Онлайн книга «О чем молчит печень. Как уловить сигналы самого крупного внутреннего органа, который предпочитает оставаться в тени»
|
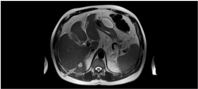
И человек может его получить таким же способом – с немытыми руками, из травы, с растениями с огорода или с пашни, с непромытыми овощами или фруктами, выпив некипяченой воды или просто погладив собаку. И хуже быть ничего не может! Потому что тогда он становится промежуточным хозяином паразита, и его должен съесть волк. Эхинококки выходят из яиц и по уже известной нам дороге – по воротной печеночной вене – попадают из кишечника прямо в печень. И ждут там волка! Именно благодаря печени не происходит заражение паразитами всего организма, печень оставляет их в себе. ![]() Рис. 45. Места обитания эхинококка и расположения кист паразита Эхинококки образуют большущее гнездо с личинками, оно называется эхинококковой кистой печени. В нем есть центральный пузырь с недозревшими личинками и множество внутренних пузырей с более взрослыми личинками. Самое опасное, что может случиться, – это разрыв кисты, который возникает у одного из четырех носителей эхинококка. Это приводит к кровотечению, аллергическому шоку и распространению дочерних кист по всему организму. Да, кисту с личинками эхинококка должен съесть волк. Он их съест, паразиты попадут к нему в кишечник и будут жить долго и счастливо, продолжая выделять яйца во внешнюю среду. Но, как вы понимаете, съесть человека волку сложно. С одной стороны, это хорошо, а с другой – плохо, ведь киста с личинками будет продолжать расти и повреждать печень. Размер таких кист от 10 до 30 см. Немало. Больше просто никто не ждал, киста большего размера начинает сдавливать кровеносные сосуды, артерии, вены, желчные протоки и лимфатические пути, обычно тогда делают обследование и находят этого эхинококка. Кисту с эхинококками, безусловно, удаляют хирурги. Есть и специальные кожные пробы, чтобы определить эхинококка в том случае, если кисты появились в других органах. Обычно сами кисты хорошо видны на УЗИ и лучше всего – на компьютерной томографии, но только с контрастом. Поэтому, если на УЗИ впервые нашли просто кисты, сделайте томографию печени. ![]() Рис. 46. Эхинококковая киста в печени ![]() Некоторым людям как всегда везет, и они получают эхинококк не из травы или воды, как абсолютное большинство промежуточных хозяев, которые ждут волка. Они получают его, когда едят мясо и, мягко говоря, случайно съедают кисту с эхинококком. Ну, наверное, думают, что это деликатес, просто невозможно объяснить это иначе. То есть сами становятся волком, или окончательным хозяином. И их жизнь в полной безопасности, потому что от глиста в кишках они не умрут. Но в смертельной опасности сразу начинают находиться окружающие, ведь получить эхинококк от человека в быту намного легче, чем от животных на природе. Тогда глистов надо травить, возможно, вместе с их хозяином. В таком случае используют курсы противопаразитарных препаратов в соответствии с жизненным циклом паразитов, контролируют анализ кала каждые три месяца в течение года. А родственники судорожно делают УЗИ печени. Будьте осторожны. Печеночный сосальщик Подкласс плоских червей, они же трематоды, они же дигенетические сосальщики, они же двуустки. Самые мелкие и самые плоские и, пожалуй, самые поганые из червей. И имеющие самые красивые названия: фасциола гепатика, описторус фелинеус, шистосома мансони. А этапы жизненного цикла: мирацидий, редий, церкарий, адолескария, марита – песня! Эти паразиты живут в человеке и домашних животных, разные сосальщики паразитируют на разных животных, и практически для каждого из них есть свой сосальщик. Распространены глобально и везде. У нас в стране больше печеночного и кошачьего сосальщика, или описторха. ![]() Рис. 47. Внешний вид печеночного