Книга О чем молчит печень. Как уловить сигналы самого крупного внутреннего органа, который предпочитает оставаться в тени, страница 38 – Сергей Вялов

Авторы: А Б В Г Д Е Ж З И Й К Л М Н О П Р С Т У Ф Х Ч Ш Ы Э Ю Я
Книги: А Б В Г Д Е Ж З И Й К Л М Н О П Р С Т У Ф Х Ц Ч Ш Щ Ы Э Ю Я
Бесплатная онлайн библиотека LoveRead.in

Онлайн книга «О чем молчит печень. Как уловить сигналы самого крупного внутреннего органа, который предпочитает оставаться в тени»

📃 Cтраница 38

Отклонения анализа подтверждают отсутствие проблем с печенью. Потребуются дополнительные анализы, подтверждающие нарушения обмена веществ (ЛДГ фракции, ЛДГ-5, МВ-КФК).


Таблица 8. Расширенный анализ для определения болезней печени

Иллюстрация к книге — О чем молчит печень. Как уловить сигналы самого крупного внутреннего органа, который предпочитает оставаться в тени [i_095.jpg]
Шаг 2
УЗИ: где мы? ничего не видно!

За последние годы УЗИ стало настолько доступно и широко распространено, что его делают и по делу, и не по делу. И те, кто реально умеет пользоваться аппаратом, и даже те, кто видит датчик впервые, – все неплохо справляются с тем, чтобы водить датчиком по животу и писать весьма общие заключения, зачастую одинаковые для всех. Наверняка после УЗИ у вас найдут диффузные изменения печени и диффузные изменения поджелудочной железы, а еще перегнутый желчный пузырь.

Кроме того, если у человека существуют проблемы с кишечником или нарушение стула, то в животе находится большое количество газов. Мы помним о том, что УЗИ – методика звуковая, точнее, ультразвуковая. Поэтому дополнительные газы, а следовательно, шумы и звуки в животе и кишечнике будут значительно затруднять осмотр печени с помощью датчика. Видно ничего не будет, будут лишь сплошные помехи и разводы.

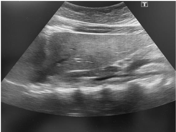
Иллюстрация к книге — О чем молчит печень. Как уловить сигналы самого крупного внутреннего органа, который предпочитает оставаться в тени [i_096.jpg]

Рис. 62. Внешний вид печени на УЗИ


Но на самом деле не все так пессимистично, моя задача – лишь предостеречь вас от ложных и некорректных результатов. Поэтому помните: во-первых, главное и ключевое, что надо получить от УЗИ, – это цифры размеров печени. Они могут отличаться у людей разного роста, веса и размера. И это нормально, потому что печень находится в пропорции к размерам тела. Если вдруг вы увидите несоответствие печени нормативным размерам в пределах одного-двух сантиметров, это не страшно, если вписывается в рамки конституции и строения тела. Но если размеры увеличены или уменьшены более чем на один-два сантиметра, стоит реально задуматься о причинах происходящих изменений. Смотрите табл. 9.

Иллюстрация к книге — О чем молчит печень. Как уловить сигналы самого крупного внутреннего органа, который предпочитает оставаться в тени [i_097.jpg]

Рис. 63. Ультразвуковое исследование печени


Таблица 9. Размеры печени по УЗИ

Иллюстрация к книге — О чем молчит печень. Как уловить сигналы самого крупного внутреннего органа, который предпочитает оставаться в тени [i_098.jpg]

Второе, что интересует на УЗИ, – это размеры вен. Главная вена печени находится прямо на входе в печень, как ворота, поэтому называется воротной. Ее размер ни от чего не зависит и должен четко вписываться в 12 мм. Увеличение размера этой вены будет говорить о серьезных проблемах с печенью, сильном фиброзе или циррозе.

В-третьих, необходимо определить такой показатель, как эхогенность. Сложно объяснить это ближе к реальности, поэтому обычно прибегают к сравнению с яркостью. Насколько ярко светится печень по сравнению с эталоном, которым в животе выступают почки. Если печень ярче почек, то эхогенность повышена. Количественно этот показатель, к сожалению, не измеряется. Повышение эхогенности означает либо избыток накопленного в печени жира, либо какое-то другое воспаление и разрушение клеток печени. Причины мы уточняем по анализам.

И четвертое, не менее важное: структура печени должна быть однородной, как паштет. Если вдруг в печени видят некий очаг другой, измененной структуры, любую неоднородность, то доктор должен указать размер в трех плоскостях и сегмент печени, в котором найдено образование. А что делать с ним, читайте дальше.

Если вам повезло и аппарат УЗИ достаточно мощный, то он имеет допплер-режим и может проверять качество кровотока в печени. Определить наличие кровотока нужно в печеночной вене и сосудах и в образованиях, если их нашли.

Что делать, если нашли гепатоз или увеличение печени?

Несмотря на то что большинство людей делают УЗИ живота или брюшной полости не просто так, а пытаясь найти причину своего плохого самочувствия, то есть в поисках болезни, все очень удивляются, когда видят проблему с печенью. Поэтому первым делом нельзя впадать в панику, и уж точно не стоит думать сразу о циррозе печени. Самые частые находки на УЗИ – это гепатоз или диффузные изменения печени, просто увеличение ее самой или какие-то образования внутри органа. Про образования в печени читайте дальше, это отдельная история, предполагающая ряд последовательных действий. А с гепатозом и увеличением придется разобраться сейчас.

Для начала давайте вспомним, что печень неровная, да еще и неправильной формы, и находится внутри так, что не подлезешь. Поэтому и вопрос изменений стоит очень криво. Обычно измеряют максимальные размеры и стараются сделать это по прямой линии. Вспомним геометрию: если измерение будет не под прямым углом, то размер, очевидно, становится больше. Таким образом, погрешность в измерении присутствует в пределах одного-двух сантиметров.

Если размер увеличен на несколько миллиметров, об этом спокойно можно забыть. Если на несколько сантиметров, то лучше перепроверить с помощью томографии. Для измерения размеров подойдет и компьютерная томография (КТ), и магнитно-резонансная томография (МРТ). Конкретно для размеров принципиальной разницы нет. На этих обследованиях будет множество срезов, их можно будет покрутить с разных сторон и измерить размер более корректно.

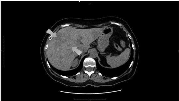
Иллюстрация к книге — О чем молчит печень. Как уловить сигналы самого крупного внутреннего органа, который предпочитает оставаться в тени [i_099.jpg]

Рис. 64. Очаги внутри печени – неоднородная структура


Также помним о том, что нормативы размеров среднестатистические, поэтому разумные отклонения габаритов печени у здоровых людей возможны. То есть при увеличении размеров нужно убедиться в отсутствии заболевания печени по анализу крови.

Если же мы говорим о гепатозе, когда на УЗИ нашли диффузные изменения структуры печени, то здесь встает вопрос о подготовке кишечника. Вспомним, что перед УЗИ нужно было не есть в течение шести часов и не пить в течение четырех часов. Если этого не было сделано, то, во-первых, не видно желчный пузырь, а во-вторых, на проекции печени могут быть помехи. Их однозначно расценят как диффузные изменения. Кроме того, если человек страдает от запоров или задержки стула, а также последнее время имел вздутие в животе и газообразование или диарею (понос), то кишечник гарантированно и однозначно даст помехи на печень. И это в очередной раз будет видно на УЗИ как диффузные изменения печени. Причем тут нужно отметить, что в такой ситуации врач не виноват. Это особенность самой методики ультразвукового обследования.

Вход
Поиск по сайту
Ищем:
Календарь