Книга Завтра начинается сегодня. Как воспользоваться достижениями anti-age медицины, страница 15 – Дэвид Агус

Авторы: А Б В Г Д Е Ж З И Й К Л М Н О П Р С Т У Ф Х Ч Ш Ы Э Ю Я
Книги: А Б В Г Д Е Ж З И Й К Л М Н О П Р С Т У Ф Х Ц Ч Ш Щ Ы Э Ю Я
Бесплатная онлайн библиотека LoveRead.in

Онлайн книга «Завтра начинается сегодня. Как воспользоваться достижениями anti-age медицины»

📃 Cтраница 15
Как обмануть смерть и рак

Человеческое тело невероятно живуче. Столкнувшись с болезнью или инфекцией, оно адаптируется, чтобы сохранить жизнь. При большинстве заболеваний тело чувствует себя лучше или хуже в зависимости от того, прогрессирует недуг или находится в ремиссии. Рак – одна из очень немногих болезней, которая бывает агрессивной и может перехитрить даже самое живучее тело. Как с раком ни борись, он становится лишь еще враждебнее, а шансы, что противораковая терапия поможет, становится все меньше. С другой стороны, в детском возрасте рак обычно излечим. Так что где-то есть «тумблер», который отличает слабые виды рака, которых можно победить, от сильных и выносливых, которые рано или поздно убивают человека. В возрасте от 25 до 50 лет люди заболевают раком сравнительно редко. Будущие исследования, скорее всего, установят причины этого и, может быть, найдут новые способы терапии, которые превратят смертоносные раки в слабые, которые можно победить. Или же рак можно будет каким-то образом отправить на «карантин» и сдерживать лекарствами, чтобы он не нанес вреда телу.

В прошлом я не раз критиковал свою отрасль медицины за отсутствие прогресса в области разработки методов лечения, которые могут замедлить развитие рака или вообще его предотвратить. Но сейчас наконец-то появилась надежда – благодаря новым технологиям: секвенированию опухолей и молекулярному таргетированию раковых опухолей препаратами, которые, по сути, отключают «тумблеры», заставляющие клетки идти вразнос. Это позволяет выгадать самое ценное, что у нас есть: время. Для смертельно больного пациента важны даже несколько лишних недель или месяцев – особенно если вот-вот должна появиться новая терапия. Сейчас молекулярное таргетирование используется намного чаще, чем в то время, когда мы применяли его для лечения Стива Джобса, но оно работает не во всех случаях: на данный момент оно помогает примерно 20–30 % больных всеми видами рака. Кроме того, оно может быть очень дорогим, но я предполагаю, что это вскоре изменится: различные экономические силы приведут к снижению цен. Чтобы лучше понять, как работает молекулярное таргетирование, посмотрите на следующий рисунок. Этот конкретный пример предоставила компания Foundation Medicine, занимающаяся секвенированием ДНК опухолей [10].

Вы видите результаты секвенирования опухоли у пациента с раком легких. Такие отчеты я получаю, когда отправляю частицы раковых тканей на исследование и генетическое секвенирование. Не пытайтесь даже понять абракадабру, которую мы используем для обозначения генов. Сосредоточьтесь на результатах: пять геномных мутаций, или изменений в четырех целевых генах, оказались связаны с раком легких у этого пациента.

Иллюстрация к книге — Завтра начинается сегодня. Как воспользоваться достижениями anti-age медицины [i_019.jpg]

Отчет о секвенировании генов опухоли у пациента с продвинутой стадией рака легких.


Образец рака, который используют для секвенирования, берут из так называемого парафинового блока; по сути, это очень тонкий «ломтик» рака, извлеченный из пациента и помещенный в вязкий материал (парафин). Там его хранят после операции; прежде чем отдать на генетическое тестирование, его исследует патологоанатом.

Иллюстрация к книге — Завтра начинается сегодня. Как воспользоваться достижениями anti-age медицины [i_020.jpg]

Группа парафиновых блоков с закрепленными внутри кусочками опухолей.


У каждого больного раком есть такой парафиновый блок – образец опухоли, по которому был установлен первоначальный диагноз. Следующее изображение – снимок биопсии легкого. В данном случае для забора образца опухоли используется игла.

Затем из этого образца изолируется и секвенируется ДНК. Сравнивая ДНК из клеток биопсии со здоровыми клетками пациента, мы узнаем, какие изменения ДНК сделали клетку раковой. Это «тумблеры», которые включили рак. А теперь давайте вернемся к результатам секвенирования.

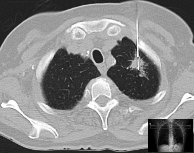
Иллюстрация к книге — Завтра начинается сегодня. Как воспользоваться достижениями anti-age медицины [i_021.jpg]

Компьютерная томография процесса биопсии легкого, проведенного по подозрению на рак легких. Справа – игла, входящая в легочную массу. Небольшое изображение внизу справа показывает, где именно сделан большой снимок (в том месте, где линия пересекает пациента).


Для одной из целей, гена киназы анапластической лимфомы (ALK), существует лекарство, одобренное FDA. Это лекарство просто великолепно помогает, но только тем пациентам, у которых этот ген изменен. Еще одна хорошая новость для секвенированного здесь рака состоит в том, что пациент не только может попробовать, по крайней мере, одну существующую терапию, но и записаться на десять разных клинических испытаний – это возможности попробовать другие лекарства, действие которых на этот тип рака пока проверяется.

Если человек болен, для него важно прожить день, неделю, несколько месяцев. Потому что испытания новых препаратов идут непрерывно, и новое лечение может появиться вот-вот. Например, сейчас молекулярное таргетирование используется намного чаще, чем тогда, когда его применили для лечения Стива Джобса, и на данный момент оно помогает уже 20–30 % больных.

Вы можете узнать все о любых клинических испытаниях, проводящихся сегодня, зайдя на сайт clinicaltrial.gov. Там вы увидите, на какие испытания все еще приглашают новых пациентов и как на них записаться. Клинических испытаний не нужно бояться: они очень важны для поиска новых решений и определения, какие лекарства каким людям помогают – даже если сами они помогают лишь небольшому числу пациентов. Конечно, в будущем мы сможем улучшить качество клинических испытаний, чтобы их результаты имели большее значение для большего числа людей, а также успешность разработки лекарств и новых методов лечения. Не стоит забывать, что клинические испытания новых лекарств или методов лечения и ухода проводятся только после того, как они будут проверены в лаборатории – на клетках и животных-моделях. Самые многообещающие методы, обнаруженные в ранних экспериментах, затем изучают на людях с помощью тщательно контролируемых испытаний, которые следуют строжайшему протоколу в течение нескольких этапов. Для любого клинического испытания существуют так называемые критерии приемлемости, которые строго определяют, кто может в нем участвовать, а кто – нет. Это гарантирует наиболее надежные результаты, потому что участники должны быть похожи друг на друга по ключевым параметрам: возраст, пол, конкретная болезнь, прошлые методы лечения, состояние здоровья. Цели различных этапов испытания, в зависимости от вопросов, на которые мы пытаемся ответить, могут быть следующими: показать, что новый метод лечения безопасен, работает лучше, чем уже имеющиеся, или обладает меньшим количеством побочных эффектов, чем стандартная терапия.

Вход
Поиск по сайту
Ищем:
Календарь