сосальщика Сосальщики откладывают яйца, которые выходят из кишечника во внешнюю среду. Друзья, когда будете на улице, не трогайте улиток, а если купаетесь, не берите ракушки. Именно в них попадают вышедшие из яиц личинки с красивым названием мирацидий. Печеночный сосальщик предпочитает обычную улитку прудовика, описторхи любят других наших обычных улиток битиний. В этих ракушках личинки дозревают в течение пары месяцев и превращаются в хвостатых церкарий, они заражают животных или рыбу, а шистосомы обходятся без них и сразу проникают через кожу человека. ![]() Рис. 48. Жизненный цикл сосальщика Получить такого прекрасного сосальщика можно либо с водой, травой, либо с плохо помытыми овощами. Еще можно получить его, часто общаясь с улитками или купаясь в загрязненных водоемах. И летний запрет на купание в отдельных местах – это не всегда и не только кишечная палочка! Будьте осторожны. Отдельного внимания заслуживает сырая рыба, которая может быть нашпигована не только аскаридами и широким лентецом, но и кошачьей двуусткой, или описторхом. В нашей стране особенно это касается районов сибирских рек, в которых добывают много промысловой рыбы. Описторх предпочитает семейство карповых рыб, но не брезгует и другими. Заражение происходит личинками, которые активизируются в кишечнике и по все той же замечательной дороге в печень приходят к ее воротам по воротной печеночной вене. Паразиты проникают в печень, проедают в ней ходы и через пару месяцев поселяются в желчных протоках. Печеночного сосальщика можно разглядеть только если он отстыкуется от печени. Размер его около 2 см в длину и 1 мм в толщину, он похож на маленький листочек, а не на кусочек неба. Имеет две мощные присоски и двойной кишечник. Питается кровью и клетками печени. Описторхи поменьше и потолще, около 1 см в длину и 2 мм в толщину. И тоже с двумя присосками. Сосальщики могут быть одиноки, в том смысле, что им не нужен второй червяк для размножения, как аскаридам. У этих все с собой: они двуполые – полный комплект! Еще и долгожители, в среднем могут сосать кровь и поедать печень от 5 до 20 лет! |
![Иллюстрация к книге — О чем молчит печень. Как уловить сигналы самого крупного внутреннего органа, который предпочитает оставаться в тени [i_066.jpg] Иллюстрация к книге — О чем молчит печень. Как уловить сигналы самого крупного внутреннего органа, который предпочитает оставаться в тени [i_066.jpg]](img/book_covers/093/93819/i_066.jpg)
![Иллюстрация к книге — О чем молчит печень. Как уловить сигналы самого крупного внутреннего органа, который предпочитает оставаться в тени [i_067.jpg] Иллюстрация к книге — О чем молчит печень. Как уловить сигналы самого крупного внутреннего органа, который предпочитает оставаться в тени [i_067.jpg]](img/book_covers/093/93819/i_067.jpg)
![Иллюстрация к книге — О чем молчит печень. Как уловить сигналы самого крупного внутреннего органа, который предпочитает оставаться в тени [i_068.jpg] Иллюстрация к книге — О чем молчит печень. Как уловить сигналы самого крупного внутреннего органа, который предпочитает оставаться в тени [i_068.jpg]](img/book_covers/093/93819/i_068.jpg)
![Иллюстрация к книге — О чем молчит печень. Как уловить сигналы самого крупного внутреннего органа, который предпочитает оставаться в тени [i_069.jpg] Иллюстрация к книге — О чем молчит печень. Как уловить сигналы самого крупного внутреннего органа, который предпочитает оставаться в тени [i_069.jpg]](img/book_covers/093/93819/i_069.jpg)
![Иллюстрация к книге — О чем молчит печень. Как уловить сигналы самого крупного внутреннего органа, который предпочитает оставаться в тени [i_070.jpg] Иллюстрация к книге — О чем молчит печень. Как уловить сигналы самого крупного внутреннего органа, который предпочитает оставаться в тени [i_070.jpg]](img/book_covers/093/93819/i_070.jpg)