Книга Взламывая биологию, страница 25 – Том Джексон

Авторы: А Б В Г Д Е Ж З И Й К Л М Н О П Р С Т У Ф Х Ч Ш Ы Э Ю Я
Книги: А Б В Г Д Е Ж З И Й К Л М Н О П Р С Т У Ф Х Ц Ч Ш Щ Ы Э Ю Я
Бесплатная онлайн библиотека LoveRead.in

Онлайн книга «Взламывая биологию»

📃 Cтраница 25
Иллюстрация к книге — Взламывая биологию [i_146.jpg]

Вирусы – это самая распостраненная разновидность живых организмов. В стакане морской воды, например, их больше, чем людей на Земле. Подавляющее большинство вирусов совершенно безвредны для человека, каждый нацелен на конкретную группу хозяев.


Сукцессия

Окружающая среда постоянно меняется. Сукцессия – это процесс замещения одной экосистемы другой. Впервые его начали изучать, понаблюдав за сносимыми ветрами дюнами в американском штате Индиана в конце 1800-х гг.

Экосистемы не вечны. В конечном итоге катастрофа – лесной пожар, или оползень, или деятельность человека – унесет укоренившиеся виды, и образуется пустота. После подобных событий живому приходится вновь отвоевывать место для себя. Например, заброшенный участок города сначала колонизируют мхи, лишайники и мелкие растения. Эти виды, называемые пионерными, обеспечивают пищу для насекомых, которые привлекают птиц и других животных. Позже сюда проникают семена кустарников и деревьев, которые дают побеги. Все более сложные группы живых существ сменяют друг друга, пока не сформируется стабильное сообщество – климаксовая экосистема. И она задержится здесь, пока следующая катастрофа – мелкая или крупная – не разрушит ее.

Теория о существовании сукцессии стала одной из первых выдвинутых экологами. Генри Чандлер Коулз из Университета Чикаго изучал подвижность экосистем, наблюдая за растительностью в заповеднике «Дюны Индианы» в конце XIX в. В ХХ в. Фредерик Клементс определил промежуточные стадии сукцессии внутри экосистемы и привел общую схему заполнения пустот.

Иллюстрация к книге — Взламывая биологию [i_147.jpg]

С прекращением человеческой деятельности благодаря сукцессии всякая среда заполняется той или иной композицией видов – экосистемой. На востоке Северной Америки и в Европе, например, это в основном лиственные леса. Регионы с другими видами климата порождают другие климатические сообщества.


Первичная сукцессия – процесс, когда живые существа начинают колонизировать новую среду обитания. Это может произойти после такого бедствия, как извержение вулкана. Например, в 1963 г. у побережья Исландии после подводного извержения из моря поднялся новый остров, впоследствии названный Сюртсей. Всего за несколько лет мхи, лишайники и прибрежные растения укоренились в пепле и лаве. Затем остров заселили насекомые, позже – морские птицы. Если же нарушена уже существующая среда обитания, например, лесным пожаром или вырубкой, появление новой растительности называется вторичной сукцессией.

Иллюстрация к книге — Взламывая биологию [i_148.jpg]

Неприхотливое растение пробивается сквозь лаву. Так начинается длительный процесс сукцессии, который обратит безжизненную среду в цветущую экосистему – до следующего извержения вулкана.


Генетика

Наука о наследовании зародилась в 1860-х гг. с работой Грегора Менделя, но только в 1905 г. научное сообщество дало ей название.

Термин «генетика» происходит от греческого слова γενεσις, что означает «происхождение». Чарлз Дарвин и другие с помощью прилагательного «генетический» описывали неизвестный на тот момент механизм наследования. Слово «генетика» в качестве названия для науки о наследовании применил Уильям Бэтсон, английский биолог, открывший работу Грегора Менделя в 1905 г. Через несколько лет датчанин Вильгельм Иогансен ввел термин «ген», означающий единицу наследования. Другие ученые изучали ДНК – химическое вещество, содержащееся в хромосомах, но лишь 20 лет спустя была признана неоспоримая связь генов и ДНК. После этого развитие науки генетики уже не прерывалось. Сегодня это, возможно, самый важный раздел биологии – все благодаря сильной связи с медициной и технологиями.

