Книга Деменция. Диагностика и лечение, страница 46 – Мария Чухловина

Авторы: А Б В Г Д Е Ж З И Й К Л М Н О П Р С Т У Ф Х Ч Ш Ы Э Ю Я
Книги: А Б В Г Д Е Ж З И Й К Л М Н О П Р С Т У Ф Х Ц Ч Ш Щ Ы Э Ю Я
Бесплатная онлайн библиотека LoveRead.in

Онлайн книга «Деменция. Диагностика и лечение»

📃 Cтраница 46

В крови комплекс серологических реакций (КСР) 4+, РИФ (реакция иммунофлуоресценции) 4+. При исследовании цереброспинальной жидкости: цитоз 20 в 1 мм3, белок 0,66 г/л; КСР4+, РИФ4+. Консультация дерматовенеролога: сифилис вторичный, ранний; менинговаскулярный сифилис. Проведено лечение: пенициллин по 1 млн ЕД внутривенно шесть раз в сутки двенадцать дней, затем бензилпенициллин, натриевая соль, по 10 млн ЕД внутривенно капельно два раза в день в течение двух недель. Под влиянием терапии отмечена положительная динамика неврологической симптоматики: уменьшились проявления сенсомоторной афазии, увеличилась мышечная сила в правых конечностях. При повторном осмотре пациент ориентирован в месте и времени, выявляются элементы сенсомоторной афазии, выполняет задания. Нейропсихологическое обследование: суммарный балл по КШОПС – 20, батарея лобных тестов – 10 баллов, тест рисования часов – 8 баллов. Следовательно, выявлены когнитивные расстройства – деменция легкой степени. После выписки из стационара пациент наблюдается в кожно-венерическом диспансере (отмечено снижение титра КСР) и неврологом поликлиники.

В данном клиническом примере недооценка анамнеза (неполный курс лечения вторичного сифилиса), результатов серологического исследования крови, отсутствие ликворологического обследования не позволили поставить правильный диагноз в течение двух предыдущих госпитализаций в неврологические стационары, что привело к тяжелой инвалидизации пациента с развитием деменции легкой степени. Когнитивные и психические нарушения при нейросифилисе подробно описаны в работе [73]. В наших исследованиях выявлены случаи возникновения нейросифилиса у пациентов, получивших полный курс лечения по поводу сифилиса, но развивших состояние серологической резистентности.

В совместной работе с М. В. Савиной и Б. М. Никифоровым [182] нами было показано, что одновременно с ростом случаев нейросифилиса возрастает серологическая резистентность после лечения сифилиса. В последние годы отмечено учащение серологической резистентности и частоты нейросифилиса, что связывают с использованием в России с 1996 г. антибиотика пролонгированного действия бензатинбензилпенициллина (ретарпен, экстенциллин, бициллин-1). Установлено, что он поддерживает трепонемоцидную концентрацию пенициллина в сыворотке больного в течение пяти дней после однократной инъекции в дозе 2 400 000 МЕ, а по инструкции вводят его один раз в семь дней независимо от стадии сифилитической инфекции, недостаточно эффективно проникает через гематоэнцефалический барьер.

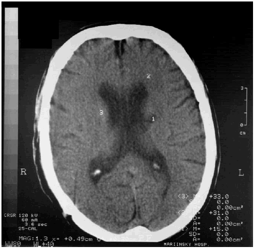
По нашим данным, полученным совместно с дерматовенерологом Л. Ф. Угрюмовой, в последние годы наблюдается рост менинговаскулярных форм нейросифилиса, ассоциированных с выраженными когнитивными расстройствами. В настоящее время не только в нашей стране, но и за рубежом отмечается нередко малосимптомный дебют нейросифилиса в виде единичных эпилептических приступов, хронической головной боли, изолированной атрофии зрительных нервов, корковой атаксии, с постепенным развитием когнитивных расстройств. В этих случаях результаты КТ головного мозга зачастую не выявляют патологических изменений или обнаруживается картина умеренной гидроцефалии и церебральной атрофии. На рис. 9.3 представлена КТ головного мозга пациента с нейросифилисом и умеренной деменцией, выявляется выраженная внутренняя гидроцефалия.

