Онлайн книга «Укус эволюции. Откуда у современного человека неправильный прикус, кривые зубы и другие деформации челюсти»
|
Таким образом, не случайно, что доктор Лисл Джонстон, голос совести ортодонтического сообщества, озаглавил свою обзорную статью «Выращивание челюстей забавы и прибыли ради» [27], продемонстрировав, что ортопедические аппараты, как правило, с поставленной задачей не справляются [28]. Они могут помочь временно сместить зубы, что благотворно влияет на внешность, однако эффект от их применения весьма краткосрочен. На рост уходят годы, и чтобы добиться перманентных улучшений, необходимо кардинально изменить осанку лица пациента – это очень важный момент, который зубные ортопеды упускают из виду. Привычки, которые привели к появлению проблемы, необходимо искоренить, иначе проблема вернется. Продолжение лечения в том же духе отлично бы подошло под определение безумия, обычно приписываемое Альберту Эйнштейну: делать раз за разом одно и то же, рассчитывая на иной результат. При лечении неправильного прикуса практически всегда необходимо стараться сместить верхнюю челюсть вперед, и именно на этом строится форвардонтия [15]. Как мы уже говорили, подавляющее большинство ортодонтов считают верхнюю челюсть жестко зафиксированной, что определенно не так. Подвижность верхней челюсти демонстрирует, среди прочего, ее «успешное» смещение назад при ортопедическом лечении. В форвардонтии лечение начинается в первые десять лет жизни ребенка, и акцент делается на расширении верхней челюсти и ее смещении вверх (уменьшении расстояния между верхней губой и носом) и вперед. При соблюдении пациентом правильной осанки лица эти изменения станут перманентными. Ортодонтия и здоровье дыхательных путей
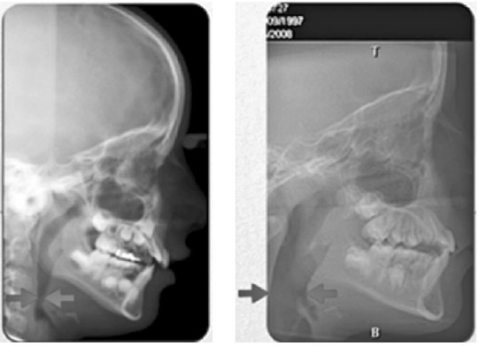
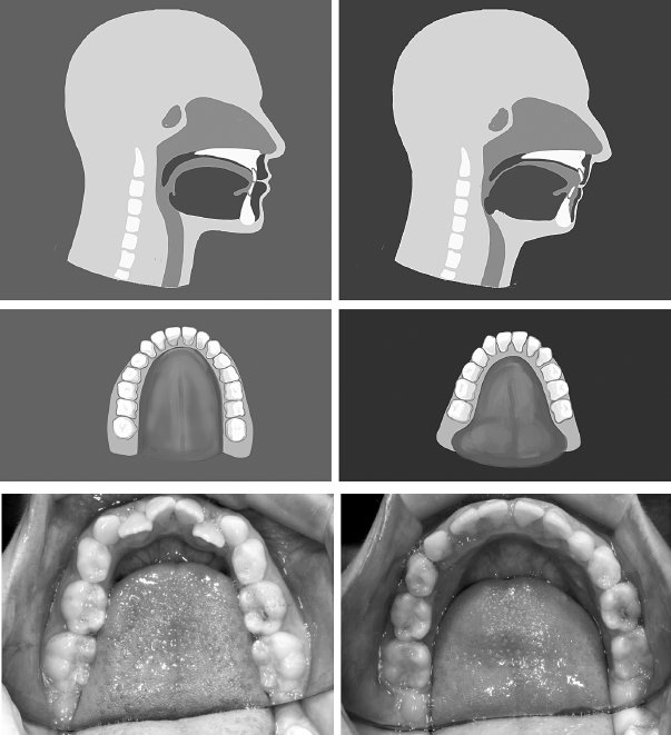
Ортодонтия и зубная ортопедия, может, и способны улучшить расположение молочных зубов, однако они оказывают негативное влияние на здоровье. Почти столетие многие стандартные стоматологические процедуры, включая установку протезов, изготовление коронок и удаление зубов, приводили к смещению структур челюсти и уменьшению свободного места во рту, тем самым повышая вероятность того, что язык завалится назад и перекроет дыхательные пути. Сандра много раз видела это своими собственными глазами: за несколько десятилетий через нее прошли где-то две тысячи пациентов, которых она лечила стандартными методами ортодонтии. Ей становилось все больше не по себе, так как вместо полного излечения она наблюдала лишь временные улучшения. Переломный момент для нее настал тогда, когда у ее сына Илана начали появляться проблемы с дыхательными путями: он стал храпеть и держать рот открытым. Тогда-то она и узнала об ортотропии, стала ее практиковать и в итоге переименовала эту программу в форвардонтию. Она пришла к заключению, что это единственная методика, при использовании которой изменение строения лица сопровождается увеличением размеров дыхательных путей, что служит профилактикой храпа и апноэ во сне. ![]() Рисунок 72. На изображениях в двух верхних рядах показано, как удаление зубов уменьшает свободное место для языка. При сокращении зубной дуги язык начинает заваливаться назад, вызывая храп или апноэ во сне. Обратите внимание на другого пациента снизу: после ортотропического лечения освободилось место для языка (фотографии любезно предоставлены доктором Марией Хосе Муньос) Впрочем, нельзя сказать, что ортодонты не знают о проблемах с дыхательными путями, а также о зачастую временных результатах своей работы. Многие из них осознают, что проводимым процедурам не хватает солидной научной базы [29]. В своей недавней обзорной статье ортодонт Ки Бом