Книга Забывчивость - мое второе ... что-то там. Как вернуть то, что постоянно вылетает из головы, страница 21 – Такаси Цукияма

Авторы: А Б В Г Д Е Ж З И Й К Л М Н О П Р С Т У Ф Х Ч Ш Ы Э Ю Я
Книги: А Б В Г Д Е Ж З И Й К Л М Н О П Р С Т У Ф Х Ц Ч Ш Щ Ы Э Ю Я
Бесплатная онлайн библиотека LoveRead.in

Онлайн книга «Забывчивость - мое второе ... что-то там. Как вернуть то, что постоянно вылетает из головы»

📃 Cтраница 21

А вот какая ситуация была у другого пациента. После БИК-спектроскопии, которая помогает оценить состояние мозга на основе регионарного мозгового кровотока, было обнаружено, что кровоток в некоторых областях мозга ослаблен. Тогда пациента обследовали с помощью МРТ и увидели, что сосуды в этих областях сужены. В подобных случаях нельзя уверенно сказать, что является причиной, а что – следствием. Может быть, из-за каких-то проблем сосуды мозга сузились, и поэтому мозг стал работать хуже. Или же, наоборот, из-за того, что пациент не задействовал эти области мозга, потребности в их поддержании особо не возникало, кровь поступала туда плохо, и сосуды сузились. Чтобы лечение было эффективным, очень важно учитывать обе эти вероятности.

В порядке ли «железо» вашего мозга?

В этой книге мы говорим о симптомах начальной стадии снижения интеллекта у людей без каких-либо физиологических повреждений мозга, об их причинах и способах лечения. Но в этой главе я хочу коснуться проблем, возникающих в «железе» мозга. Если эта тема вам не интересна, можете пропустить эту главу.

Но запомните один факт: «зависания» могут происходить не только из-за того, что человек долгое время неправильно использовал ресурсы мозга, но и из-за физических поражений.

Если какой-то из примеров в этой книге точь-в-точь описывает ваш случай, не думайте, что для улучшения состояния достаточно будет просто изменить свой образ жизни. Я рекомендую хотя бы раз пройти обследование, чтобы удостовериться, что нет физиологических поражений мозга. А людям, которые уже в возрасте, лучше взять за правило обследоваться время от времени.

Когда болтун замолкает

Расскажу вам один реальный случай. Однажды один дедушка, члены семьи которого всегда считали его болтливым, стал меньше говорить. Он молчал всё больше, пока практически совсем не перестал говорить. Других видимых изменений не было. На первый взгляд его случай был похож на описанный ранее пример, когда у человека начинает что-то плохо получаться, он перестает это делать и постепенно совсем разучивается. Но выяснилось, что у этого дедушки опухоль мозга как раз в левой лобной доле – области, отвечающей за речь.

Возможно, вы подумаете, что опухоль должна сопровождаться болевыми ощущениями. Иногда, когда она доброкачественная и развивается медленно, боли человек не чувствует. Чтобы было понятно, как мозг располагается в черепе, представьте себе тофу [11], плавающий в миске для готовки. Когда тофу разбухнет, между ним и миской еще будет оставаться место. Так и с мозгом человека. Пока место между мозгом и черепом остается, человек не чувствует боли. А у пожилых людей мозг уменьшен в размере, и поэтому, когда опухоль только образуется, никаких симптомов вообще не бывает. Часто её замечают только тогда, когда она становится достаточно крупной.

Мозг достаточно чутко реагирует на изменения в человеческом теле, но при этом удивительно плохо реагирует на изменения в нём самом. Поэтому мне кажется, что заметить что-то неладное проще как раз по таким внешним признакам, как «зависания», не дожидаясь серьезных проблем с речью или с мышлением. Кстати, благодаря тому, что опухоль у того дедушки обнаружили на относительно раннем этапе, он успешно перенес операцию и прошел реабилитацию. Его состояние улучшилось, и он теперь даже шутит.