Иллюстрация к книге — Деменция. Диагностика и лечение [i_009.jpg]

Рис. 9.3. КТ головного мозга у пациента с нейросифилисом и деменцией


Менинговаскулярный сифилис, связанный с окклюзирующим сифилитическим артериитом, следует дифференцировать с острыми нарушениями кровообращения головного и спинного мозга, обусловленными распространенным атеросклерозом и гипертонической болезнью [177, 182]. В пользу сифилитического характера поражения сосудов говорят молодой возраст больных, нормальные цифры артериального давления, чаще постепенное начало заболевания, ремиссии, полиморфизм симптомов, положительные результаты серологических исследований в крови и в ликворе (особенно реакция иммобилизации бледных трепонем, выявляемая у большинства пациентов с сосудистым нейросифилисом). В дифференциальной диагностике нуждаются и случаи прогрессивного паралича, она особенно сложна у пациентов, у которых психические симптомы предшествуют неврологическим. Дифференциальный диагноз труден при атипических случаях, в частности когда прогрессивный паралич развивается в раннем или, наоборот, позднем возрасте. В начальном периоде прогрессивного паралича иногда возникает необходимость проведения дифференциального диагноза с неврастенией. Однако неврастения не сопровождается стойкими изменениями интеллекта, глазной симптоматикой (прямой симптом Аргайла Робертсона, деформация зрачка), изменениями ликвора. Дальнейшее развитие прогрессивного паралича требует проведения дифференциальной диагностики с деменциями различного генеза. При этом фактическая выявляемость нейросифилиса значительно выше данных официальной статистики и во многом зависит от согласия пациентов на диагностическую люмбальную пункцию.

9.4. ВИЧ-инфекция и когнитивные расстройства

Актуальной проблемой современной медицины является увеличение заболеваемости ВИЧ-инфекцией [25, 141]. По данным ВОЗ, в 2006 г. в мире зарегистрировано 33,2 млн лиц с ВИЧ-инфекцией, в год выявляется около трех миллионов новых случаев заражения [370]. Спустя шесть лет после описания синдрома иммунодефицита (СПИД) человека в Западной Европе и в США в 1987 г. впервые был диагностирован такой пациент в СССР. К 1988 г. количество ВИЧ-инфицированных в нашей стране составило 80 человек, в 1998 г. – 8313, в 2004 г. – 280 тыс., и число этих пациентов неуклонно увеличивается. Доказано, что эпидемия ВИЧ-инфекции приняла особенно интенсивный характер в регионах, где сосредоточен крупный капитал и широко развит наркобизнес; в Российской Федерации зарегистрировано 350 тыс. ВИЧ-инфицированных, из них больше 15 тыс. – это дети [132]. Сначала основным путем передачи заболевания был половой, сейчас большинство зараженных – это лица, злоупотребляющие наркотиками, которые вводятся внутривенно, инфицирование происходит парентерально. Кроме того, ВИЧ-инфекция передается трансплацентарно плодам от зараженных вирусом матерей. Считается, что от инфицирования вирусом иммунодефицита человека до клинических проявлений СПИДа в среднем проходит около десяти лет. По нашим данным, участились случаи госпитализации ВИЧ-инфицированных пациентов с направительными диагнозами: острое нарушение мозгового кровообращения, подозрение на опухоль головного мозга в неврологические отделения, где у таких больных выявлялись абсцессы головного мозга.

Поражения нервной системы у пациентов со СПИДом встречаются часто, по данным различных авторов, в 40–95 % случаев [232]. Спектр неврологических проявлений достаточно широк, включает поражения нервной ткани, непосредственно обусловленные вирусом СПИДа, связанные с иммуносупрессией и развитием других инфекционных заболеваний, а также расстройства со стороны нервной системы как результат побочных эффектов проводимой терапии. Считается, что в 20 % случаев СПИД может манифестировать именно поражением нервной системы. Когнитивные расстройства при ВИЧ-инфекции возникают обычно при следующих клинических вариантах: острый энцефалит, подострый энцефалит – СПИД-ассоциированная деменция или СПИД-дементный комплекс, ВИЧ-энцефалопатия.

Вход
Поиск по сайту
Ищем:
Календарь