Онлайн книга «Правила здоровой и долгой жизни»
|
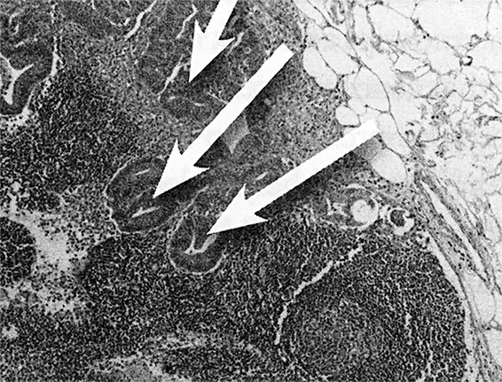
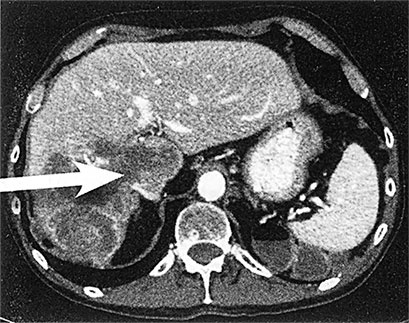
Пролистнем следующие несколько тысячелетий, в течение которых рак продолжал поражать тела молодых и стариков. Одним из проницательных и наблюдательных врачей во времена Античности был римский физиолог, хирург и писатель Гален. Он предложил теорию заболеваний в то время, когда такие дисциплины, как анатомия, патофизиология и фармакология, находились в зачаточном состоянии. Медик II века н. э. Гален внес серьезный вклад в понимание патологии по Гиппократу. Гиппократ, как вы помните из школьного курса биологии, считается отцом медицины и разработчиком многих теорий в области здоровья (Афины, примерно 400 г. до н. э.). Физиологические и философские наблюдения Гиппократа легли в основу современной медицины. Современные медики считают его первым человеком, который поверил в то, что заболевания вызываются естественными причинами, а не воздействием колдовства или высших сил. Более того, он впервые зафиксировал различия между доброкачественными и злокачественными опухолями. Для описания опухолей разных частей тела, перерастающих в язвы, Гиппократ ввел понятие karkinos (греч. «краб»). Не очень понятно, почему раковая опухоль похожа на краба, но образ подошел. Гиппократ видел и описывал опухоли, вокруг которых были пучки воспаленных кровеносных сосудов, что и навело на мысль о крабе, закопавшемся в песок и выставившем конечности наружу. То, что Гиппократ описывал раковую опухоль как «похожую на краба», явно свидетельствует о том, что он не знал о видах рака, которые нельзя увидеть невооруженным взглядом. Чаще всего он видел большие опухоли на поверхности тела или близко к поверхности, такие как опухоли молочных желез, кожи, шеи и языка. Идеи Гиппократа в области здоровья и болезней позволили его последователям, таким как Гален, развивать их и ставить эксперименты. Некоторые эти эксперименты помогли дать точное определение рака. Гален описал его как неуправляемую и безжалостную часть тела. По его мнению, к раку приводил излишек обычной «черной желчи», которую невозможно убрать. Черная желчь поражала все тело, а опухоли отражали силу и упорство этого распространяющегося злокачественного состояния. Попытки вырезать такие опухоли не приведут к успеху, считал античный врач, так как черная желчь не только заполнит рану, но и приведет к развитию еще одной опухоли. У Галена не было изощренных терминов и инструментов вроде современных микроскопов и установок секвенирования генома, но он точно описал системную природу рака и его способности расти, давать метастазы и восстанавливаться. Многие идеи Галена сохранили свою актуальность до Возрождения, а студенты-медики продолжали изучать его труды до XIX века. Потом, когда патофизиологи XIX века направили микроскопы на внедрившиеся клеточные массы, они поняли жестокую шутку, которая и определяет природу рака: это избыток собственных клеток, а не черной желчи. Но эти клетки похожи на черную желчь, так как ведут себя как мятежники, которые рушат границы и грабят остальные клетки. Раковые клетки похожи не только аномальной формой, но и безудержной пролиферацией – бесконтрольным клеточным ростом. Сидхарта Мукерджи красиво описал этот процесс в книге «Король всех недугов», которая описывает место рака в истории человечества. На молекулярном уровне рак появляется после мутации генов конкретной клетки. Мощные генетические сигналы нормальных клеток указывают, когда и как клетке делиться. Некоторые гены активизируют размножение клеток, работая как педаль газа. Другие работают как молекулярные тормоза, останавливая рост. Это объясняет, в частности, почему, например, когда заживает царапина на коже, клетки, задействованные в заживлении, «знают», когда нужно останавливать развитие новых клеток, так чтобы не оставить вас с опухолью из новой кожи. Но в раковой клетке нет этого отточенного баланса между активным ростом и неактивностью. Светофор, который управляет ростом