Книга Искра жизни. Электричество в теле человека, страница 16 – Фрэнсис Эшкрофт

Авторы: А Б В Г Д Е Ж З И Й К Л М Н О П Р С Т У Ф Х Ч Ш Ы Э Ю Я
Книги: А Б В Г Д Е Ж З И Й К Л М Н О П Р С Т У Ф Х Ц Ч Ш Щ Ы Э Ю Я
Бесплатная онлайн библиотека LoveRead.in

Онлайн книга «Искра жизни. Электричество в теле человека»

📃 Cтраница 16

Нервные клетки – кирпичики, из которых строится нервная система, включая мозг. Они бывают разных форм и размеров, но все имеют клеточное тело с несколькими тонкими разветвленными отростками. Обычно один из отростков намного длиннее других, его называют нервным волокном или аксоном. Он может быть очень длинным. Аксоны локтевого нерва человека, например, тянутся от спинного мозга до кончиков пальцев. Блуждающий нерв – самый длинный из черепно-мозговых нервов – идет от мозга до желудка, и у жирафа его длина может превышать три метра. Независимо от длины отдельное нервное волокно очень тонкое – его диаметр не превышает десятой части толщины человеческого волоса.

Хотя нервные волокна могут проводить импульсы в любую сторону, обычно они передают их только в одном направлении. Двигательные нервы передают сигнал в наружном направлении: от головного и спинного мозга к мышцам для управления их сокращением, а чувствительные нервы передают информацию в обратном направлении – от органов чувств к головному мозгу.

Иллюстрация к книге — Искра жизни. Электричество в теле человека [i_007.jpg]

Типичная нервная клетка с аксоном и разветвленными дендритами, которые отходят от клеточного тела, и с многочисленными пальцевидными отростками на окончании аксона.


Клеточное тело – это центр управления нервной клеткой: в нем находится ядро с генетическим материалом (ДНК). Многочисленные короткие отростки отходят от тела нервной клетки подобно ветвям дерева, поэтому их и называют дендритами, от греческого слова «дендрон» – дерево. Дендриты получают сигналы от других клеток и служат центрами обработки информации низшего уровня, которые объединяют всю входящую информацию перед ее передачей клеточному телу. Тела нервных клеток находятся почти исключительно в головном и спинном мозге, где их защищает «гематоэнцефалический барьер», отделяющий кровь от цереброспинальной жидкости, в которой находится головной и спинной мозг. Головной мозг выполняет роль командного центра всей нервной системы. В нем сосредоточены миллионы нервных клеток, каждая из которых имеет множество отростков и многочисленные связи с другими клетками мозга.

Импульс к действию

Нервные клетки передают информацию с помощью электрических сигналов, называемых нервными импульсами или потенциалами действия. Они бегут по нервному волокну со скоростью до 400 км/ч. Самыми быстрыми нервами являются те, что заключены в изолирующую миелиновую оболочку. Она формируется слой за слоем из мембран особых клеток (так называемых шванновских клеток), которые плотно обертывают аксон, подобно слоям рулета или туалетной бумаги на трубке рулона. Изолирующая миелиновая оболочка позволяет быстрее передавать электрические импульсы. При ее повреждении проводимость нерва нарушается.

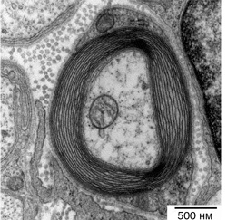
Иллюстрация к книге — Искра жизни. Электричество в теле человека [i_008.jpg]

Миелинизированный нерв. Видны слои изолирующего миелина, намотанные на аксон. Небольшой органоид в центре нерва – это митохондрия, один из генераторов энергии клетки.


Многочисленные шванновские клетки расположены вереницей вдоль всей длины аксона. Через каждые несколько микрометров между соседними шванновскими клетками образуется небольшой зазор, называемый перехватом Ранвье, который позволяет оголенной мембране нерва контактировать с внеклеточной жидкостью. Поскольку миелиновая оболочка является хорошим изолятором, электрический ток может течь от нервной клетки к внеклеточной жидкости только в местах перехватов. Перехваты, таким образом, служат ретрансляционными станциями, усиливающими потенциал действия и повышающими его скорость. Фактически нервный импульс движется быстрее в миелинизированных нервах потому, что его передний фронт перепрыгивает последовательно от перехвата к перехвату. Это объясняет, почему миелинизированные нервы передают потенциалы действия намного быстрее немиелинизированных нервных волокон.

Ярким примером критической важности миелина является синдром Гийена – Барре. Это редкое аутоиммунное заболевание обычно начинается с покалывания и слабости в ступнях, за которыми быстро следует паралич нижних конечностей, затем кистей рук и предплечий и под конец мышц грудной клетки, так что больной теряет способность дышать, и его приходится подключать к аппарату искусственного дыхания. В конечном итоге поражаются почти все нервы, включая лицевые. Человек при этом перестает говорить и может реагировать на вопросы только движением глаз. В самом тяжелом случае переход от нормального функционирования нервной системы почти к полному параличу может произойти за один день.

Синдром Гийена – Барре вызывают вырабатываемые организмом антитела, которые предназначены для защиты от чужеродных белков, но по неизвестным причинам атакуют собственные ткани – своего рода клеточный огонь по своим. Это приводит к потере миелина, разрушению оболочки нервов и прекращению передачи импульсов. Головной и спинной мозг не страдают от этого, поскольку антитела не могут преодолеть окружающий их гематоэнцефалический барьер и добраться до миелинизированных волокон. К счастью, этот паралич обычно не является необратимым, и как только антитела удаляются из системы, миелин восстанавливается. Вместе с тем процесс восстановления идет медленно, примерно по сантиметру в день, и высокому человеку может потребоваться больше года, чтобы к некоторым мышцам вернулась работоспособность. Во многих случаях полностью функции так и не восстанавливаются.

Аналогична причина и рассеянного склероза, который возникает в результате постепенного и неумолимого аутоиммунного разрушения миелиновой оболочки, ведущего к прогрессивной деградации проводимости нервов и в конечном итоге к потере координации и расстройству двигательной функции. Он может также приводить к слепоте при повреждении зрительных нервов. Одной из самых известных жертв этого заболевания была одаренная и обаятельная молодая британская виолончелистка Жаклин Дюпре. Когда ей было всего 26, она начала терять чувствительность кончиков пальцев и в скором времени полностью перестала чувствовать струны своего инструмента. Два года спустя она покинула сцену.

Разговоры нервов

Мы, люди, представляем собой цифровые системы с незапамятных времен. Задолго до зарождения идеи компьютера наши нервные волокна передавали импульсы, несущие цифровой код. Потенциалы действия подчиняются закону «все или ничего» – их амплитуда постоянна и не зависит от силы раздражителя. Возрастание силы раздражителя приводит к повышению частоты потенциалов действия. Наглядной аналогией является пулемет. При достаточно сильном нажатии на спусковой крючок пулемет стреляет, но если сила воздействия не достигает определенного порога, то пули (или потенциалы действия) не вылетают. Более того, информация по нервам передается во многом подобно пулеметной очереди – как поток идентичных потенциалов действия. При этом более сильный раздражитель вызывает генерирование большего числа импульсов. Такое частотное кодирование имеет значительные преимущества. Оно гарантирует, например, передачу электрических импульсов на большие расстояния без искажения информации или затухания сигнала.

Вход
Поиск по сайту
Ищем:
Календарь