Онлайн книга «Мозг. От хорошего к превосходному»
|
Глава 2
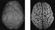
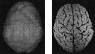
Когда мозг работает правильно, у вас все хорошо Когда мозг не в порядке, в жизни начинаются неприятности Именно мозг определяет эффективность вашей жизни. Этот принцип выглядит простым, но на самом деле он достаточно неоднозначный и может вызвать тревожность. Основная идея заключается в том, что мозг должен функционировать оптимально. Когда он работает правильно, вам легче оставаться эффективным родителем, ребенком, партнером, другом, коллегой, менеджером или общественным деятелем. Когда мозг функционирует правильно, вы имеете полный доступ к своему истинному Я. С другой стороны, если мозг болен, начинаются трудности в работе, отношениях, наедине с собой и в компаниях. Становится труднее проявлять свои лучшие качества и сильные стороны, нередко люди действуют вопреки своим ценностям, целям и представлениям о нравственности. Принцип 2 Когда мозг работает правильно, у вас все хорошо. Когда мозг не в порядке, в жизни начинаются неприятности Я вывел этот принцип в результате интерпретации сотен томограмм моих пациентов, поскольку не только читаю сканы, но и напрямую работаю с людьми и их семьями, изучаю историю их жизней. Уже в самом начале моей работы с томографией стало очевидно, что существует зависимость между качеством функций мозга на сканограммах и умением моих пациентов принимать решения, ставить цели и поддерживать отношения. Анализируя снимки, я стал размышлять о разнице между двумя типами поведения, которые я называю волевым поведением (управляемым силой воли) и мозговым поведением (управляемым неконтролируемыми импульсами мозга). Реализовывать команды силы воли возможно только при здоровом мозге, поскольку лишь он позволяет людям делать осознанный выбор и в любой ситуации действовать себе во благо. Волевое поведение продуктивно, оно способствует достижению целей, которые вы сами поставили. Например, приняв решение поступить в медицинский институт, человек должен очень усердно учиться, чтобы выдержать сложные экзамены. Прежде чем объяснить, что такое «мозговое поведение», я хочу сделать небольшое отступление, чтобы рассказать о томографии, которую мы проводим в наших клиниках. Она называется ОЭКТ — однофотонная эмиссионная компьютерная томография — и относится к области ядерной медицины, то есть для оценки кровообращения и схем активности мозга используются крошечные дозы радиоизотопов. Сканограммы ОЭКТ отличаются от типичных анатомических снимков МРТ и КАТ, которые показывают строение мозга. ОЭКТ показывает только степень активности разных областей мозга — то, как он работает. Результаты сканов ОЭКТ очень легко интерпретировать. Нужно посмотреть на области мозга, которые работают хорошо, области, которые функционируют чересчур активно («перегреты») и на недостаточно активные области. Затем мы сравниваем изучаемый скан с большой базой данных здоровых и абнормальных томограмм. В этой книге используют трехмерные снимки мозга двух видов. Первый — это трехмерные снимки поверхности, которые фиксируют верхние 45 % активности мозга. На них показано кровообращение в коре мозга и подкорковых областях. По этим снимкам мы определяем области нормального кровообращения и области со сниженным доступом крови. С помощью таких томограмм выявляют инсульты, травмы и ущерб от наркотиков. Снимок здорового мозга должен показать ровную симметричную активность по всей поверхности коры мозга (рис. 2.1 и 2.2). Трехмерное изображение поверхности здорового мозга ОЭКТ (вид поверхности сверху и снизу) Рис. 2.1 Вид сверху Полная симметричная активность ![]() Рис. 2.2 Вид снизу Полная симметричная активность ![]() Сниженная активность выглядит на подобных сканах как дыра или вмятина. Эти «дыры» и «провалы» не означают, что активность мозга в этих местах совсем на нуле, она просто снижена, так как компьютер настроен показывать только верхние 45 % активности. Все, что меньше этого значения, выглядит как дыра или вмятина. Порог в 45 % выбран, поскольку он соответствует двум стандартным отклонениям от нормы [1] и, согласно нашим данным и данным других исследователей, является оптимальным для диагностических целей. Второй тип томограмм — это трехмерные функциональные снимки, в которых компьютер сначала вычисляет среднюю активность мозга, а затем показывает верхние 15 % активности. Они помогают увидеть гиперактивные области, что полезно в диагностике припадков, разных типов тревожности и депрессии. Здоровый трехмерный функциональный снимок (рис. 2.3 и 2.4) должен показывать активность (белым цветом) в задней части мозга (мозжечке) и визуальной, или затылочной, коре и среднюю активность в остальных местах (показано сеткой). Трехмерное изображение функциональной активности здорового мозга ОЭКТ (вид поверхности сверху и снизу) Рис. 2.3 Вид сверху ![]() Рис. 2.4 Вид сверху ![]() Примечание: В тексте книги будут использоваться иконки, которые помогут читателю понимать сканограммы и увидеть их отличия от нормы. Рис. А состоит из двух иконок: трехмерного изображения поверхности здорового мозга, вид сверху; и модели мозга с той же самой перспективы. ![]() Рис. Б показывает трехмерный снимок поверхности здорового мозга, вид снизу, а нижняя иконка — это модель мозга с той же перспективы. ![]() Рис. В показывает трехмерную картину активности здорового мозга, вид сверху, а ниже показан мозг в этой проекции. ![]() |
![Иллюстрация к книге — Мозг. От хорошего к превосходному [i_001.jpg] Иллюстрация к книге — Мозг. От хорошего к превосходному [i_001.jpg]](img/book_covers/076/76262/i_001.jpg)
![Иллюстрация к книге — Мозг. От хорошего к превосходному [i_002.jpg] Иллюстрация к книге — Мозг. От хорошего к превосходному [i_002.jpg]](img/book_covers/076/76262/i_002.jpg)
![Иллюстрация к книге — Мозг. От хорошего к превосходному [i_003.jpg] Иллюстрация к книге — Мозг. От хорошего к превосходному [i_003.jpg]](img/book_covers/076/76262/i_003.jpg)
![Иллюстрация к книге — Мозг. От хорошего к превосходному [i_004.jpg] Иллюстрация к книге — Мозг. От хорошего к превосходному [i_004.jpg]](img/book_covers/076/76262/i_004.jpg)
![Иллюстрация к книге — Мозг. От хорошего к превосходному [i_005.jpg] Иллюстрация к книге — Мозг. От хорошего к превосходному [i_005.jpg]](img/book_covers/076/76262/i_005.jpg)
![Иллюстрация к книге — Мозг. От хорошего к превосходному [i_006.jpg] Иллюстрация к книге — Мозг. От хорошего к превосходному [i_006.jpg]](img/book_covers/076/76262/i_006.jpg)
![Иллюстрация к книге — Мозг. От хорошего к превосходному [i_007.jpg] Иллюстрация к книге — Мозг. От хорошего к превосходному [i_007.jpg]](img/book_covers/076/76262/i_007.jpg)