Книга Мы - это наш мозг. От матки до Альцгеймера, страница 8 – Дик Свааб

Авторы: А Б В Г Д Е Ж З И Й К Л М Н О П Р С Т У Ф Х Ч Ш Ы Э Ю Я
Книги: А Б В Г Д Е Ж З И Й К Л М Н О П Р С Т У Ф Х Ц Ч Ш Щ Ы Э Ю Я
Бесплатная онлайн библиотека LoveRead.in

Онлайн книга «Мы - это наш мозг. От матки до Альцгеймера»

📃 Cтраница 8

(А — amygdala; AM — anteromedial subnucleus of the basal nucleus; BST — bed nucleus of the stria terminals; DBB — diagonal band of Broca; DMV — dorsal motor nucleus of the nervus vagus; LC — locus coeruleus; NSM — nucleus septalis medialis; NTS — nucleus of the solitary tract; PBN — parabrachial nucleus; PVN — paraventricular nucleus; SON — supraoptic nucleus; SCN — suprachiasmatic nucleus; SN — substantia nigra)

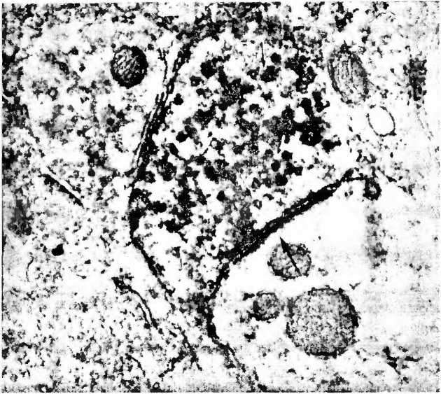
Иллюстрация к книге — Мы - это наш мозг. От матки до Альцгеймера [i_008.jpg]

Рис. 5B. В электронный микроскоп окситоцин и вазопрессин видны как черные зернышки в месте контакта отростков нейронов (синапсе). (Buys R. М. Swaab D. FCell Tiss. Res. 204, 355–365, 1979.) Поступая в мозг, эти вещества влияют на наше поведение, например на социальное взаимодействие.


Крестьяне испокон веку знают о воздействии окситоцина, хотя в жизни ничего не слыхали об этом гормоне. Если нужно отдать ягненка приемной матери, стимулируют вагину и матку овцы, что вызывает выделение окситоцина, и гормон привязанности заботится о том, чтобы направить материнское поведение овцы на чужого ягненка.

Мозг вырабатывает также близкородственное вещество — вазопрессин. Наряду с окситоцином он играет ключевую роль в материнском поведении, в том числе и в ярости, с которой мать защищает своего ребенка. Это вещество причастно и к другим видам социального поведения, таким как формирование пары. Достаточно небольшого изменения в одной из строительных ячеек ДНК рецептора вазопрессина (протеина, который принимает послание вазопрессина в мозге) — и у мужчин появляется вдвое больше проблем в браке, возникает вдвое больше разводов и вдвое больше измен. Если мужчине после приема вазопрессина показать изображение незнакомого человека, он воспринимает выражение его лица как недружелюбное, что потворствует ксенофобии. У женщин всё происходит прямо противоположным образом. Вазопрессин вызывает у них симпатию к незнакомцу, поскольку женщины больше обращают внимание как раз на приятные черты чужого лица. Нетрудно представить, что кое-кому покажется соблазнительной мысль о возможности улучшить человеческое общество с помощью спрея окситоцина для мужчин и вазопрессина для женщин.

Недавно было обнаружено, что нарушения в системах вазопрессина и окситоцина в мозге могут встречаться при аутизме. Аутистам часто с трудом удается судить о чувствах и намерениях другого по его мимике (читать Моюш) или сопереживать вместе с ним (сочувствовать другому). Некоторые из них, например, не могут понять, что означает плач чужого ребенка, или не различают эмоций в голосе говорящего. По словам Темпл Грэндин, аутистки и профессора ветеринарии в США, ее эмоциональная цепь попросту отключена. И действительно, сейчас уже выявлено отклонение содержания вазопрессина и окситоцина в крови при аутизме. Установлены также небольшие генетические изменения в протеинах, которые принимают в мозге послания вазопрессина или окситоцина. Обогащение окситоцином, напротив, улучшает чтение мыслей. И тогда удается лучше воспринимать по выражению лица мысли и намерения собеседника. Окситоцин повышает к тому же способность распознавать эмоции в голосе и понимание эмоционального значения интонаций в речи. И вазопрессин, и окситоцин могут быть причастны к симптомам аутизма, но рассматривать их как социальный мозг было бы колоссальным упрощением. На социальное поведение влияет и множество других медиаторов и мозговых структур.

