Книга Самая совершенная вещь на свете, страница 57 – Тим Беркхед

Авторы: А Б В Г Д Е Ж З И Й К Л М Н О П Р С Т У Ф Х Ч Ш Ы Э Ю Я
Книги: А Б В Г Д Е Ж З И Й К Л М Н О П Р С Т У Ф Х Ц Ч Ш Щ Ы Э Ю Я
Бесплатная онлайн библиотека LoveRead.in

Онлайн книга «Самая совершенная вещь на свете»

📃 Cтраница 57

Мне кажется поразительным, что открытие Харпером физиологической полиспермии (которую я буду называть просто полиспермией) у птиц привлекло так мало внимания. Странно и то, что никто не заинтересовался, почему яйцеклетке млекопитающих достаточно лишь одного сперматозоида, а у птиц, акул и некоторых земноводных их требуется несколько.

Моя коллега Николя Хеммингс нащупала ответ на этот последний вопрос, когда мы с ней попытались разработать способ искусственного оплодотворения у зебровых амадин. Мы намеревались осеменить самок смесью спермы двух различных самцов, сперматозоиды которых различались по длине. Нам хотелось узнать, приведет ли использование смеси коротких и длинных сперматозоидов в соотношении 50:50 к тому, что в зародышевом диске дополнительные сперматозоиды окажутся в той же пропорции 50:50. (Вопрос о том, как длина сперматозоида влияет на успешность оплодотворения, мы не расматривали {275}.) Но наша попытка закончилась неудачей: почти ни один сперматозоид не добрался до воронки яйцевода. Нас это огорчило, потому что искусственное оплодотворение – обычное дело у кур и индеек и наверняка было бы успешным в применении к другим видам птиц, в частности таких, у которых особи невелики по размерам, например у миниатюрных зебровых амадин {276}. Мы вынуждены были искать другой способ проверки своей идеи о возможном значении длины сперматозоидов. Но Николя рассказала мне нечто такое, что заставило меня призадуматься. По ее словам, даже если многие из яиц не получили ни одного сперматозоида и потому оказались нежизнеспособными, те из них, в которые проник лишь один сперматозоид (пусть даже два), были оплодотворены, но эмбрион почему-то не смог развиваться дальше.

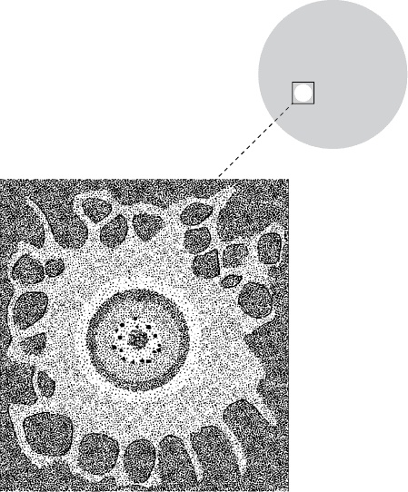
Иллюстрация к книге — Самая совершенная вещь на свете [i_015.jpg]

Рис. 13. Полиспермия у птиц. Зародышевый диск показан белым кружком на желтке (вверху). Ниже – зародышевый диск оплодотворенного яйца с женским пронуклеусом, содержащим генетический материал самки (в центре). Окружающие его темные пятна – несколько (в данном случае 16) дополнительных сперматозоидов, которые необходимы для успешного развития эмбриона после слияния единственного сперматозоида с женским пронуклеусом. Из кн.: Romanoff, Romanoff, 1949


Тогда мы не знали, смогли бы развиваться яйца, если бы мы не продолжили наблюдение за ними. Надо было повторить опыты и проследить за яйцами в условиях их контролируемой инкубации. Но ни одно из оплодотворенных яиц не стало развиваться нормально: в каждом случае эмбрион погибал всего лишь через несколько часов после оплодотворения.

