Онлайн книга «Коннектом. Как мозг делает нас тем, что мы есть»
|
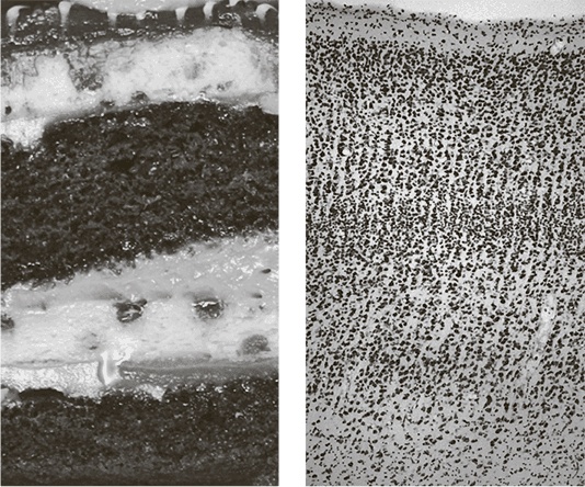
Мы уже выяснили, почему так важно уметь правильно разрезать мозг на отдельные участки. Используя бродмановскую карту, нейробиологи и нейрофизиологи интерпретируют симптомы повреждений мозга. Каждое кортикальное поле связано с одной из умственно-психических способностей (например, со способностью понимать слова или произносить их), и повреждение этой области негативно влияет на эту способность. Но почему важно уметь мысленно делить мозг еще более подробно – по типам нейронов? Достаточно сказать, что такая информация может пригодиться неврологам. Она не так нужна для диагностики и лечения инсульта или других подобных заболеваний, которые обычно затрагивают все нейроны на определенном участке мозга. Но есть мозговые недуги, которые поражают определенные типы нейронов, а другие типы нейронов не трогают. Болезнь Паркинсона (БП) начинается с расстройства контроля движений. Самые заметные симптомы – непрекращающаяся дрожь или непроизвольные подергивания конечностей, когда пациент вовсе не пытается ими шевелить. По мере своего развития недуг может вызывать проблемы в интеллектуальной и эмоциональной сферах и даже приводить к слабоумию. Печальные истории Майкла Фокса и Мохаммеда Али привлекли всеобщее внимание к этому заболеванию [18]. Как и болезнь Альцгеймера, БП приводит к дегенерации и гибели нейронов. На ранних стадиях эти повреждения происходят лишь в базальных ганглиях. Эта замысловатая конструкция укрыта в глубине конечного мозга, она также играет роль в развитии болезни Хантингтона, синдрома Туретта и маниакально-депрессивного психоза. Поскольку эта область причастна к такому большому количеству недугов, можно предположить, что она имеет очень важное значение для функционирования мозга, хотя сама она куда меньше по размерам, чем окружающая ее кора. Рядом с базальными ядрами находится так называемая черная субстанция (substantia nigra pars compacta), на которую и приходится основной удар при нейронной дегенерации в ходе БП. Можно даже выделить конкретный тип поражаемых нейронов. Эти нейроны, выделяющие нейротрансмиттер допамин, в ходе развития БП постепенно гибнут. Пока лекарства от этой болезни не существует, но проявление ее симптомов удается подавить с помощью медикаментов, компенсирующих снижение выработки допамина. Знать о типах нейронов важно не только для лечения болезней, но и для понимания нормальной работы нервной системы. К примеру, пять обширных классов нейронов сетчатки: фоторецепторы, горизонтальные клетки, биполярные клетки, амакриновые клетки и ганглиозные клетки – специализируются на выполнении различных функций. Фоторецепторы воспринимают свет, попадающий на сетчатку, и превращают его в нервные импульсы, покидающие сетчатку по аксонам ганглиозных клеток и затем по зрительному нерву идущие в мозг. Эти пять широких классов затем разделили дальше – на более чем пятьдесят типов. На рис. 38 каждая полоска представляет один класс и содержит изображения типов нейронов, к этому классу принадлежащих. Функции у нейронов сетчатки значительно проще, чем у достопамятного «нейрона Дженнифер Энистон». К примеру, некоторые из них дают пик в ответ на обнаружение светлого пятна на темном фоне, а другие – наоборот, в ответ на обнаружение темного пятна на светлом фоне. Каждый из исследованных на данный момент типов нейронов обладает своей функцией. Ученые стремятся выявить конкретные функции всех нейронных типов. ![]() Рис. 38. Типы нейронов сетчатки В этой главе я постараюсь объяснить, почему разделить мозг по участкам и по типам нейронов не так просто, как кажется. Сейчас мы пользуемся для этого методами, которые изобрели еще Бродман и Кахаль больше века назад, и методы эти