клеток, не работает или слишком часто дает зеленый свет. Клетки, соответственно, остаются без регулирования и не знают, когда прекращать рост. Но такой взгляд на рак на молекулярном уровне не является единственным полезным инструментом в подборе лечения. Для меня рак (рис. 4) выглядит примерно так: ![]() А. Печень человека с метастазами рака толстой кишки ![]() Б. Аксиальная компьютерная томография, показывающая наличие метастазов рака в печени ![]() В. Рак в лимфоузле под микроскопом Вот мы видим А – печень с раком толстой кишки, что правильнее назвать «метастазы рака толстой кишки в печень». Рак переместился, метастазировал, из толстой кишки в печень, что подтверждается белыми образованиями на снимке. Б – томограмма другой печени, пораженной раком толстой кишки («метастазы рака толстой кишки в печень»). Обратите внимание на пять круглых темных образований в левой части изображения. И В – изображение рака толстой кишки в лимфоузле под микроскопом («метастазы рака толстой кишки в лимфоузел»). Пояснение: «рак толстой кишки», который метастазировал в легкие, не будет называться «рак легких». Это все еще рак толстой кишки и выглядит он как рак толстой кишки. Рак – это взаимодействие клетки, лишенной контроля роста, с окружающей средой. Для понимания рака важнее обратить внимание на то, что это не только неконтролируемое деление клеток и их распространение. Важнее другая характеристика – способность изменяться со временем. Хотя люди часто представляют себе рак как сошедшую с ума машину для копирования клеток, не вносящую изменений, в действительности он гибче и динамичнее. Каждый раз, когда появляется новое поколение злокачественных клеток, в них появляются новые мутации – которые еще сильнее меняют гены, отвечающие за рост клетки. Хуже того: в опухоли после химиотерапии могут остаться клетки, резистентные к лекарственным средствам. Другими словами, так же, как после применения антибиотиков появляются резистентные бактерии, противораковые средства могут стимулировать появление резистентных раковых клеток. Но вновь отстранимся от молекулярной точки зрения на рак. Как видно, эволюция влияет на проявления рака, но не на генетику. Да, за злокачественные опухоли отвечают разные гены, но внешний вид получается одинаковым. Да, могут существовать 50 различных молекулярных путей развития того или иного новообразования, например, рака молочной железы, толстой кишки, легких, мозга или простаты, но в итоге результат и способ действия оказываются одинаковыми. Если показать гистологу десять образцов рака молочной железы от разных пациентов, то молекулярная основа во всех случаях будет разной, но под микроскопом все будет выглядеть как рак молочной железы. Аналогично наблюдается удивительное сходство между видом клеток рака молочной железы и клеток рака любого другого органа, потому что у злокачественных клеток много общего во внешнем виде и поведении. Это – важнейший момент в понимании рака. Ученые долго изучали молекулярные дефекты, ведущие к раку, но не сам его вид. Описание от Национального института рака (стр. 49) составляет только часть общей картины. Рак – это не генетическое заболевание. Скорее это болезнь, при которой клетки начинают выглядеть и вести себя определенным способом, используя для этого генные мутации. И если при разработке новых методов лечения будет найден способ блокирования одного молекулярного пути, то это не означает, что рак не найдет другого (что, к сожалению, он обычно успешно проделывает). |
![Иллюстрация к книге — Правила здоровой и долгой жизни [i_007.jpg] Иллюстрация к книге — Правила здоровой и долгой жизни [i_007.jpg]](img/book_covers/071/71379/i_007.jpg)
![Иллюстрация к книге — Правила здоровой и долгой жизни [i_008.jpg] Иллюстрация к книге — Правила здоровой и долгой жизни [i_008.jpg]](img/book_covers/071/71379/i_008.jpg)
![Иллюстрация к книге — Правила здоровой и долгой жизни [i_009.jpg] Иллюстрация к книге — Правила здоровой и долгой жизни [i_009.jpg]](img/book_covers/071/71379/i_009.jpg)