа на уровне 0,36 % и ниже у цианобактерий возникает механизм концентрации углерода, включающий активный перенос бикарбоната в клетку и его преобразование в двуокись углерода, что сопровождается выделением ионов гидроксила и, как следствие, понижением кислотности среды и осаждением карбоната кальция. Этот минерал и образует известковую оболочку вокруг бактериального чехла (рис. 10.2).

Иллюстрация к книге — Сотворение Земли. Как живые организмы создали наш мир [i_021.jpg]

Вновь масштабные оледенения охватили Землю в неопротерозое — в криогеновом (от греч. κρύος — холод и γένος — род, происхождение) и начале эдиакарского периода. Действительно охватили, судя по распространению ледниковых отложений — тиллитов-дропстоунов-варвитов, а также морозобойных клиньев, следов ледникового выпахивания (параллельных борозд на прочных коренных породах, процарапанных при движении по ним массы льда с захваченными каменными обломками), узорчатых грунтов (полигональной системы трещин, возникших при многократном промерзании и оттаивании грунта) и, конечно, морен (нагромождений валунов и галек, собранных ледником по мере движения). С этими отложениями сопряжены и железные руды, снова полосчатые. Но на этот раз железо поступало с суши, где в межледниковые эпохи выветривались базальты, богатые железом и неодимом. Присутствие последнего и указывает на источник металлов.

Ледниковые шапки простирались от полюсов до экватора: например, в Австралии ледники находились на широте 7,5–8,4 (рис. 10.1, 10.3). Отмечаются три основных оледенения: стертское, маринойское и гаскьеское (720–660, 640–635 и 580 млн лет назад соответственно).

Иллюстрация к книге — Сотворение Земли. Как живые организмы создали наш мир [i_022.jpg]

Отложения каждого из трех ледниковых периодов перекрыты маломощным (<5 м) пластом венчающего доломита с резко отрицательным соотношением изотопов углерода. В таком доломите находят полости со сростками-ботриоидами огромных арагонитовых кристаллов (до 20 см длиной), обильные пластовые трещины (полости, теперь, конечно, заполненные морским цементом, между пластами), странные трубчатые структуры, так и названные тубстоунами, а также темпеститы (от англ. tempest — буря) — отложения, образовавшиеся в результате взламывания ураганами уже затвердевшего карбонатного дна. Если попытаться представить, в каких условиях могли образоваться венчающие доломиты, чтобы в них проявились подобные признаки, можно сделать вывод, что, скорее всего, то были жаркие условия (арагонитовые ботриоиды), когда в океанах зарождались грандиозные торнадо (темпеститы), а на мелководных шельфах быстро таяли метангидраты (кристаллические соединения метана с водой) и по трещинам (тубстоуны и пластовые трещины) в морском дне на поверхность устремлялись потоки метана. Также аномальная изотопная подпись углерода является следствием фракционирования изотопов этого элемента между газом и ионами карбоната при возросшем парциальном давлении СО2 и повысившейся температуре.

Высокий уровень углекислого газа подтверждается и другой изотопной аномалией, характерной для барита (сульфата бария), встречающегося в венчающем доломите, — Δ17О с негативными значениями до –0,70‰, небывалыми для всей последующей истории Земли. Современные значения Δ17О (+5,84‰) в сульфатах обусловлены окислением серосодержащих газов в тропосфере. Для того чтобы этот показатель снизился до –0,70‰, фракционирование должно происходить при аномально высоком парциальном давлении СО2 — в 750 раз выше нынешнего. При таком уровне СО2 тропосфера обогащается стратосферным кислородом с негативным показателем Δ17О, образование молекул которого из озона сопровождается независимым от массы фракционированием изотопов этого элемента. А избыточный углекислый газ как раз мог образоваться за счет окисления метана.

Получается не один парадокс — экваториальные ледники, а все два, включая быструю, в течение нескольких тысяч лет смену ледниковых условий парниковыми. Есть множество гипотез, объясняющих эту совокупность явлений, но нельзя сказать, что причина установлена. Понять механику криогеновых глобальных оледенений, однако, необходимо. Иначе все попытки предсказать даже ближайшее климатическое будущее Земли лишаются смысла.

Гипотезы о причинах криогеновых похолоданий можно разбить на четыре группы: астрофизические, тектонические, физико-химические и биосферные. Первые сводятся в основном к «мечтательным умствованиям» (выражение заимствовано у Венедикта Ерофеева): а что, если у Земли было ледяное кольцо, как у Сатурна? Или: а что, если ось вращения планеты лежала ближе к плоскости ее орбиты (≥54° вместо нынешних 22–24°), как у Урана? В обоих случаях оледенения наступали бы в низких широтах либо из-за тени от кольца, либо от слабого теплового потока вблизи экватора.

Каких-либо способов удостовериться, что «в той степени, в которой научное высказывание говорит о реальности, оно должно быть фальсифицируемо, а в той степени, в которой оно не фальсифицируемо, оно не говорит о реальности» (выражение заимствовано у Карла Поппера), авторами большинства гипотез, увы, не предлагается. Геологические данные, подтверждающие подобные идеи, отсутствуют. Точнее, они есть, но свидетельствуют как раз об обратном. Так, при положении оси вращения Земли под острым углом к плоскости ее орбиты полярная область, обращенная к Солнцу, за день бы прогревалась до точки кипения воды, а в тропиках, пусть и получавших меньше тепла, все равно бы наступала пара «курортных» сезонов — во время весеннего и осеннего равноденствия. Тогда бы ледниковые щиты нарастать не успевали, а центры накопления карбонатов и эвапоритов сдвинулись бы к полюсам. Ничего подобного в ископаемой летописи не наблюдается. Не «выручило» бы и ледяное кольцо: вследствие наклона оси тень от него падала бы лишь на зимнее полушарие, что тоже не способствует глобальному оледенению. Это явление определяется не суровыми зимними морозами, а низкими летними температурами, чтобы зародившийся ледник не успевал растаять. (Не зима должна быть долгой, а лето должно быть коротким.) И не будем забывать об относительной стабильности системы Луна — Земля — Солнце, которая исключает резкие колебания наклона оси планеты, но обеспечивает плавную, с периодом 26 000 лет, смену положения оси вращения планеты — прецессию. Прецессия тоже смягчала бы зимы при наличии ледяного кольца.

Вход
Поиск по сайту
Ищем:
Календарь