Книга Неалкогольная жировая болезнь печени, страница 12 – Е. Вовк

Авторы: А Б В Г Д Е Ж З И Й К Л М Н О П Р С Т У Ф Х Ч Ш Ы Э Ю Я
Книги: А Б В Г Д Е Ж З И Й К Л М Н О П Р С Т У Ф Х Ц Ч Ш Щ Ы Э Ю Я
Бесплатная онлайн библиотека LoveRead.in

Онлайн книга «Неалкогольная жировая болезнь печени»

📃 Cтраница 12
Иллюстрация к книге — Неалкогольная жировая болезнь печени [i_036.jpg]

Рис. 33. Взаимосвязь ожирения, хронической болезни почек и НАСГ (модифицировано по IxJ.H. et al.) [45]


Суммируя результаты многочисленных научных и клинических исследований, можно заключить, что НАЖБП и особенно НАСГ — это прогрессирующее проатерогенное заболевание, задействующее ранние доклинические механизмы развития ССЗ (рис. 34).

Иллюстрация к книге — Неалкогольная жировая болезнь печени [i_037.jpg]

Рис. 34. Мультисистемные влияния НАЖБП как компонента МС(модифицировано по Lonardo A., Targher G., 2016) [44]

Глава 8
Диагностика НАЖБП

НАЖБП диагностируют при выявлении жировой инфильтрации печени в том случае, если:

1) пациент не злоупотребляет алкоголем;

2) не принимает лекарственных препаратов, которые могут стать причиной вторичного стеатоза;

3) не имеет наследственных заболеваний, приводящих к микро- или макровезикулярному стеатозу печени.

Таким образом, в общей практике НАЖБП как ранний предиктор высокого риска сердечно-сосудистой патологии и СД 2 типа должен выявляться целенаправленно. Однако ранняя диагностика НАЖБП осложнена отсутствием специфических симптомов, особенно на ранних стадиях болезни. Простой стеатоз печени может протекать бессимптомно и диагностироваться случайно при обследовании пациента по другому поводу. Симптомы НАСГ зависят от активности процесса: часть пациентов предъявляет жалобы неспецифического характера: на повышенную утомляемость, ноющую боль или дискомфорт в области правого подреберья без четкой связи с приемом пищи. В тех случаях, когда НАЖБП приводит к развитию цирроза печени, появляются симптомы, которые служат проявлением печеночной недостаточности и/или портальной гипертензии: увеличение размеров живота, отеки, геморрагический синдром, энцефалопатия.

Согласно международному консенсусу и клиническим практическим рекомендациям Европейской ассоциации по изучению печени (EASL, European Association for the Study of the Liver) 2016 года, активный скрининг НАЖБП прежде всего необходим при ожирении — основном факторе риска развития/прогрессирования НАЖБП и инсулинорезистентности (уровень доказательности А1) [47].

Скрининговое обследование для выявления НАЖБП показано пациентам с:

✓ ожирением;

✓ сахарным диабетом 2 типа;

✓ метаболическим синдромом;

✓ атерогенной дислипидемией;

✓ гипотиреозом;

✓ синдромом мальабсорбции;

✓ увеличением титров АЛТ.

Физикальное исследование. При объективном осмотре выявляются признаки ожирения печени; умеренное увеличение печени, край ее закруглен, консистенция тестоватая. При выраженном фиброзе печень становится плотной, на стадии цирроза могут быть обнаружены «печеночные знаки», спленомегалия, портальная гипертензия.

Лабораторные исследования: титры ТГ, холестерина, ЛПВП, ЛПНП; аполипопротеин В, АЛТ, ACT, билирубин, ЩФ, ГГТП, альбумин, коагулограмма.

Отклонения липидного профиля при НАЖБП характерны для метаболического синдрома: повышение содержания триглицеридов (≥ 1,7 ммоль/л) и снижение уровня ЛПВП (<0,9 ммоль/л у мужчин и <1,0 ммоль/л у женщин). Увеличение титров АЛТ и ACT, ГГТ при НАЖБП обычно не превышает 4-5-кратный уровень. При НАСГ преобладает активность АЛТ. В случае преобладания активности ACT, соотношение АСТ/АЛТ, как правило, не превышает 1,3, но возрастает при выраженном фиброзе. Степень повышения ACT и АЛТ не является точным показателем тяжести процесса и не коррелирует с выраженностью стеатоза и фиброза печени. Вероятность НАСГ выше, если активность сывороточных трансаминаз превышает верхнюю границу нормальных значений более чем в 2 раза, однако нормальные показатели активности трансаминаз не позволяют надежно исключить НАСГ и фиброз печени. Уровень ГГТ повышен у большинства пациентов, как правило, не более чем в два раза, в ряде случаев это может быть единственным отклонением в биохимическом анализе. Повышение уровня ЩФ наблюдается у трети больных и также обычно не превышает норму более чем в два раза. Примерно в 20 % случаев выявляется умеренное повышение содержания общего билирубина за счет прямой фракции (в 1,5–2 раза).

Глюкоза крови натощак троекратно. При устойчивой гипергликемии натощак необходимо определить иммунореактивный инсулин в плазме натощак (ИРИ). Значение ПРИ больше 18 мкед/мл расценивается как базальная гиперинсулинемия; одновременное определение повышенного уровня С-пептида подтверждает полученный результат.

Тест на инсулинорезистентность (НОМА > 2). Гомеостатическая модель оценки инсулинорезистентности: расчет показателя НОМА-IR (HomeostasisModelAssessment-InsulinoResistance). НОМА-IR = инсулин плазмы натощак (мкед/мл) х глюкоза плазмы натощак (ммоль/л)/22,5. Значение НОМА-IR > > 2,27 указывает на инсулинорезистентность. Необходимо помнить, что диагностическая точность теста резко снижается у пациентов с сахарным диабетом.

Определение ферритина, церулоплазмина, маркеры вирусного гепатита — с целью постановки дифференциального диагноза.

НАСГ необходимо дифференцировать с:

✓ алкогольной болезнью печени;

✓ токсическим гепатитом/ятрогенным липидозом;

✓ гемохроматозом;

✓ болезнью Вильсона-Коновалова;

✓ вирусным гепатитом;

✓ аутоиммунным гепатитом.

Методы инструментальной диагностики НАЖБП

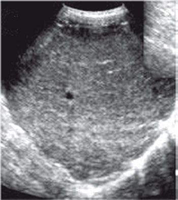
УЗИ имеет преимущества при скрининговой диагностике НАЖБП, особенно у пациентов без клинических симптомов поражения печени. При УЗИ печени определяется;

✓ диффузная гиперэхогенность паренхимы печени и неоднородность ее структуры;

✓ нечеткость и/или подчеркнутость сосудистого рисунка;

✓ дистальное затухание ЭХО-сигнала.

При рентгеновской КТ печени основными признаками НАЖБП служат:

✓ снижение лучевой плотности печени на 3–5 HU, которая в норме составляет 50–75 HU;

✓ более низкая лучевая плотность печени в сравнении с селезенкой;

✓ более высокая плотность внутрипеченочных сосудов, воротной и нижней полой вен в сравнении с печеночной тканью.

Иллюстрация к книге — Неалкогольная жировая болезнь печени [i_038.jpg]

Рис. 35. Эхограмма печени при НАЖБП

Вход
Поиск по сайту
Ищем:
Календарь