Книга Фантомы мозга, страница 16 – Сандра Блейксли, Вилейанур С. Рамачандран

Авторы: А Б В Г Д Е Ж З И Й К Л М Н О П Р С Т У Ф Х Ч Ш Ы Э Ю Я
Книги: А Б В Г Д Е Ж З И Й К Л М Н О П Р С Т У Ф Х Ц Ч Ш Щ Ы Э Ю Я
Бесплатная онлайн библиотека LoveRead.in

Онлайн книга «Фантомы мозга»

📃 Cтраница 16

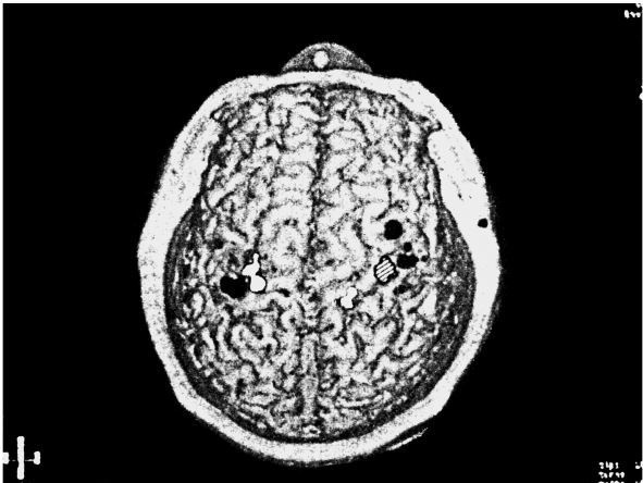
С помощью МЭГ всего за два часа можно составить карту мозга любого человека, изъявившего желание сесть под магнит. Неудивительно, что полученная карта очень похожа на гомункулуса Пенфилда (индивидуальные вариации в общем расположении карты крайне малы). Однако, обследовав четырех пациентов с ампутацией верхних конечностей, мы обнаружили, что карты сильно изменились — точь-в-точь как мы и предсказывали. Например, взглянув на рисунок 2.3, вы увидите, что зона кисти в правом полушарии (заштрихована) захвачена сенсорными сигналами от лица (показаны белым) и верхней части руки (показаны серым). Эти наблюдения, которые мне удалось сделать в сотрудничестве с аспирантом Тони Янгом и неврологами Крисом Галленом и Флойдом Блумом, стали первой в истории непосредственной демонстрацией крупномасштабных изменений в организации мозга у взрослых людей.

Иллюстрация к книге — Фантомы мозга [i_006.jpg]

Рис. 2.3

Магнитоэнцефалограмма, наложенная на изображение, полученное методом магнитного резонанса (вид сверху). Правая рука пациента ампутирована ниже локтя. В правом полушарии наблюдается нормальная активация областей коры, связанных с кистью (заштрихована), лицом (показана черным) и верхней части руки (показана белым). В левом полушарии активность в области, соответствующей ампутированной правой кисти, отсутствует. Активность, вызванная прикосновениями к лицу и верхней части руки, теперь «распространяется» и на эту зону.


Последствия такого открытия поистине ошеломляющие. Прежде всего, оно предполагает, что карты мозга могут меняться, причем с поразительной быстротой. Это находка категорически противоречит одной из наиболее общепринятых догм в неврологии, согласно которой связи во взрослом мозге носят фиксированный характер. До сих пор считалось, что эта схема, включая карту Пенфилда, закладывается в ходе внутриутробного развития или в раннем младенчестве и во взрослом возрасте практически не поддается модификации. Более того, предполагаемое отсутствие пластичности во взрослом мозге часто приводят в качестве основной причины столь незначительного восстановления функции после повреждения мозга и общих сложностей в борьбе с неврологическими заболеваниями (последние, как известно, с трудом поддаются лечению). И тем не менее данные, полученные в ходе обследования Тома, показывают — вопреки всему, что написано в учебниках, — что новые, высокоточные и функционально эффективные пути могут возникать во взрослом мозге уже через четыре недели после травмы. Разумеется, отсюда не следует, что новые революционные методы лечения неврологических синдромов появятся мгновенно, но наше открытие дает некоторые основания для оптимизма.

Во-вторых, наши наблюдения могут объяснить само существование фантомных конечностей. Наиболее популярное медицинское объяснение заключается в том, что нервы, которые когда-то обеспечивали кисть, начинают иннервировать культю. Более того, поврежденные нервные окончания образуют небольшие скопления рубцовой ткани — невромы, — которые бывают очень болезненными. При раздражении, гласит теория, невромы посылают импульсы в первоначальную зону кисти в мозгу, заставляя мозг думать, будто рука все еще существует: отсюда фантомная конечность и боли. На самом деле многие врачи до сих пор верят в то, что основная причина фантомных болей — неврома.

