Онлайн книга «Завтра начинается сегодня. Как воспользоваться достижениями anti-age медицины»
|
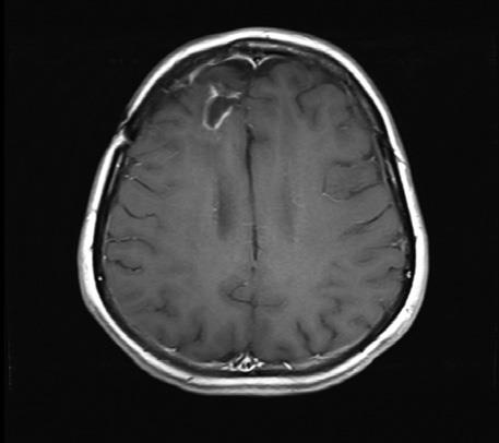
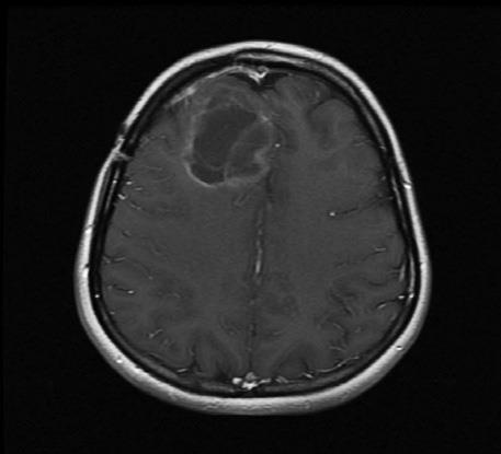
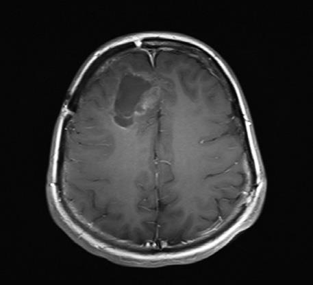
Сейчас проходят и вовсе поразительные клинические испытания. Ученые из Университета Дьюка используют другую иммунную стратегию, модифицируя вирус полиомиелита. Идее борьбы с раком с помощью вирусов больше ста лет, но необходимые для экспериментов технологии и технические новинки появились сравнительно недавно. Последний случай заражения полиомиелитом случился в США в 1979 году. Ученые Университета Дьюка заметили одно интересное свойство вируса: он убивает клетки, попадая в них через «дверь»-рецептор. Как оказалось, рецептор для вируса полиомиелита присутствует на большинстве клеток твердых опухолей – раков легких, груди, мозга, простаты, – а вот на большинстве нормальных клеток отсутствует. Проблема лишь в том, что вирус может прикрепляться еще и к клеткам нервной системы – нейронам. Когда вирус убивает их, это приводит к мышечному параличу. Если удалить болезнетворную часть вируса, заражающую нормальные нейроны, и подменить ее безвредным вирусом простуды, а ту часть, что прикрепляется к раковым клеткам и уничтожает их, оставить, то мы получим безопасный вирус. Вирус впрыскивается прямо в опухоль, заражает несколько раковых клеток и убивает их, в то же время активизируя иммунную систему. Она просыпается: «Эй, это же полиомиелит!» – и вместе с вирусом убивает еще и «ни в чем не повинные» клетки опухоли. Вирус, по сути, помечает опухоль как «чужеродный предмет» и заставляет иммунную систему тела идти в бой. Исследования с вирусом полиомиелита на данный момент ведутся в основном на пациентах с продвинутой стадией глиобластомы – одного из самых смертоносных и агрессивных видов рака мозга, который часто убивает через несколько недель после того, как все стандартные способы лечения перестают работать. Ученым удалось продлить жизнь нескольких пациентов на месяцы и даже годы [9]. ![]() ![]() ![]() Энцефалограммы 20-летнего студента, которого лечат модифицированным вирусом полиомиелита (PVS-RIPO), вводимым через катетер, подсоединенный прямо к опухоли. Слева – опухоль до лечения (затененная область в верхней левой части мозга). В середине – опухоль после двух месяцев лечения (она кажется даже больше из-за воспаления, вызванного иммунным ответом). Справа – опухоль, уменьшившаяся после девяти месяцев лечения. Идея использования собственной иммунной системы для лечения рака, конечно, романтична, но и в ней есть свои опасности. Наша иммунная система, если ей позволить работать на полную мощность, очень сильна. Спускать ее с тормозов, даже в надежде, что она может убить дьявольские, сошедшие с ума клетки, очень рискованно. Некоторые пациенты, попробовавшие иммунотерапию, умерли от тяжелейших осложнений, вызванных неудержимой иммунной системой, которая вместе с раком начала атаковать здоровые, жизненно необходимые ткани и органы. С помощью клинических испытаний ученые надеются преодолеть эту трудность. Иммунотерапия – важное оружие против рака и останется таковым и в дальнейшем, но сейчас она подходит лишь для определенных видов рака и только некоторых пациентов. Главная трудность – заранее определить, кому она подойдет. Кроме того, нужно лучше понять, какое сочетание «checkpoint ингибиторов» или других препаратов лучше всего помогает иммунной системе бороться с раком. На самом деле, чем больше мутирует рак, тем легче с ним бороться с помощью иммунотерапии, потому что его клетки становятся все более «инородными на вид» для организма. Иными словами, чем ненормальнее становится опухоль, тем труднее ей избегать обнаружения со стороны иммунной системы, особенно после того, как лекарственная терапия уже приводит ее в состояние постоянной