Книга Взламывая анатомию, страница 49 – Кен Окона-Менса

Авторы: А Б В Г Д Е Ж З И Й К Л М Н О П Р С Т У Ф Х Ч Ш Ы Э Ю Я
Книги: А Б В Г Д Е Ж З И Й К Л М Н О П Р С Т У Ф Х Ц Ч Ш Щ Ы Э Ю Я
Бесплатная онлайн библиотека LoveRead.in

Онлайн книга «Взламывая анатомию»

📃 Cтраница 49
Иллюстрация к книге — Взламывая анатомию [image221.jpg]

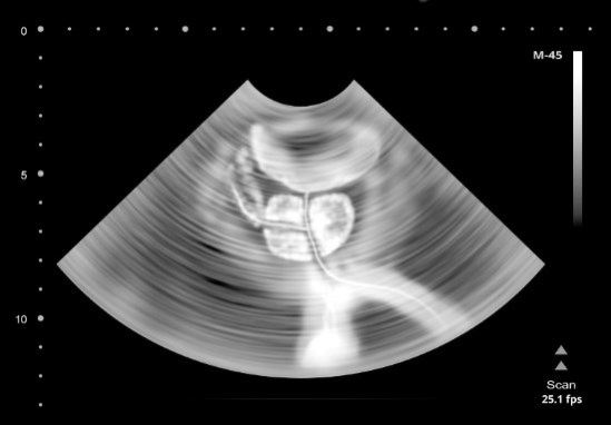
Увеличенная простата может блокировать прохождение мочи в мочеиспускательном канале и усиливать позывы к мочеиспусканию.

Мочеиспускательный канал

Эта выводная трубка мочевыделительной системы выходит из самой низкой точки мочевого пузыря, что позволяет избежать застоя мочи. Длина мочеиспускательного канала у женщин составляет около 4 см. Он расположен между клитором и влагалищем и выполняет единственную функцию – выведение мочи. У мужчин же мочеиспускательный канал может быть длиной около 20 см. Он проходит через предстательную железу (простату), расположенную под мочевым пузырем, и выходит наружу в половом члене. К счастью, эякуляция и мочеиспускание не могут происходить одновременно. Поскольку простата и мочевая система мужчин тесно связаны, частое мочеиспускание или слабая струя мочи часто являются ранним признаком увеличения простаты. В более тяжелых случаях, когда отверстие мочеиспускательного канала полностью перекрывается, требуется срочное медицинское вмешательство, поскольку этот симптом может привести к различным патологиям мочевыводящих путей.

Моча

Моча, малая нужда – это лишь часть названий, используемых для описания биологической жидкости, образованной из крови. Моча на 95 % состоит из воды. В остальных 5 % содержатся крошечные гидрофильные молекулы, которые могут оказаться либо безвредными и больше не нужными вам субстанциями, либо вредными соединениями, которые необходимо вывести из организма. По природе своей моча стерильна, а свой желтый цвет она получает от кишечных бактерий (см. «Желчь» на стр. 254–255).

А вы свою пьете?

Некоторые люди считают мочу напитком, поддерживающим здоровье, и превосходным тоником для кожи. Тем не менее пока что нет медицинских доказательств, что урофагия, то есть употребление собственной мочи, действительно полезна для здоровья. Здесь необходимо вспомнить о тех 5 % мочи, которые не являются водой, ведь в них могут содержаться отработанные продукты азотного обмена (мочевина, мочевая кислота и креатинин). Высокий уровень этих веществ может привести к заболеванию – азотемие. И хотя на первый взгляд избыток солей, гормонов и водорастворимых витаминов кажется совершенно безвредным, это приводит к нарушению критически важных процессов в организме.