Резкое ухудшение симптомов – опасный признак

Сложно подробно рассказать, чем отличаются «зависания» мозга, вызванные неправильным образом жизни, от тех, которые случаются из-за болезней мозга. Но можно сказать точно, что резкое ухудшение состояния должно вызвать подозрения в последнем. Симптомы снижения интеллекта, которые возникают из-за того, что человек перестал делать какие-то привычные вещи, обычно развиваются медленно, в течение нескольких месяцев или лет. К тому же они могут немного по-разному проявляться в зависимости от самочувствия и настроения человека.

В случае, если состояние ухудшается быстро, неотвратимо и не волнообразно, то лучше пройти обследование (конечно, даже если симптомы развиваются как-то иначе, лучше все равно на всякий случай обследоваться).

Эпилепсия, развившаяся из-за детской травмы

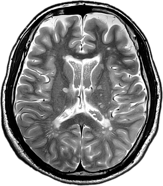
Разберем еще один случай с «зависаниями» мозга по другой причине. Недавно к нам в больницу поступил пациент – водитель грузовика, специализировавшийся на мелких грузах. Мужчина 30 с небольшим лет потерял сознание во время работы. Обычно работники этой сферы попадают в больницу с переутомлением или малокровием. Только что поступившему пациенту сделали КТ, но не обнаружили патологий: ни признаков инфаркта мозга, ни внутримозгового кровоизлияния. Однако обнаружились некоторые различия в тканях правой и левой частей мозга. Кроме того, были некоторые странности в обстоятельствах произошедшего – пациент не помнил, что было до и после того, как он упал в обморок. Поэтому мы попросили его лечь в больницу для детального обследования и контроля за его состоянием. Позже измерения мозговых волн показали, что у пациента эпилепсия.

После расспросов выяснилось, что этот мужчина долгое время перерабатывал. Когда он несколько дней подряд работал слишком много, то иногда чувствовал, что с трудом понимает речь других людей. Затем у него накапливалось еще больше работы, и он в итоге падал в обморок. Сам он считал, что у него малокровие, и со стороны было похоже, что это так. Но при малокровии память не теряют. Мы позвонили его матери и выяснили, что в детстве пациент попал в аварию, и у него была травмирована височная область. Возможно, из-за этого у него и развилась эпилепсия.

Иллюстрация к книге — Забывчивость - мое второе ... что-то там. Как вернуть то, что постоянно вылетает из головы [i_004.jpg]

МРТ-снимок мужчины 30 с лишним лет, у которого из-за переутомления случались потери сознания.


Эпилепсию можно сравнить с коротким замыканием в мозге. Бесчисленные нейроны в мозге образуют сеть, и между ними по каналам (синапсам) с помощью электрических сигналов передается информация. С больными эпилепсией происходит следующее.

Когда в проблемные участки мозга поступает слишком много электрических сигналов, происходит как будто короткое замыкание и срабатывает автоматический выключатель.

Мы привыкли думать, что эпилепсия – какая-то особенная болезнь, но на самом деле этот недуг может быть у многих людей в латентном состоянии. Он похож на короткое замыкание, поэтому в спокойном состоянии не проявляется. Эпилепсия появляется только, когда возникают какие-то сбои. Когда человек перегружает себя, мозг начинает функционировать хуже. До обморока может и не доходить, но может проявляться «зависаниями».

Эпилепсия опасна припадками. Если контролировать объемы работы, чтобы в мозге не было переизбытка электрического тока, можно вести обычную жизнь, как все здоровые люди. К тому же сейчас много хороших препаратов, которые могут предотвратить приступы. Поэтому не стоит сильно переживать, если вдруг у вас причиной «зависаний» мозга окажется эпилепсия. Важно обнаружить её на начальной стадии. Тот мужчина, который поступил к нам в больницу, сейчас в порядке и продолжает работать в той же компании, правда, уже в офисе.

Вход
Поиск по сайту
Ищем:
Календарь