Книга Кожа: мифы и правда о самом большом органе, страница 36 – Андрей Сазонов

Авторы: А Б В Г Д Е Ж З И Й К Л М Н О П Р С Т У Ф Х Ч Ш Ы Э Ю Я
Книги: А Б В Г Д Е Ж З И Й К Л М Н О П Р С Т У Ф Х Ц Ч Ш Щ Ы Э Ю Я
Бесплатная онлайн библиотека LoveRead.in

Онлайн книга «Кожа: мифы и правда о самом большом органе»

📃 Cтраница 36
Иллюстрация к книге — Кожа: мифы и правда о самом большом органе [i_025.jpg]

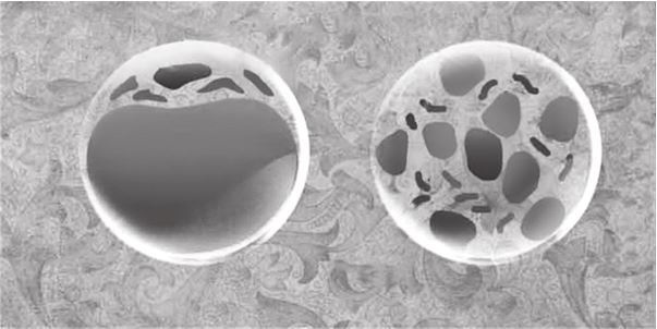
Клетки белой и бурой жировой ткани


Давайте познакомимся поближе с белыми и бурыми жировыми клетками.


Белые жировые клетки содержат одну крупную, просто огромную каплю жира, которая занимает почти все внутриклеточное пространство, оттесняя ядро клетки и немногочисленные митохондрии на периферию.

Митохондрии — это своеобразные энергетические станции клетки. Здесь перерабатываются (подвергаются окислению) органические вещества — жирные кислоты и пировиноградная кислота, конечный продукт метаболизма глюкозы. Извлекая энергию из этих кислот, митохондрии синтезируют молекулы аденозинтрифосфата (АТФ), о котором говорилось во второй главе. Митохондрии имеют сферическую или эллипсоидную форму. Мембран у митохондрии две — гладкая внешняя и складчатая внутренняя, которая образует множество поперечных перегородок, называемых «кристами». На этих перегородках и происходят химические реакции по «переработке» энергии.

Для чего нужна такая переработка?

Для того, чтобы использовать АТФ в клетке. Клеточные структуры могут извлекать энергию только из этого вещества. Проще говоря, митохондрии переводят поступившую в клетку энергию в легкоусвояемую форму.

Иллюстрация к книге — Кожа: мифы и правда о самом большом органе [i_026.jpg]

Строение митохондрии


Митохондрии — очень важный клеточный орган, наделенный особыми правами. У митохондрий есть своя собственная митохондриальная ДНК, благодаря чему они способны к самостоятельному размножению.

Чем выше энергетические потребности клетки, тем больше в ней митохондрий. Особенно богаты митохондриями мышечные клетки, а также клетки печени, головного мозга и бурой жировой ткани.

Бурые жировые клетки содержат не одну большую, а много маленьких капелек жира и большое количество митохондрий, из-за которых клетка выглядит бурой, а не белой. Общий жировой запас бурой клетки в несколько раз меньше, чем белой. Оно и понятно, ведь бурая клетка не склад жира, а энергетическая станция, микроскопическая биологическая теплоцентраль.

В превращении белой жировой клетки в бурую нет ничего особенного и тем более — сверхъестественного. Увеличивается количество митохондрий, одновременно уменьшается количество жира, и одна огромная жировая капля дробится на много маленьких. Это вам не из лягушки в красну девицу превращаться.

Удивительно другое — работа митохондрий бурых жировых клеток. В отличие от митохондрий других клеток нашего организма, они используют для синтеза АТФ примерно десятую долю энергии, высвобождаемой при переработке жирных кислот. Одну десятую! Девять десятых энергии «пускается на ветер», то есть выделяется в виде тепла. Именно образование тепла и является основной функцией митохондрий бурых жировых клеток. АТФ они синтезируют «постольку-поскольку», для обеспечения клеточной (и своей собственной) [69] потребности в энергии. При этом окислительная способность, то есть мощность митохондрий бурых жировых клеток в несколько раз превышает окислительную способность митохондрий белых клеток.