представляются всё более старомодными. Коннектомика способна внести еще один важный вклад в науку как таковую – дать ей новые, более совершенные методы виртуального разрезания мозга на отдельные участки. А это, в свою очередь, поможет нам лучше понять те патологические изменения, которые в нем так часто происходят, и лучше разобраться в функционировании нормального мозга. * * * Современная карта обезьяньего мозга (см. рис. 39) навевает мне воспоминания об отцовском атласе. На ее цветных областях значатся таинственные сокращения, а плавные изгибы прерываются острыми углами. Но карты не всегда столь прелестны и невинны. Давайте не забывать, что из-за линий, проведенных на них, не раз сталкивались друг с другом целые армии. Нейроанатомы тоже вели жаркие интеллектуальные битвы за границы между областями мозга. ![]() Рис. 39. Карта коры головного мозга макаки-резус (плоская проекция) Мы уже знакомы с картой коры головного мозга, составленной Корбинианом Бродманом. Каким же образом он ее создал? Окрашивание по методу Гольджи позволило нейроанатомам ясно увидеть отростки нейронов. Бродман применял другой полезный метод окрашивания, изобретенный немецким нейроанатомом Францем Нисслем, который не обращал внимания на отростки, зато сделал видимыми под микроскопом все тела исследуемых нервных клеток. На рис. 40 такое окрашивание показывает кору головного мозга (справа), напоминающую слоеный торт (слева). Тела клеток расположены параллельными слоями, идущими через всю центральную кортикальную плоскость. (Белое пространство между телами клеток заполнено спутанными и переплетающимися нейритами, их окрашивание по методу Ниссля не выделяет.) Границы в коре не так заметны, как в торте, но опытные нейроанатомы могут различить в ней шесть слоев. Этот кусок кортикального торта, шириной меньше миллиметра, вырезан из определенного места кортикального слоя. Вообще-то расположение и количество слоев во фрагментах, взятых из разных мест мозга, различно. Бродман пытался увидеть эти различия под микроскопом и, основываясь на них, мысленно разделил кору головного мозга на сорок три поля (области). Он утверждал, что в каждом участке мозга в пределах одного поля расположение и количество слоев одинаковы и меняются лишь на границах между полями. ![]() Рис. 40. Слои: у торта (слева) и в бродмановском поле 17 (справа), называемом также первичной зрительной корой или зрительной зоной V1 Бродмановская карта коры стала по-своему знаменитой, но ее тоже не следует принимать как незыблемую догму. Существует множество других претендентов на истину. Так, берлинские коллеги Бродмана, супруги Оскар и Сесиль Фогт, применили иной метод окрашивания, разделив кору на целых двести областей. Другие карты предлагали Альфред Кэмпбелл, работавший в Ливерпуле, сэр Грэфтон Смит, трудившийся в Каире, а также венцы Константин фон Экономо и Георг Коскинас. Некоторые границы вскоре оказались признаны всеми исследователями, другие же долгое время вызывали ожесточенные споры. В своей книге 1951 года Персиваль Бейли и Герхардт фон Бонин стерли большинство границ, проведенных предшественниками, оставив на карте лишь несколько крупных областей. |
![Иллюстрация к книге — Коннектом. Как мозг делает нас тем, что мы есть [i_038.jpg] Иллюстрация к книге — Коннектом. Как мозг делает нас тем, что мы есть [i_038.jpg]](img/book_covers/072/72711/i_038.jpg)
![Иллюстрация к книге — Коннектом. Как мозг делает нас тем, что мы есть [i_039.jpg] Иллюстрация к книге — Коннектом. Как мозг делает нас тем, что мы есть [i_039.jpg]](img/book_covers/072/72711/i_039.jpg)
![Иллюстрация к книге — Коннектом. Как мозг делает нас тем, что мы есть [i_040.jpg] Иллюстрация к книге — Коннектом. Как мозг делает нас тем, что мы есть [i_040.jpg]](img/book_covers/072/72711/i_040.jpg)