Книга Думай как математик. Как решать любые задачи быстрее и эффективнее, страница 50 – Барбара Оакли

Авторы: А Б В Г Д Е Ж З И Й К Л М Н О П Р С Т У Ф Х Ч Ш Ы Э Ю Я
Книги: А Б В Г Д Е Ж З И Й К Л М Н О П Р С Т У Ф Х Ц Ч Ш Щ Ы Э Ю Я
Бесплатная онлайн библиотека LoveRead.in

Онлайн книга «Думай как математик. Как решать любые задачи быстрее и эффективнее»

📃 Cтраница 50

● Если вам не даются основы изучаемого предмета — не отчаивайтесь. Медленно соображающие студенты, к общему удивлению, часто усваивают фундаментальные знания лучше, чем их более понятливые сокурсники. Когда вы наконец покорите текущий уровень знаний, вам откроется путь к более глубинным уровням.

● Люди склонны не только сотрудничать, но и конкурировать. Всегда найдутся те, кто будет вас критиковать или принижать ваши успехи. Научитесь относиться к таким ситуациям бесстрастно.


ОСТАНОВИТЕСЬ И ВСПОМНИТЕ

Закройте книгу и отведите от нее взгляд. Каковы главные идеи этой главы? Какая из них главная — или все они одинаково важны?

ПРОВЕРЬТЕ СВОИ ЗНАНИЯ

1. Каковы достоинства и недостатки самообразования, предполагающего, что вы не следуете формальной программе или учебному плану?

2. Найдите в Интернете список автодидактов. Кому из них вы хотели бы подражать? Почему?

3. Выберите среди своих знакомых (т.е. не среди знаменитостей) человека, которым вы восхищаетесь, но с которым никогда не говорили. Придумайте, как с ним встретиться и представиться ему, а затем воплотите этот план в жизнь.

Научный обозреватель The NEW York Times Николас Уэйд о независимом уме
Иллюстрация к книге — Думай как математик. Как решать любые задачи быстрее и эффективнее [_51.jpg]

Николас Уэйд пишет статьи в научный раздел газеты The New York Times. Известный своим независимым мышлением журналист говорит, что унаследовал это качество от своего деда — одного из немногих, кто спасся при крушении «Титаника». Когда большинство пассажиров судна поверили в слухи и перешли на левый борт, дед Уэйда прислушался к собственной интуиции и намеренно отошел в противоположную сторону — к правому борту.

Николас рассказывает, какие книги об ученых, занимавшихся естественными науками и математикой, он считает интересными.


«Роберт Канигел “Человек, который познал бесконечность. Жизнь гения Рамануджана” (The Man Who Knew Infinity: A Life of the Genius Ramanujan). Книга о невероятном профессиональном взлете индийского гения-математика Сринивасы Рамануджана и его друга, английского математика Годфри Харди. Мой любимый эпизод — вот этот:

“Однажды Харди ехал на такси из Лондона и запомнил номер автомобиля — 1729. Вероятно, номер на какое-то время занял его мысли, потому что Харди, войдя в комнату Рамануджана, едва поздоровался и сразу разразился негодованием по поводу того, какое это ”скучное” число, и выразил надежду, что оно не послужит дурной приметой.

— Нет, Харди, — ответил Рамануджан. — Это очень интересное число. Наименьшее из чисел, которые можно разными способами представить как сумму двух кубических степеней”.

Наполеон Шэгнен “Благородные дикари”. Прекрасно написанная приключенческая книга посвящена тому, что значит выживать и добиваться успеха в совершенно чуждой культуре. По первой профессии Шэгнен инженер, его научные исследования изрядно повлияли на наши представления о путях развития культур.

Эрик Темпл Белл “Творцы математики”. Старая классическая книга, от которой сложно оторваться тем, кого интересует образ мышления нестандартных людей. Разве можно забыть гениального и обреченного Эвариста Галуа, который в ночь перед неминуемой смертью «лихорадочно набрасывал завещание, пытаясь ухватить остатки отведенного ему времени и записать хотя бы обрывки гениальных идей, роившихся в мозгу в преддверии смерти? Раз за разом он прерывал записи, царапая на полях “Нет времени, нет времени”, и переходил к следующему лихорадочному наброску очередной идеи». Сказать по правде, это одна из очень немногих историй, в которой профессор Белл, возможно, допустил преувеличение, хотя Галуа действительно провел последний вечер перед смертью за окончательной шлифовкой труда всей его жизни. Однако эта блестящая книга дала вдохновение целым поколениям как мужчин, так и женщин».

16
КАК ИЗБЕЖАТЬ ИЗЛИШНЕЙ УВЕРЕННОСТИ
Достоинства работы в команде

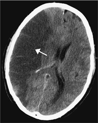
Фреду приходилось туго, у него не двигалась левая рука. Неудивительно, ведь месяц назад он перенес тяжелейший инсульт, пока распевал под душем. Правое полушарие мозга контролирует левую сторону тела, поэтому левая рука Фреда теперь оказалась совершенно безжизненна.

Истинная же сложность была еще серьезнее. Хотя левой рукой Фред двигать не мог, он настойчиво утверждал — и искренне верил, — что рука двигается. Порой он объяснял неподвижность руки крайней усталостью или заявлял, что рука шевельнулась, когда никто не видел. Он даже исподтишка сдвигал левую руку правой, а затем громко объявлял, что рука действует сама по себе.

К счастью, через несколько месяцев левая рука Фреда постепенно восстановила свою функцию. Вместе с врачом Фред смеялся над былыми попытками обманом убедить себя, будто рука двигалась в первые же недели после инсульта, и радостно говорил о возвращении к работе бухгалтера.

Однако по некоторым признакам было ясно, что Фред изменился. Прежний Фред был заботливым и внимательным, новый же — стал догматичным и самоуверенным.

Были и другие перемены. Прежде Фред жить не мог без розыгрышей, а теперь он лишь непонимающе кивал в ответ на чужие шутки. Его умение правильно выбирать объект для инвестиций тоже исчезло, осторожность сменилась наивным оптимизмом и чрезмерной уверенностью.

Хуже того, Фред сделался эмоционально нечувствительным. Он попытался продать автомобиль жены без ее разрешения и был удивлен, когда та расстроилась. Когда умерла старая собака, долго прожившая в семье, он спокойно грыз попкорн и наблюдал за горюющей женой и детьми так, будто смотрел сцену из фильма.

Эти перемены было трудно понять еще и потому, что Фред сохранил разум и даже прежние блестящие способности к счету. Он умел, как и раньше, быстро составлять отчеты о прибылях и убытках и решать сложные алгебраические задачи. Однако при этом наблюдалась интересная аномалия: если Фред ошибался в подсчетах и получалась бессмыслица (например, лоток по торговле хот-догами терпел убыток в миллиард долларов) — он ее не замечал: ви́дение общей картины не подсказывало ему остановиться и заподозрить, что ответ получился абсурдным.

Выяснилось, что Фред был типичной жертвой «расстройства восприятия общей картины в результате поражения правого полушария мозга» [1]. Из-за инсульта отключились большие участки правого полушария — мозг Фреда работал, но только частично, и он лишился возможности смотреть на происходящее со всех точек зрения.

Иллюстрация к книге — Думай как математик. Как решать любые задачи быстрее и эффективнее [_52.jpg]

Стрелка на этом снимке, полученном с помощью метода компьютерной томографии, указывает на затененный участок мозга, поврежденный в результате инсульта правого полушария.

Вход
Поиск по сайту
Ищем:
Календарь