Возможности приложения знаний о воздействии этих веществ кажутся весьма обширными. Психологические эксперименты с играми, в которые играют на деньги, показали, что у человека высокое содержание окситоцина сопутствует доверию к другим, в том числе и к незнакомым людям. Доверие сохраняется, даже если такой человек бывает многократно обманут. Конечно, это самым непосредственным образом используется в коммерческих интересах. Через Интернет предлагают так называемый Liquid Trust [12], окситоциновый спрей, которым нужно опрыскать свою одежду, чтобы вызвать доверие со стороны партнера, клиентов, сотрудников или шефа. Поскольку этим способом в окружающую среду попадают поистине ничтожные дозы, всё это следует рассматривать как чистый обман или, выразимся более деликатно, как плацебо [13].

Помимо всего прочего, возникает вопрос, действительно ли можно имитировать нормальные процессы в мозге, непосредственно применяя окситоцин с помощью назального спрея. Ведь в мозге при определенных условиях в строго определенном месте, очень точно, выделяется строго ограниченное количество окситоцина. Доза окситоцина из назального спрея, попадая в мозг, может вызвать совершенно иной эффект. И это общая проблема лечения болезней мозга. Строго специализированные функции систем мозговых клеток можно заменять приемом внутрь медиаторов с таким же успехом, как заменить вычислительное устройство числами, которые оно само производит.

II.4 Отцовское поведение

Сыну никогда не отблагодарить своих родителей за их полную любви доброту, даже если он сотню лет на правом плече будет носить своего отца, а на левом плече свою мать.

Учение Будды

Мы все знаем немало примеров, когда матерям так и не удается перерезать пуповину, связывающую их с детьми. Где бы в мире ни находились их давно уже повзрослевшие дети, такие матери должны точно знать, что они делают, и постоянно о них заботятся. Но и с вязь ребенка с матерью — это тоже что-то особенное. Раненые солдаты, к какой бы армии они ни принадлежали, взывают на поле боя к матери, не к отцу. У шимпанзе самки заботятся о передаче культурных навыков Я сам довольно долго думал, что роль отца ограничивается оплодотворением, моментом, когда должно быть передано менее половины ДНК для ребенка, — работа, на которую уходят считаные минуты. Потом отец может прятаться от нас за газетой, спокойно возлагая на мать и заботы, и воспитание. И всё же отцам так легко не отделаться. В животном мире мы видим, что отцовское поведение в той или иной степени соответствует материнскому, если не считать вскармливания молоком. Впрочем, есть летучие мыши, у самцов которых также выделяется молоко!

В том, что касается семьи, человек занимает особое место. Человеческое общество строится на семье, и этого не увидишь у таких человекообразных обезьян, как шимпанзе или бонобо. Формирование пары не является чем-то единственным в своем роде: это существует у гиббонов, птиц и прерийных полевок. У них, однако, семьи живут изолированно друг от друга, на собственной территории. В человеческом обществе люди живут семьями, что у других видов отсутствует. Уже два миллиона лет назад у предков человека рождались дети, которые весили вдвое больше, чем детеныши шимпанзе. Разделение забот о тяжелом беспомощном грудном младенце, которого не так просто носить с собой, было очень важно, чтобы добывать достаточно пищи и для матери, и для ребенка. Доминирование мужчины в семье, патриархат, предположительно развился в период, когда наши предки должны были выйти из-под зашиты первобытного леса и перейти к гораздо более уязвимой жизни в саванне. На открытом пространстве защита мужчиной женщины и ребенка была вопросом выживания. Вообще говоря, опиравшиеся на переднюю часть ступни, прямоходящие с наклоном вперед, питающиеся плодами, охотившиеся и употреблявшие орудия предки человека не покидали первобытных лесов, как порой утверждают. Это леса покинули наших предков из-за резких изменений климата. На обширных пространствах леса выродились в сухие саванны. Охрана женщин и детей мужчинами привела к эволюционным преимуществам: люди могли иметь потомство каждые два-три года, тогда как самка шимпанзе, вынужденная одна выхаживать своего детеныша и поэтому дольше кормить его и о нем заботиться, только через шесть лет способна произвести на свет следующего младенца.

Вход
Поиск по сайту
Ищем:
Календарь