Книга Двигатели жизни. Как бактерии сделали наш мир обитаемым, страница 17 – Пол Фальковски

Авторы: А Б В Г Д Е Ж З И Й К Л М Н О П Р С Т У Ф Х Ч Ш Ы Э Ю Я
Книги: А Б В Г Д Е Ж З И Й К Л М Н О П Р С Т У Ф Х Ц Ч Ш Щ Ы Э Ю Я
Бесплатная онлайн библиотека LoveRead.in

Онлайн книга «Двигатели жизни. Как бактерии сделали наш мир обитаемым»

📃 Cтраница 17

Рибосомы – это микроскопические механизмы, которые забирают информацию у последовательности ДНК посредством молекулы-посредника. Такая молекула является зеркальной, или комплементарной, к гену, который представляет собой матрицу белковой последовательности. Комплементарная цепочка РНК называется информационной, или матричной РНК. Информация, содержащаяся в информационной РНК, сообщает рибосоме, какие аминокислоты и в каком именно порядке следует химически прикрепить друг к другу. Получающиеся в результате цепочки аминокислот и становятся теми самыми белками, которые необходимы клеткам, чтобы функционировать, восстанавливать себя и создавать новые клетки.

Поскольку все основные составляющие клеток либо являются белками, либо зависят от белков в своем формировании, можно сказать, что рибосомы – абсолютно необходимые компоненты в каждой клетке. Однако это чрезвычайно сложные механизмы. Их диаметр составляет всего лишь около 20–25 нанометров (нанометр – это 1/1000 доля микрометра, который в свою очередь составляет 1/1000 долю миллиметра), ввиду чего их очень трудно увидеть даже с помощью электронного микроскопа. Перед учеными встала дилемма: как можно исследовать одну из самых основных функций клетки – производство белков, не имея возможности видеть стоящие за этим механизмы? Однако именно здесь подоспели на помощь биохимики и физики.

Биохимики специализируются на описании отдельных компонентов клеток. Их основная методика заключается в том, чтобы вытащить из клетки те или иные части и посмотреть, как они работают. Начинают биохимики обычно с того, что разрушают клетки и разделяют получившийся материал на различные компоненты. Основным инструментом для такого разделения служит центрифуга, которая раскручивает материал на высокой скорости, так что его составляющие разделяются на фракции в соответствии со своей массой: чем тяжелее частица, тем дальше в центрифужной пробирке она окажется. При помощи такой высокоскоростной центрифуги Паладе сумел отделить те самые структуры, похожие на ворсистые шарики, которые он увидел в электронный микроскоп.

Иллюстрация к книге — Двигатели жизни. Как бактерии сделали наш мир обитаемым [i_011.jpg]

Рис. 11. Схема, иллюстрирующая функционирование рибосомы. Этот наномеханизм образует белки при помощи информационной матрицы, изначально закодированной в ДНК и перенесенной при помощи молекулы информационной РНК (иРНК). Молекула иРНК обеспечивает информацию о последовательности аминокислот, необходимой для образования конкретного белка; для каждого белка в клетке имеется собственная иРНК. Рибосома, также содержащая РНК, но образующая более крупную структуру из многих белков, «считывает» информацию с молекулы иРНК и при помощи третьей молекулы РНК с прикрепленной к ней определенной аминокислотой (транспортной РНК, тРНК) выстраивает белки, наращивая их по одной аминокислоте за раз. Белок появляется из рибосомы, чтобы занять надлежащее место внутри клетки


Однако вопрос оставался открытым: как, собственно, функционируют рибосомы? Сумев изолировать рибосомы, Паладе и его коллеги определили, что эти структуры состоят из белков и еще одного типа молекул РНК, отличного от информационной РНК. Вскоре было доказано, что эти крошечные шарики могут образовывать белки прямо в пробирке, если предоставить им необходимые компоненты. Однако даже самые лучшие электронные микроскопы не могли показать, что находится внутри изолированных Паладе рибосом. Для решения этой проблемы требовалось еще более мощное орудие распознавания.

