Книга Мозг. Ваша личная история, страница 35 – Дэйвид Иглмен

Авторы: А Б В Г Д Е Ж З И Й К Л М Н О П Р С Т У Ф Х Ч Ш Ы Э Ю Я
Книги: А Б В Г Д Е Ж З И Й К Л М Н О П Р С Т У Ф Х Ц Ч Ш Щ Ы Э Ю Я
Бесплатная онлайн библиотека LoveRead.in

Онлайн книга «Мозг. Ваша личная история»

📃 Cтраница 35
6. Какими мы станем?

Организм человека – это настоящий шедевр сложности и красоты, симфония сорока миллиардов клеток, работающих сообща. Однако у него есть свои ограничения. Границы нашего восприятия определяются органами чувств, возможности действия – телом. Но что произойдет, если мозг научится воспринимать новые данные и управлять новыми органами, то есть расширит реальность, в которой мы живем? Сегодня наступил переломный момент в человеческой истории, когда соединение биологии и технологии преодолеет ограничения мозга. Мы можем усовершенствовать собственную аппаратную часть, чтобы проложить курс в будущее. Это коренным образом изменит смысл самого понятия «человек».

На протяжении последних 100 000 лет наш биологический вид проделал большой путь: от примитивных охотников и собирателей, борющихся за существование, до покоривших всю планету существ, которые прочно связаны друг с другом и сами определяют свою судьбу. Сегодня мы наслаждаемся земными благами, о которых наши предки не могли и мечтать. У нас есть реки чистой воды, которые по нашему желанию текут в наши красиво украшенные пещеры. Мы владеем устройствами величиной с камень, в которых содержится вся мудрость мира. Мы регулярно поднимаемся выше облаков и можем из космоса окинуть взглядом родную планету. Мы отправляем сообщения на другой край земли за восемьдесят миллисекунд, а информация для космической колонии людей передается со скоростью шестьдесят мегабит в секунду. Сидя за рулем автомобиля по дороге на работу, мы движемся со скоростями, которые превосходят возможности любого биологического вида, даже гепардов. Этими необыкновенными достижениями мы обязаны особым свойствам полутора килограммов вещества, содержащегося внутри нашего черепа.

Какие особенности человеческого мозга сделали возможным этот путь? Раскрыв секрет этих невероятных достижений, мы могли бы сознательно управлять способностями своего мозга, открыть новую главу в истории человечества. Что приготовили для нас следующие тысячелетия? Какой станет человеческая раса в отдаленном будущем?

Гибкое вычислительное устройство

Тайна нашего успеха, а также будущих возможностей состоит в необыкновенной способности мозга меняться, которая получила название пластичности. Как мы видели в главе 2, эта особенность позволяет человеку существовать в самой разной среде и усваивать местные особенности, необходимые для выживания, в том числе язык, требования окружающего мира и культуру.

Пластичность мозга также определяет наше будущее, поскольку открывает дверь к изменению собственного организма. Для начала попробуем осознать необыкновенную гибкость вычислительного устройства под названием мозг.

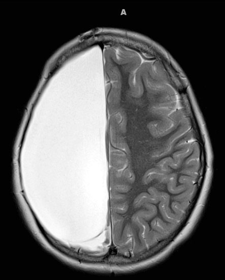
Рассмотрим случай маленькой девочки по имени Кэмерон Мотт. В четырехлетнем возрасте у нее начались сильные судороги. Припадки были агрессивными: Кэмерон внезапно бросалась на пол, требуя, чтобы на нее надели шлем. У нее довольно быстро диагностировали редкое истощающее заболевание, которое называется энцефалитом Расмуссена. Врачи знали, что эта разновидность эпилепсии приводит к параличу и в конечном итоге к смерти, и поэтому предложили рискованное хирургическое вмешательство. В 2007 г. в результате операции, длившейся двенадцать часов, хирурги удалили почти половину мозга девочки.

Каковы же долговременные последствия удаления половины мозга? Они оказались на удивление незначительны. У Кэмерон одна половина тела слабее другой, но в остальном девочка практически не отличается от одноклассников. У нее нет проблем с пониманием речи, музыки, математики и литературы. Она хорошо успевает в школе и занимается спортом.

Иллюстрация к книге — Мозг. Ваша личная история [i_084.jpg]

На изображении мозга Кэмерон белое пространство – отсутствующая половина мозга.


Неужели это возможно? Получается, что половина мозга Кэмерон оказалась просто лишней; вторая половина оперативно перестроилась и взяла на себя утраченные функции, так что вся деятельность сосредоточилась в половине мозга. Выздоровление Кэмерон подчеркивает эту удивительную способность мозга: он перестраивает себя, приспосабливаясь к вводу информации и требуемым действиям, к задачам, которые решаются в настоящий момент.

В этом смысле мозг совсем не похож на аппаратную часть компьютеров. Он «живой». Он перестраивает свои цепи. Мозг взрослого человека менее пластичен, чем мозг ребенка, но по-прежнему сохраняет поразительную способность к адаптации и изменению. Как мы видели в предыдущих главах, каждый раз, когда мы усваиваем что-то новое, будь то карта Лондона или умение строить пирамиду из стаканчиков, мозг меняет себя. Именно это свойство мозга – пластичность – позволяет соединить технологию с биологией.

Подключение периферийных устройств

Человек учится встраивать разнообразные механизмы непосредственно в свое тело. Возможно, вы этого не знаете, но уже сотни тысяч человек имеют искусственный слух и искусственное зрение.

При помощи такого устройства, как имплантат улитки, внешний микрофон оцифровывает звуковой сигнал и передает его прямо в слуховой нерв. Аналогичным образом имплантат сетчатки оцифровывает сигнал от видеокамеры и через электрод передает его в зрительный нерв в задней части глаза. Эти устройства вернули слух и зрение множеству глухих и слепых людей во всем мире.

Поначалу ученые сомневались, сработает ли такой подход. При появлении этих методов многие исследователи были настроены скептически: мозг – очень тонкий и точный механизм, и неизвестно, возможен ли содержательный диалог между металлическими электродами и живыми клетками. Способен ли мозг понять грубые, не биологические сигналы или они поставят его в тупик?

Как оказалось, мозг учится интерпретировать сигналы. Привыкание к имплантатам чем-то похоже на изучение нового языка. Поначалу незнакомые электрические сигналы лишены смысла, но в конечном итоге нейронные сети извлекают закономерности из поступающих данных.

Включай и работай: экстрасенсорное будущее

Пластичность мозга позволяет использовать новые входные сигналы. Какие сенсорные возможности это открывает перед нами?

Мы приходим в мир со стандартным набором основных чувств: слухом, осязанием, зрением, обонянием и вкусом. К ним добавляются и другие, такие как чувство равновесия, способность ощущать вибрации и температуру. Наши органы чувств – это порталы, через которые мы получаем сигналы от окружающей среды.

Однако, как уже было показано в главе 1, эти органы чувств позволяют воспринимать лишь крошечную часть мира, который нас окружает. Все источники информации, для которых отсутствуют датчики, остаются для нас невидимыми.

Я рассматриваю наши сенсорные порталы как устройства типа «включай и работай». Суть в том, что мозг не знает, откуда он получает информацию, – более того, ему это безразлично. Независимо от источника информации мозг определяет, что с ней делать. В данной аналогии мозг играет роль вычислительного устройства общего назначения: он работает с тем, что получает. Идея заключается в том, что Природе требовалось всего один раз изобрести принцип работы мозга, а затем она могла развлекаться, придумывая новые каналы ввода.

Вход
Поиск по сайту
Ищем:
Календарь