Это показало, что у птиц полиспермия, приводящая к присутствию дополнительных сперматозоидов в зародышевом диске – жизненно важный компонент процесса «зарождения» (этот термин Уильям Гарвей и другие исследователи использовали для обозначения одновременно и оплодотворения, и начальной стадии развития). Следует сказать, что у птиц роль дополнительных сперматозоидов до конца не выяснена. А если говорить о лягушках и тритонах, то считается, что их дополнительные сперматозоиды выделяют какие-то вещества, которые дают импульс развитию эмбриона. Почему это необходимо, пока неясно, но похоже, что это справедливо и в отношении птиц.

Через считаные минуты после оплодотворения яйцеклетка начинает свое двадцатичетырехчасовое странствие вниз по яйцеводу, где, как мы уже видели, завершается удивительный процесс образования яйца. Мы проследили за перипетиями этого путешествия, последовательно наблюдая каждый этап создания яйца, которое я называю «самой совершенной вещью» на свете. И вот теперь мы стоим в темной внутренности матки, где законченное и покрытое скорлупой яйцо томится в ожидании, подобно актеру за кулисами, и готово появиться на сцене жизни.

8
Колоссальная любовь. Кладка, насиживание и появление птенца

Малейшей трещины в скорлупе достаточно, чтобы уничтожить прочность неповрежденного яйца; птенец отбрасывает подсохшие, более не нужные остатки аллантоиса и амниона и делает шаг в мир.

Альфред Ньютон (1896)

В книге «Путешествия Гулливера» [62] Джонатан Свифт описывает конфликт между разными политическими партиями в королевстве Лилипутия по поводу того, с какого конца следует разбивать вареное яйцо. По традиции лилипуты всегда разбивали яйцо с тупого конца, но после того, как император порезался скорлупой, разбив его таким образом, он издал указ, что яйцо следует непременно разбивать с острого конца. Это было принято далеко не всеми, и смуты в отношении того, как правильно вести себя в данной ситуации, привели не менее чем к шести восстаниям. Так Свифт иносказательно высмеивает не прекращавшийся в XVIII в. конфликт между католиками (тупоконечниками) и протестантами (остроконечниками), которые спорили о том, действительно ли тело Христово присутствует в хлебцах для причастия или только символически {277}.

Похожий спор завязался в свое время по вопросу о том, каким концом вперед ориентировано яйцо при выходе из клоаки птицы – тупым или острым? Не обошлось без инакомыслящих, но многие думали, что первым появляется тупой конец, о чем писал еще Аристотель. Это привело, в свою очередь, к неверному представлению о том, как именно яйцо движется по яйцеводу. Некоторые старые авторы, в том числе Фридрих Христиан Гюнтер, написавший одну из первых книг о яйцах птиц в 1770-е гг., полагали, что, если следовать замечанию Аристотеля, яйцо должно двигаться вниз по яйцеводу тупым концом вперед. Гюнтер предположил, что его проталкивают вперед, словно пищевой комок, проходящий по кишечнику, перистальтические усилия кольцевых мышц яйцевода: принимая яйцо, они расслаблены, а затем сокращаются, посылая его дальше. Считалось, что находящийся позади острый конец, который представляет собой более длинную часть яйца, давал стенкам яйцевода большую площадь опоры для сжатия яйца.

Один из сторонников этой идеи, анатом XIX в. Генрих Мекель фон Гемсбах, был настолько уверен в ее справедливости, что назвал его проявлением «математической необходимости». Справедливости ради следует сказать, что идея обладает интуитивной привлекательностью, которая, вероятно, и объясняет, почему ее подхватил и увековечил великий шотландский биолог Д’Арси Вентворт Томпсон в книге «О росте и форме» (On Growth and Form; 1917). Интеллектуальный авторитет Томпсона был настолько весомым, что очень многие признали его правоту в этом вопросе, в том числе Дж. Артур Томсон, который повторил ошибку в «Биологии птиц», изданной в 1923 г. {278}.

Вход
Поиск по сайту
Ищем:
Календарь