В начале XX столетия, вскоре после открытия радиоактивности, физики обнаружили, что рентгеновские лучи, представляющие собой чрезвычайно высокоэнергетические частицы света, рассеиваются кристаллами строго определенным образом. Рентгеновское излучение гораздо более высокоэнергетичное, нежели электроны, и может отображать совсем крошечные структуры – вплоть до уровня отдельных атомов. Физики и химики сделали множество рентгеновских изображений кристаллов, слегка меняя их ориентацию, благодаря чему смогли определить расположение отдельных атомов внутри кристаллической решетки. Такой же подход впоследствии был применен для описания структуры сепарированных компонентов клетки, и вскоре после Второй мировой войны стало возможным определение расположения атомов в кристаллической решетке белков. Это была чрезвычайно скрупулезная работа: необходимо было получить и наложить друг на друга сотни рентгеновских изображений – все это в отсутствие компьютеров. При помощи обратного вычисления угла рассеяния рентгеновских лучей, прошедших через структуру, физики и химики могли судить о строении молекулы, даже если ее и нельзя было увидеть непосредственно с помощью микроскопа. Постепенно становились доступны компьютеры и рентгеновские источники повышенной мощности – такие, как синхротронные источники излучения, один из которых располагался через улицу напротив моего здания в Брукхэвенской национальной лаборатории, – и ученые описывали структуры все новых и новых белков. Эти описания содержатся в архиве химического факультета моего университета; любой человек, имеющий компьютер, может найти их в Сети.

Иллюстрация к книге — Двигатели жизни. Как бактерии сделали наш мир обитаемым [i_012.jpg]

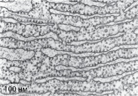
Рис. 12. Электронная микрофотография, показывающая распределение рибосом (маленькие ворсистые шарики) вдоль системы мембран (эндоплазматическая сеть) в эукариотической клетке. На подобном изображении Джордж Паладе впервые идентифицировал рибосомы, чтобы впоследствии их изолировать


Рибосомы не состоят из одного-единственного белка и не сводятся исключительно к белкам; это гораздо более сложные структуры. Самые простые рибосомы, найденные в прокариотах, содержат, помимо молекул РНК, еще около шестидесяти белков, объединенных в две группы. Сначала считалось, что будет необдуманным пытаться кристаллизовать целую рибосому и тем более получить какую-либо полезную информацию об их структуре при помощи рентгеновского излучения. Тем не менее в конце 1980-х годов двум ученым это удалось. Один из них, Гарри Ноллер, был американцем, другая, Ада Йонат, была израильским биохимиком и работала в Германии и Израиле. Работа потребовала от них немало терпения, усердия и вдохновения, однако они смогли получить первые рентгеновские изображения рибосом.

В течение двух последующих десятилетий несколько групп ученых по всему миру занимались анализом структуры этих удивительных наномеханизмов. На основании тщательнейшего исследования множества рентгеновских изображений им удалось собрать по кусочкам информацию о том, как функционируют рибосомы. Этими учеными были: Ноллер из Калифорнийского университета в Санта-Крусе, Йонат из Вейсмановского института, Томас Стейц из Йельского университета и Венкатраман (Венки) Рамакришнан, сначала работавший в Брукхэвенской национальной лаборатории (мой бывший коллега), а затем перешедший в Кембриджский университет. Трое последних в 2009 году за свои усилия были удостоены Нобелевской премии по химии.

Два основных комплекса, составляющих рибосому, взаимодействуют приблизительно так же, как работает пара рычагов. Аминокислоты переносятся к рибосоме третьей молекулой РНК – транспортной РНК. По мере того как информационная РНК скармливается рибосоме наподобие макаронины, два этих белковых комплекса движутся взад и вперед, прикрепляя одну за другой необходимые аминокислоты, чтобы собрать молекулу белка. Таким образом эта белковая фабрика «штампует» информацию, заключенную в генах. Этот замысловатый механизм работает с невероятной скоростью – за секунду к формирующейся белковой цепочке добавляются от десяти до двадцати аминокислот.

Вход
Поиск по сайту
Ищем:
Календарь