Книга Искра жизни. Электричество в теле человека, страница 58 – Фрэнсис Эшкрофт

Авторы: А Б В Г Д Е Ж З И Й К Л М Н О П Р С Т У Ф Х Ч Ш Ы Э Ю Я
Книги: А Б В Г Д Е Ж З И Й К Л М Н О П Р С Т У Ф Х Ц Ч Ш Щ Ы Э Ю Я
Бесплатная онлайн библиотека LoveRead.in

Онлайн книга «Искра жизни. Электричество в теле человека»

📃 Cтраница 58

В отличие от музыкантов глухой художник вполне способен продолжать творить. В случае Гойи это даже способствовало созданию лучших полотен. После серьезной болезни, полностью лишившей его слуха, художник оказался в совершенной изоляции и резко изменил содержание своих работ: он стал все больше концентрироваться на кошмарных фантазиях, мрачных видениях и сатирическом изображении поведения людей. Освободившись от отвлекающей какофонии повседневной жизни, как говорится, он увидел мир таким, каким тот был на самом деле. Впрочем, воспринимал ли сам Гойя, подобно искусствоведам, глухоту как дар Божий, большой вопрос.

Слушай сегодня, ибо завтра будет поздно

По оценкам, около девяти миллионов человек в Великобритании – ни много ни мало одна седьмая часть населения – страдают от потери слуха в той или иной мере. Как ни крути, с возрастом мы постепенно теряем способность воспринимать высокочастотные звуки. Алан Беннетт писал: «Я и не подозревал, что мой слух ослабевает, но… Р. спросил, слышны ли мне трели сверчков, и я не мог поверить, что ночь, насыщенная звуками, кажется мне тихой». Потеря способности слышать высокие звуки нередко происходит постепенно, почти незаметно, пока не обнаруживаешь, что слух пропал. Поэт Филип Ларкин обнаружил это, когда его друг однажды обратил внимание на то, как чудесно поет жаворонок, а он ничего не слышал. У Ларкина, как и у многих поэтов, частичная глухота вызвала приступ меланхолии. Возрастной потерей способности воспринимать высокочастотные звуковые колебания даже пользуются производители одиозного устройства под названием Mosquito, испускающего оглушительный высокочастотный вой, который слышат подростки, но не воспринимают взрослые. С помощью его причиняющего боль звука одно время разгоняли сборища бездельников и предотвращали антиобщественное поведение на улицах в Великобритании. Эта история имела неожиданное продолжение – сообразительные подростки выяснили частоту звуковых колебаний Mosquito и стали использовать ее в качестве рингтона в мобильных телефонах, который они могли слышать, а учителя нет.

Возрастная потеря слуха, наблюдаемая у всех без исключения, связана с постепенным естественным отмиранием волосковых клеток, которые не восстанавливаются. Громкий шум разрушает наш слух еще быстрее. Рок-музыкант Пит Таунсенд {27} мгновенно оглох на одно ухо во время широко известного случая, когда инсценированный взрыв оказался намного громче ожидаемого. Тысячи солдат, воевавших в Ираке и Афганистане, возвратились домой с необратимой потерей слуха в основном из-за взрывов придорожных мин. Грохот сражений, оглушительный звук на концертах поп-музыки, рев реактивных двигателей и техники – все это наносит нам тяжелый урон. Все дело в том, что наружные волосковые клетки очень чувствительны и могут необратимо повреждаться громкими шумами.

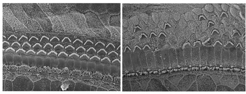
Иллюстрация к книге — Искра жизни. Электричество в теле человека [i_028.jpg]

Слева. Нормальные волосковые клетки. Видны три слоя наружных волосковых клеток и, внизу, один слой внутренних волосковых клеток. Справа. Громкие шумы повреждают наружные волосковые клетки, а потом и внутренние.


Постоянное воздействие умеренно громких звуков также может приводить к необратимой потере слуха по той причине, что у частично поврежденных волосковых клеток нет времени на восстановление. Многие люди, нередко не понимая, что они делают, регулярно подвергают свои уши такому звуковому воздействию, которое может лишить слуха. Звуки громче 85 децибел, действующие продолжительное время, могут стать причиной потери слуха: такой уровень шума характерен для электрической дрели, мотоцикла, звукового сопровождения фильма в кинотеатре и многих других повседневных занятий. Этот уровень также ниже максимальной громкости многих портативных МР3-плееров. Не исключено, что тот, кто включает звук слишком громко и слушает его слишком долго, никогда не услышит голоса своих внуков. Как ни печально, но в течение ближайших десятилетий многим придется вникать в принципы работы уха намного глубже, чем хотелось бы.

Одним из первых признаков повреждения волосковых клеток является хронический звон в ушах, который называют тиннитусом. Музыкальный критик газеты The Times Ричард Моррисон, испытывавший имитирующее тиннитус устройство, описывает этот звук как отвратительный пронзительный свист, который превращает прослушивание музыки в кошмар. «Вы как будто слушаете плывущий звук какой-нибудь алжирской радиостанции сквозь треск старого радиоприемника. Только это еще мучительнее». Моррисон сразу же почувствовал облегчение, как только сбросил имитатор со своих ушей, но для тех несчастных, у кого разрушены волосковые клетки, тиннитус превращается в пожизненное испытание. Тишина для них никогда не бывает тихой. Бетховен, который начал сильно страдать от тиннитуса, когда ему еще не было и 30 лет, жаловался, что слышит свист и гудение день и ночь, и описывал свое состояние как совершенно ужасное. Это удивительно, что, несмотря на такой дефект, он мог создавать мировые музыкальные шедевры.

Хотя тиннитус нередко связывают с потерей слуха, это не всегда так, и многие страдающие от него слышат хорошо. По какой именно причине мы слышим эти внутренне генерируемые звуки, пока не ясно, однако известно, что это связано с изменениями в головном мозге.

Дело вкуса

Я впервые попробовала так называемый магический фрукт как-то летом в Пуэрто-Рико. Этот глянцевый овальный красный фрукт размером с кофейный боб является плодом кустарника Synsepalum dulcificum родом из Западной Африки. А славится он своей необычной способностью превращать кислое в сладкое. Я подержала плод во рту, ощущая прохладу и упругость мякоти, а потом осторожно разжевала, одновременно испытывая любопытство и опасение. У него была тонкая горькая кожица, желтая, чуть терпкая мякоть и ничем не примечательный вкус. Однако десять минут спустя я могла съесть лимон, не поморщившись, и запить его, в порядке эксперимента, уксусом. С закрытыми глазами было трудно узнать многие продукты, особенно своеобразный вкус имело пиво. К счастью, этот эффект исчез через пару часов.

Магический фрукт содержит белок, миракулин, который взаимодействует с рецепторами сладкого, позволяя им активироваться под действием кислых веществ. Существуют и другие натуральные модификаторы вкуса. Тот, кто когда-нибудь ел сырые артишоки, знает, что после них все, включая воду, кажется сладким {28}. Это связано с тем, что артишоки содержат цинарин, который, по всей видимости, подавляет активность рецепторов горького и усиливает активность рецепторов сладкого. Каким бы ни был механизм этого эффекта, он откровенно затрудняет выбор вина, которое можно пить при употреблении артишоков. В отличие от этого джимнемовая кислота, получаемая из южноазиатского травянистого растения Gymnema sylvestre, снижает интенсивность ощущения сладкого, но не горького, отчего многие блюда кажутся необычно горькими, а сахар приобретает вкус золы.

Вход
Поиск по сайту
Ищем:
Календарь