Ким, изучивший огромное количество научных публикаций [30], заявил: «НДС (нарушение дыхания во сне) – очень непростая проблема. Вместе с тем она может стать отличной возможностью для ортодонтов объединиться со специалистами из других областей медицины, чтобы улучшить здоровье пациента и результаты лечения. С момента появления нашей специальности мы все лучше понимали связь между функцией лица, его ростом и развитием. Возможно, будущие исследования помогут нам лучше разобраться с этой проблемой, а также позволят разработать более совершенные методы лечения». Разумеется, ортодонты, как отмечает Ким, исходят исключительно из лучших побуждений: «Современные врачи до сих пор согласны со следующим заявлением Маккензи [31]: Таким образом, ортодонты делают вклад в профилактику заболеваний не только в детстве, но и в более позднем возрасте, а их усилия в случае успеха продлевают жизнь» [32]. Вместе с тем лучшие побуждения не всегда гарантируют хороший результат. ![]() Рисунок 73. Лечение методами форвардонтии в период с 10 до 16 лет Не так давно одна группа дальновидных стоматологов и врачей решила уделить больше внимания дыхательным путям. Они обнаружили, что такие проблемы, как боли в височно-нижнечелюстном суставе, соединяющем нижнюю челюсть с черепом, храп, некоторые виды головных болей и другие хронические жалобы проходят, если приложить усилия по расширению дыхательных путей. Они основали организацию под названием Американская академия физиологической медицины и стоматологии (ААФМС) [33]. Дональд Энлоу, специалист в области роста и развития лица и автор книги «Основы развития лица» [34], кратко сформулировал ключевую идею: «Дыхательные пути – краеугольный камень развития лица». ААФМС, членом которой является Сандра, продвигает совершенно новую концепцию, в соответствии с которой ориентированные на дыхательные пути врачи отказываются от любого лечения, которое может привести к уменьшению свободного пространства для языка и, как следствие, сужению дыхательных путей, даже если им придется приложить больше усилий и потратить больше времени. Они изначально фокусируются не на расположении зубов, а на дыхании, составляя план лечения таким образом, чтобы этому аспекту уделялось приоритетное значение. Форвардонтия – пример ориентированной на дыхательные пути терапии, однако ее целью является не только защита дыхательных путей, но и их расширение за счет восстановления идеальной осанки лица в расслабленном положении, способствующей запрограммированному в ходе эволюции росту лица вперед. ![]() Рисунок 74. Ортотропическое лечение может значительно расширить пути, по которым воздух поступает в легкие (фотографии любезно предоставлены доктором Уильямом Хэнгом) |
![Иллюстрация к книге — Укус эволюции. Откуда у современного человека неправильный прикус, кривые зубы и другие деформации челюсти [i_074.jpg] Иллюстрация к книге — Укус эволюции. Откуда у современного человека неправильный прикус, кривые зубы и другие деформации челюсти [i_074.jpg]](img/book_covers/092/92715/i_074.jpg)
![Иллюстрация к книге — Укус эволюции. Откуда у современного человека неправильный прикус, кривые зубы и другие деформации челюсти [i_075.jpg] Иллюстрация к книге — Укус эволюции. Откуда у современного человека неправильный прикус, кривые зубы и другие деформации челюсти [i_075.jpg]](img/book_covers/092/92715/i_075.jpg)
![Иллюстрация к книге — Укус эволюции. Откуда у современного человека неправильный прикус, кривые зубы и другие деформации челюсти [i_076.jpg] Иллюстрация к книге — Укус эволюции. Откуда у современного человека неправильный прикус, кривые зубы и другие деформации челюсти [i_076.jpg]](img/book_covers/092/92715/i_076.jpg)