Иллюстрация к книге — Взламывая анатомию [image222.jpg]

В зависимости от объема потребляемой жидкости мы производим от 0,8 до 2 л мочи ежедневно. Объем, состав, запах и цвет мочи обусловлены многими факторами, включая объем выпитой жидкости, диету, уровень физической активности и температуру внешней среды. Соломенный цвет мочи указывает на здоровую мочевую систему. При недостаточном потреблении воды или других потенциальных проблемах моча приобретает темно-янтарный цвет. Моча имеет слабый запах, однако концентрированная или отстоянная моча может отдавать аммиаком. Различные пищевые пигменты (например, свекла) могут менять окрас мочи, а некоторые продукты (например, спаржа) придают ей характерный запах, хотя не каждый человек может это заметить.

ОЧЕНЬ ПОЛЕЗНАЯ СИСТЕМА

Мочевыделительная система не только отвечает за фильтрацию крови, но и выполняет ряд других полезных функций.

Активация витамина D.

Почки служат резервной областью по превращению витамина D из неактивной формы в активную (кальцитриол). Кальцитриол транспортируется в тонкий кишечник, где участвует в образовании белков, способных связываться с кальцием.

Производство эритроцитов.

Почки – это удвоенная эндокринная железа, выделяющая гормон эритропоэтин. Он стимулирует стволовые клетки в костном мозге на производство большего количества эритроцитов. Клетки почечных фибробластов крайне чувствительны к низкому уровню кислорода в крови, проходящей через почки.

Регуляция кровяного давления.

При низком артериальном давлении почки начинают вырабатывать специальный пептидный гормон – ренин (он же фермент ангиотензиногеназа), образующий ренин-ангиотензиновую гормональную систему, которая участвует в расщеплении белков и активации проферментов. Попав в кровь, ренин связывается с белком ангиотензиногеном (его вырабатывает печень) и расщепляет его с образованием ангиотензина I. В легких ангиотензин I расщепляется ангиотензинпревращающим ферментом до ангиотензина II, который отвечает за сокращение гладкомышечных стенок артериол и повышение кровяного давления. При понижении уровня натрия ангиотензин II стимулирует надпочечники на выработку гормона альдостерона, побуждающего дистальные почечные канальцы и собирательные протоки реабсорбировать больше ионов натрия в обмен на ионы калия. В результате происходит реабсорбция воды с последующим увеличением объема крови и артериального давления.

Реабсорбция кальция.

При понижении уровня крови гормоны паращитовидной железы стимулируют почечные канальцы к усиленной реабсорбции кальция.

В моче содержится множество веществ, которые есть в крови. Таким образом, анализ мочи является косвенным и неинвазивным методом проверки здоровья.

Иллюстрация к книге — Взламывая анатомию [image223.jpg]

Почки вырабатывают активную форму витамина D – кальцитриол.

Глава 12 Инструменты для производства детей

Половая система

Половая система – это вторая система органов, ответственная за получение удовольствия. (Первая, конечно же, пищеварительная.) С эволюционной точки зрения это означает, что данная система играет ключевую роль не только в нашем существовании, но и в выживании всего человеческого вида. А поскольку самые важные функции (на уровне популяции) сопряжены с действиями, приносящими максимум удовольствия (на уровне индивида), то размножение, бесспорно, входит в группу лидеров.

Иллюстрация к книге — Взламывая анатомию [image224.jpg]

Все мы экипированы специальным устройством по репродукции наших копий – запланированных или нет. Этот аппарат по созданию детей определяет наш пол и роль, которую мы сыграем при воспроизведении потомства. Но не все так просто. Гендерная идентичность, сексуальные предпочтения и трудности с фертильностью – вот несколько примеров щепетильных и крайне важных аспектов проблем, связанных с полом и размножением. Однако с точки зрения эволюции развитие нашего полового аппарата было направлено на достижение одной-единственной цели – слияния яйцеклетки со сперматозоидом.

Впервые такое слияние возможно после полового созревания, или периода пубертата, когда ребенок становится взрослым, а его половые железы и органы созревают. Половые железы, или гонады, иногда называют первичными половыми органами. В период полового созревания их стимулируют первые гонадотропные гормоны, которые вырабатывает гипофиз.

Вход
Поиск по сайту
Ищем:
Календарь