Генетики оперируют и другими важными терминами. Так, аллели – это формы одного гена. Ген для цвета глаз, например, имеет несколько аллелей: голубой, коричневый, зеленый и т. д. Генотип – это тот набор аллелей, которые наследуются от родителей, а фенотип – фактическая реализация генотипа. В целом работа генетики заключается в том, чтобы разобраться, как ген – или последовательность ДНК – создает фенотип. Это непростая задача. Гены сами по себе фенотип не определяют: это скорее результат взаимодействия между генами индивида и окружающей средой.

МУТАЦИЯ

У этого теленка-альбиноса имеется редкий мутировавший ген, который не позволяет вырабатывать пигмент кожи и волос. Мутация – это произвольное изменение в генетическом коде. Она передастся следующему поколению, только если происходит в зародышевой линии, то есть в половых клетках.

Иллюстрация к книге — Взламывая биологию [i_149.jpg]
Иллюстрация к книге — Взламывая биологию [i_150.jpg]

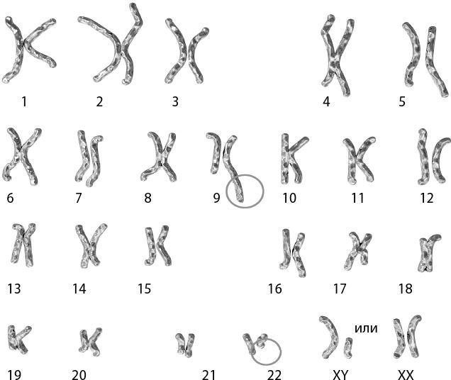
Значительная часть исследований генетиков посвящена аномалиям в наследовании у человека. Например, когда секции хромосом отсутствуют, смещены (как видно слева на хромосомах 22 и 9) или дублируются. Эти исследования проливают свет на работу генов в целом.

ГЕН

Ген – это единица наследования, то, что не меняется и передается от поколения к поколению. Тем не менее термин часто употребляют неверно. В повседневной речи многие используют его для описания признака – ген цвета волос, например. Более точным научным определением было бы такое: ген – это частичка ДНК, содержащая код для одной частички белка.

Иллюстрация к книге — Взламывая биологию [i_151.jpg]

Цвет глаз – это хороший пример фенотипа. Но он не подчиняется простым законам Менделя – мало какие признаки подчиняются. Здесь задействованы 16 генов, и у пары глаз не всегда один и тот же фенотип!


Деление клетки

Все живое состоит из клеток, а новые клетки состоят из старых, которые подверглись делению. Существуют два вида деления клетки: митоз и мейоз.

Цель митоза – рост, то есть получение двух генетически идентичных клеток из одной. Микробиологи, как утверждают они сами, наблюдали деление клетки в 1870-х гг., но подробное и качественное его описание было дано в 1880-х гг. немцем Вальтером Флеммингом, который назвал процесс митозом – от греческого μίτος – «нить». Флемминг выбрал такой термин, поскольку считал, что при делении ядра клетки появляется веретено с нитями (сегодня известно, что это белковые микротрубочки), делящее содержимое ядра на части.

Каждое деление проходит несколько сложных этапов. На первом этапе хромосома в ядре удваивается; соединенные вместе, эти «двойники» называются хроматидой. Хромосома затем утолщается и принимает форму буквы H – так мы обычно и представляем хромосому. (Большую часть времени хромосомы выглядят иначе.) Веретено разделяет хроматиды, и два хромосомных фрагмента отходят к противоположным концам клетки. Они станут содержимым ядер двух дочерних клеток. Мембрана формируется посередине клетки, на равные части разделяются органеллы и цитоплазма. Затем половинки разделяются и получаются две самостоятельные клетки.

Вход
Поиск по сайту
Ищем:
Календарь