Книга Мозг. Как он устроен и что с ним делать, страница 1 – Илья Мартынов

Авторы: А Б В Г Д Е Ж З И Й К Л М Н О П Р С Т У Ф Х Ч Ш Ы Э Ю Я
Книги: А Б В Г Д Е Ж З И Й К Л М Н О П Р С Т У Ф Х Ц Ч Ш Щ Ы Э Ю Я
Бесплатная онлайн библиотека LoveRead.in

Онлайн книга «Мозг. Как он устроен и что с ним делать»

📃 Cтраница 1

* * *

Вместо введения

В 2007 году француз Матье, 44-летний отец двух детей, обратился в одну из клиник Марселя с жалобами на слабость (парез) в левой ноге. Он сообщил доктору, что в возрасте 14 лет у него уже было нечто подобное, но после лечения, назначенного детскими врачами, слабость прошла. Остальные аспекты, согласно записям в медицинской карте, были в пределах нормы.

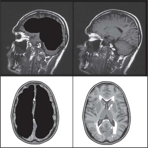
Иллюстрация к книге — Мозг. Как он устроен и что с ним делать [i_001.jpg]

Рис. 1. Слева – мозг Матье (реконструкция), справа – мозг здорового человека


Доктора обследовали ногу Матье, но причин, вызывающих недомогание, обнаружить не смогли. И все же они решили назначить МРТ (магнитно-резонансная томография) головного мозга, чтобы исключить, например, такое страшное заболевание, как рассеянный склероз: оно может уничтожать клетки нервной системы, отвечающие за движения.

То, что обнаружили специалисты в ходе МРТ-исследования, не укладывалось в представления тогдашней нейронауки. В норме весь череп заполнен серым и белым веществом – это ткань мозга. Внутри есть небольшие цистерны с жидкостью. Но у Матье отсутствовало более 80 % мозговой ткани. А сами цистерны расширились, заполнив жидкостью почти весь мозг.

Матье рассказал докторам, что в 14 лет ему сделали шунтирование и откачали жидкость из мозга. Однако впоследствии она снова заполнила черепную коробку мужчины и сдавила его мозг, оттеснив все выжившие клетки к внутренней поверхности костей. То есть, по сути, вот уже более 40 лет Матье жил с «водой» в голове. И это не мешало ему вести вполне нормальный образ жизни. Но как такое возможно? Какие механизмы лежат в основе подобных явлений? Что мы знаем о мозге сегодня? Какова его роль в формировании сознания и механизме принятия решений?

О чем эта книга

Ответить на эти и другие вопросы можно, если обратиться к последним данным нейробиологии (науки о строении и функциях нервной системы) и когнитологии (науки о познании).

Читая научно-популярные лекции по нейробиологии около восьми лет, я не раз замечал, что людям зачастую сложно построить схему процессов, происходящих в мозге.

Основной задачей этой книги я вижу именно формирование у читателей единой системы представлений о мозге. Как мне кажется, это поможет им лучше понять не только процесс развития нервной системы, но и механизм действия антидепрессантов, нейролептиков и других препаратов. Этому и посвящена первая часть книги.

Во второй части речь идет о мышлении, памяти, внимании, научно обоснованной пользе медитации. Также предложены некоторые практические рекомендации и упражнения.

В третьей части освещены темы, связанные с принятием решений, поведенческой экономикой, нейромаркетингом, настоящим и будущим современных нейрокомпьютерных интерфейсов – устройств, связывающих наш мозг с компьютером, ноутбуком или планшетом, – и других нейротехнологий.

Итак, в этой книге я предлагаю читателям совершить путешествие от базовых принципов работы мозга к нашему поведению, мышлению и современным нейротехнологиям.

Мозг пристально изучают уже на протяжении долгого времени, но еще никогда мы не знали о нем так много, как сегодня. Нейробиология выводит человечество на новый уровень понимания, каково значение каждого индивида в обществе.

Уже сегодня достижения нейробиологии позволяют успешно лечить болезнь Паркинсона препаратом под названием «L-допа». Используя нейротехнологии и знания о пластичности мозга, мы можем достигать значительных результатов в спорте. С помощью нейромаркетинговых исследований международные корпорации выстраивают работу огромных отделов.

В этой книге я хочу рассказать не только о том, что уже используется на практике, но и о том, чего можно ожидать в ближайшее время. В мире, где потоки информации лавинообразно обрушиваются на каждого из нас, человеку уже не обойтись без богатого опыта нейронаук. Только эти знания способны по-настоящему помочь настроить мозг на эффективную работу.

Часть I. Что такое МОЗГ для нас сегодня

Когда ум овладеет предметом, слова приходят сами.

Сенека
Люди-автоматы, или Мозг без тормозов

Сегодня нам известно, что мозг состоит из миллиардов нервных клеток, связанных друг с другом в сложные сети. Но это знание мы получили относительно недавно.

В Античности про мозг знали не так уж много. Греческие философы вообще не утруждали себя описанием функций мозга. Они принимали его за охладитель, полагая, что он нужен для остужения крови.

В Средние века анатомические исследования практически не проводились из-за строгих религиозных запретов. И хотя вопреки всем запретам врачи все-таки пытались изучать нервную систему, целостной картины представлений о ней не сложилось.

Рене Декарт в XVII веке заложил традицию сравнивать работу нервной системы с работой различных устройств. Сам он уподоблял нервную систему сложной гидравлической машине. Примерно в это же время Томас Гоббс предложил обществу идею о том, что наши мысли являются результатом работы небольших механизмов в мозгу. В XVIII веке, продолжая традицию Декарта, исследователи сравнивали мозг с электрической машиной, в XIX – уже с телеграфом. В 1940-х годах возникла идея сопоставления мозга с компьютером. И она популярна до сих пор. Но на самом деле все эти сравнения ошибочны. Давайте разберемся почему.

В 1863 году была опубликована фундаментальная работа выдающегося русского физиолога Ивана Михайловича Сеченова. Называлась она просто и ясно – «Рефлексы головного мозга». В ней Сеченов развивал идею о так называемых невольных движениях: по сути, он описывал рефлексы в физиологическом смысле этого слова.

Сеченов одним из первых в России заговорил о проблеме автоматических процессов, которые человек не в состоянии контролировать. Они ведь на то и автоматические, запрограммированные природой. Но самые важные выводы, которые сделал величайший физиолог, заключались в другом.

Сеченов установил, что у лягушки, даже если у нее повреждены верхние отделы мозга, сохраняются невольные движения (то есть рефлексы), связанные с отдергиванием лапки. Все мы знаем, что многие рефлексы необходимы для сохранения жизни и здоровья. Например, если человеку что-то попадает не в то горло, у него рефлекторно активируется кашлевой центр. Толчки воздуха при кашле помогают освободить дыхательные пути от инородных тел. Кстати, с этим рефлексом каждый из нас сталкивался во время простуд, сопровождающихся отхождением мокроты. От нее тоже нужно освобождать дыхательные пути. Одаривая нас такими рефлексами, природа словно говорит: «Я все сделаю сама, вы ведь все равно, глупышки, не справитесь». И она действительно перехватывает у нас инициативу. И знаете – обычно неплохо справляется. Сколько бы мы, к примеру, извлекали инородное тело из дыхательных путей пинцетом? Или что случилось бы, если бы мы не заметили, как коснулись горячего утюга или чайника?

Вход
Поиск по сайту
Ищем:
Календарь