Если вас когда-нибудь интересовал вопрос — почему медведи и прочие животные не замерзают во время зимней спячки? — то знайте, что их спасает от этого запас бурого жира. Эта теплоцентраль работает так хорошо, что согревает неподвижное животное на протяжении нескольких месяцев, да еще и в холодной норе! Пробудившийся от спячки медведь такой тощий не только потому, что питался запасенным жиром, но и потому что грелся за счет него.

У человека бурая жировая ткань расположена в области шеи, почек, верхней части спины и на плечах. Лучше всего она развита у новорожденных детей (около 5 % от массы тела), которые остро нуждаются в тепле после появления на свет. Девять месяцев они жили в утробе матери, без какого-либо риска переохладиться, а теперь им надо согреваться самим.

По мере роста часть бурых клеток превращается в белые, то есть — в них уменьшается количество митохондрий, а жира, наоборот, прибавляется. Организму с устоявшейся системой терморегуляции уже не нужно столько теплоцентралей. Наш организм, впрочем, как и все живые организмы, — крайне рачительная структура, не приемлющая никаких излишеств. Если без чего-то можно обойтись, то без этого нужно обойтись. Никаких напрасных трат энергии организм позволить не может, а ведь бурые жировые клетки «выбрасывают» 90 % этой самой энергии! Небольшое количество бурой жировой ткани остается у нас для того, чтобы дополнительно согревать кровь, идущую к головному мозгу и к почкам. Головной мозг — наш Верховный Главнокомандующий, а почки — наши чистильщики, поэтому им и делается такая привилегия, весьма дорого обходящаяся организму. Особенно важна роль этого дополнительного обогрева при низких температурах окружающей среды.


В 2012 году мир облетела сенсационная весть — был открыт белок иризин, который образуется в мышцах во время регулярных сокращений из белка-предшественника. Собственно, ничего сенсационного в открытии нового белка не было. Такие открытия в наше время происходят довольно часто и на научную сенсацию никак не тянут. Но спокойно тянут на сенсацию газетную. В прессе вообще из чего угодно можно сделать сенсацию. А что сложного? Если завтра во всех изданиях вдруг появятся крупные заголовки: «Ученые доказали, что Волга впадает в Каспийское море!», то эта «новость» тоже станет сенсацией.

Что такого замечательного есть у иризина? У мышей (да — у мышей!) иризин способствует превращению белых жировых клеток в бурые. Предположительно (предположительно!) тем же самым свойством должен был обладать и человеческий иризин.

Чувствуете, какая глубокая (правда, журналисты в этом случае чаще употребляют слово «жирная») тема? «Мышечные нагрузки превращают плохой жир в хороший!». «Физические упражнения сжигают гораздо больше жира, чем вы думали!». И так далее в том же духе…

Вскоре появились сообщения о том, что то в одной, то в другой лаборатории проводятся работы над созданием препарата, стимулирующего образование иризина. Мир, затаив дыхание, замер в ожидании чуда… Скоро можно будет есть вволю и худеть, лежать на диване — и худеть!

Но самое интересное и самое важное, как водится, осталось за рамками сенсации. Исследование иризина показало, что у людей этот гормон белковой природы работает совсем не так, как у мышей. Какие-то функции у иризина есть, иначе бы его у нас не было, поскольку бесполезных «нахлебников» наш организм не терпит. Но вот размножение митохондрий в наших жировых клетках и их «настройку» на интенсивную работу иризин не стимулирует.

Вам хочется пруфов? Они у меня есть. Вот, например, исследование, проведенное в медицинской клинике Дюссельдорфского университета имени Генриха Гейне (Heinrich-Heine-Universität Düsseldorf), где эндокринология (главным образом — диабетология) [70] и кардиология являются ведущими направлениями научных исследований. В сентябре 2013 года сотрудники клиники опубликовали в журнале «PLOS Medicine» [71] статью под названием «Доказательства, опровергающие наличие положительного эффекта иризина у человека» [72]. Суть статьи ясна из названия, пояснять здесь нечего [73].

Вход
Поиск по сайту
Ищем:
Календарь