готовности и оснащает специальными «очками ночного видения». Это явление было недавно описано в выдающейся статье в New England Journal of Medicine командой исследователей из Онкоцентра имени Сидни Киммела в Университете Джонса Хопкинса [10]. ДНК в теле постоянно ремонтируется с помощью инструментов для «репарации ошибочно спаренных нуклеотидов». Эта группа исследователей обратила внимание на гены репарации ошибочно спаренных нуклеотидов, которые кодируют систему, используемую телом для распознавания и ремонта испорченной ДНК, они либо присутствуют, либо нет. Выяснили, что вне зависимости от типа рака опухоли, у которых эта система не работает, с большей вероятностью реагируют на лекарство, блокирующее PD-1 и снимающее с тормозов иммунную систему, чем те, у которых репарация работает нормально. Иными словами, чем хуже клетки опухоли умеют ремонтировать ДНК, тем лучше пациенту помогает лечение. Иммунотерапия, скорее всего, не сможет лечить рак в одиночку: ее будут использовать в сочетании с другими методами, в том числе химиотерапией, радиационной терапией и молекулярно-таргетированными лекарствами. Тем не менее она станет незаменимым инструментом, который будет даже еще сильнее благодаря дополнительному «оружию». Некоторые пациенты, проходившие иммунотерапию, умерли от осложнений, вызванных неудержимой иммунной системой, которая вместе с раком начала атаковать здоровые, жизненно необходимые ткани и органы. Одно из удивительных открытий, связанных с иммунотерапией, состоит в том, что многие люди, которые ее попробовали, говорили, что чувствуют себя лучше, несмотря на то что рак никуда не делся и даже в некоторых случаях рос. Но это проблема моей специальности. Единственный измеримый параметр успеха – уменьшение опухоли. Замедление ее роста, улучшение самочувствия или продление жизни дальше ожидаемого срока в онкологии обычно не считается «успехом». Если вы придете ко мне с 5-сантиметровой раковой опухолью, я пропишу вам лечение, и через несколько месяцев ваша опухоль увеличится до 7 сантиметров, подействовало ли лечение? Может быть, без лечения опухоль была бы уже размером 15 сантиметров? По большей части, пробуя новые лекарства, замедляющие или останавливающие рак, и врачи, и пациенты двигаются на ощупь. В любом рандомизированном клиническом испытании лекарство, возможно, поможет группе пациентов в целом прожить дольше, но очень трудно определить, что оно делает в каждом конкретном случае. Если вы, например, сможете спокойно прожить два года, принимая лекарство X, не все ли вам равно, насколько у вас большая опухоль, если побочные эффекты вполне терпимы, а чувствуете вы себя хорошо? Ни один пациент мне еще не говорил чего-либо вроде «Лучше бы я умер в прошлом году». Даже самые больные пациенты не жалеют, что прожили дольше, чем ожидалось. Они готовы практически на все, чтобы прожить один лишний день, и часто готовы на любые, даже самые абсурдные с виду эксперименты. Проще говоря, они готовы идти на риск вместе со мной в нашей общей доблестной битве. |
![Иллюстрация к книге — Завтра начинается сегодня. Как воспользоваться достижениями anti-age медицины [i_008.jpg] Иллюстрация к книге — Завтра начинается сегодня. Как воспользоваться достижениями anti-age медицины [i_008.jpg]](img/book_covers/063/63384/i_008.jpg)
![Иллюстрация к книге — Завтра начинается сегодня. Как воспользоваться достижениями anti-age медицины [i_009.jpg] Иллюстрация к книге — Завтра начинается сегодня. Как воспользоваться достижениями anti-age медицины [i_009.jpg]](img/book_covers/063/63384/i_009.jpg)
![Иллюстрация к книге — Завтра начинается сегодня. Как воспользоваться достижениями anti-age медицины [i_010.jpg] Иллюстрация к книге — Завтра начинается сегодня. Как воспользоваться достижениями anti-age медицины [i_010.jpg]](img/book_covers/063/63384/i_010.jpg)