Руководствуясь такого рода рассуждениями, хирурги разработали различные методы лечения болей в фантомных конечностях. В основном эти методы заключаются в удалении невром. Некоторые пациенты испытывают временное облегчение, но, как ни странно, и фантом, и боли обычно возвращаются с удвоенной силой. Чтобы облегчить страдания больного, хирурги иногда выполняют вторую или даже третью ампутацию (делая культю короче и короче), однако, если задуматься, это логический абсурд. Чем поможет вторая ампутация? Скорее всего, появится второй фантом (кстати, именно так обычно и происходит); а значит, здесь мы сталкиваемся с явной проблемой бесконечного регресса.

Нередко для лечения болей в фантомных конечностях хирурги прибегают к дорзальной ризотомии — а именно перерезают сенсорные волокна, идущие в спинной мозг. Иногда это работает, иногда нет. Другие пробуют еще более кардинальные меры, например, хордотомию — пересечение латерального спиноталамического пути, который проходит в боковом канатике спинного мозга. Такая операция предотвращает проникновение болевых импульсов в мозг, но и она зачастую оказывается неэффективной. Третьи добираются аж до таламуса, ретрансляционной станции мозга, которая обрабатывает сигналы до их отправки в кору, но обнаруживают, что и это не помогло. Одним словом, врачи могут сколько угодно гоняться за фантомом, но, конечно, никогда его не поймают.

Почему? Одна из причин заключается в том, что фантом не существует ни в одной из этих областей; он существует в более центральных частях мозга, там, где произошла реорганизация коры. Грубо говоря, фантом берет свое начало не от культи, а от лица и челюсти, потому что каждый раз, когда Том улыбается или двигает губами, импульсы активируют «ручную» зону коры, создавая иллюзию, что рука по-прежнему на месте. Обманутый ложными сигналами, мозг Тома буквально галлюцинирует руку — вероятно, в этом и заключается суть фантомной конечности.

Если это действительно так, единственный способ избавиться от фантома — удалить Тому челюсть. (Впрочем, если подумать, это тоже не поможет. Скорее всего, у него появится фантомная челюсть. Та же проблема бесконечного регресса!)

Тем не менее на реорганизации коры история не заканчивается. Во-первых, переделка карты мозга не объясняет, почему Том или другие пациенты чувствуют, будто могут произвольно двигать своими фантомами, или почему фантом иногда меняет свое положение. Где возникают эти ощущения движения? А во-вторых, теория реорганизации не помогает однозначно решить вопрос, который больше всего волнует и больных, и врачей — вопрос генезиса фантомной боли. Обе проблемы мы рассмотрим в следующей главе.

Когда мы думаем о кожных ощущениях, то обычно имеем в виду только осязание. В действительности же на поверхности кожи берут начало различные нейронные пути, которые опосредуют ощущения тепла, холода и боли. Эти ощущения имеют свои собственные зоны или карты в мозге, хотя используемые ими пути могут переплетаться друг с другом самым сложным образом. Если так, возможна ли в этих эволюционно более старых путях такая же реорганизация, какую мы наблюдали для осязания? Другими словами, переделка карт мозга, наблюдаемая у Тома и обезьян Понса, характерна только для осязания или указывает на более общий принцип: возможна ли она для таких ощущений, как тепло, холод, боль или вибрация? Если да, будет ли при этом возникать случайное «перекрещивание», в результате которого прикосновение начнет вызывать ощущения тепла или боли? Механизм, обеспечивающий невероятную точность, с которой образуются миллионы нейронных связей во время развития, а также степень, в которой эта точность сохраняется в процессе реорганизации после травмы, представляет большой интерес для всех ученых, стремящихся понять развитие проводящих путей в мозге.

Чтобы это исследовать, я капнул на лицо Тома теплой водой. Он сразу это почувствовал, но сказал, что ощущает тепло не только на щеке, но и в фантомной руке. Однажды, когда капля случайно потекла по его лицу, он с большим удивлением воскликнул, что чувствует, как теплая вода стекает по всей длине его фантомной конечности (на всякий случай он наглядно продемонстрировал мне свои ощущения с помощью здоровой руки). За все годы работы в неврологических клиниках я никогда не видел ничего столь поразительного — человека, который систематически переносил такое сложное ощущение, как движение капли, с лица на фантомную руку.

Вход
Поиск по сайту
Ищем:
Календарь