Книга Разорви шаблон!, страница 32 – Ричард Уайзмен

Авторы: А Б В Г Д Е Ж З И Й К Л М Н О П Р С Т У Ф Х Ч Ш Ы Э Ю Я
Книги: А Б В Г Д Е Ж З И Й К Л М Н О П Р С Т У Ф Х Ц Ч Ш Щ Ы Э Ю Я
Бесплатная онлайн библиотека LoveRead.in

Онлайн книга «Разорви шаблон!»

📃 Cтраница 32

Несколько недель спустя Леппер со своей командой вернулся в школу, снова раздал детям художественные принадлежности и понаблюдал за тем, как те с ними поступят. Школьники, несколькими неделями ранее получившие медали, проводили за рисованием существенно меньше времени, чем их сверстники из другой группы.

Вывод очевиден. Награждая школьников, курильщиков или водителей, вы вынуждаете их вести себя так, словно на самом деле им не хочется читать книги, бросать курить или пристегиваться ремнями безопасности. В результате, когда поощрений лишают, желаемое поведение чаще всего резко сходит на нет, а в иных случаях человек и вовсе начинает вести себя хуже, чем до того, как ему впервые посулили награду.

В краткосрочной перспективе система поощрений может быть эффективной. Однако в долгосрочном плане все эти подарки, бонусы, конфеты и всякого рода особые привилегии в большинстве случаев не работают и, когда их отменяют, мотивация людей рассеивается, как дым.

Человек с рентгеновским зрением

Установив, что принцип «как если бы» играет ключевую роль в мотивировании, ученые начали выяснять, каким образом данный эффект может подтолкнуть людей к определенным действиям.

В сфере трудовой деятельности некоторые бизнес-тренеры отстаивают важность реконфигурирования работы, чтобы сделать ее более интересной для работников, вселяя в них чувство большей независимости, нужности и радости. В вопросе личной жизни людей некоторые психологи обратили свой взор на ролевые игры. Возьмем для примера выдающееся исследование Леона Манна из Гарвардского университета, посвященное курению.

Манн пригласил в лабораторию двадцать шесть заядлых курильщиков и в произвольном порядке разделил их на две группы108. Членов первой группы попросили сыграть человека, у которого диагностировали рак, после чего он решил бросить курить. Чтобы моделируемая ситуация выглядела максимально реалистичной, Манн создал в университете имитацию врачебного кабинета. Взору испытуемых представал актер, облаченный в белый врачебный халат, в окружении различного медицинского оборудования. Актер играл роль врача и показывал «пациентам» якобы их рентгеновские снимки. Ничего хорошего снимки не предвещали. Согласно результатам вымышленных анализов, у участников опыта был рак легких. Далее испытуемым предлагалось обсудить, как теперь отказаться от курения.

Подопытным из контрольной группы также сообщали шокирующую новость о якобы диагностированном у них раке легких, однако им не приходилось менять свое поведение путем участия в ролевых играх.

Результаты впечатляют. До эксперимента его участники выкуривали приблизительно по двадцать пять сигарет в день. Сразу после завершения опыта члены контрольной группы сократили количество выкуриваемых в день сигарет на пять штук, а те, кого вовлекали в ролевую игру, стали выкуривать в среднем на десять сигарет меньше. Подопытные вели себя так, словно собирались уменьшить число выкуриваемых сигарет, и в их реальном поведении произошли сдвиги. Последующее наблюдение за курильщиками в течение нескольких лет показало, что достигнутый эффект не скоротечен109. Спустя два года после опыта курильщики, принявшие участие в ролевой игре, по-прежнему курили значительно меньше тех, кто находился в контрольной группе.

Обосновав необходимость привнесения смысла в работу и ролевых игр – в личную жизнь, психологи занялись решением других задач и обнаружили: для того чтобы свернуть горы, порой достаточно совсем малого.


Пытаетесь бросить курить? Возможно, вам поможет эмоциональная ролевая игра. Дайте какому-нибудь близкому другу прочитать следующие несколько параграфов о раке, а сами тем временем вырвите страницу с изображением рентгеновского снимка пары легких. Затем попросите друга использовать полученную информацию и снимок в ролевой игре, где он будет выступать в качестве врача и рассказывать вам о вреде курения.

Вы должны постараться как можно сильнее вжиться в роль – задавать «доктору» вопросы и рассказывать, каким образом вы собираетесь бросать курить.

Информация и набросок сценария игры

Легкие располагаются в верхней части грудной клетки. При вдохе они выделяют из воздуха кислород и отправляют его в кровеносную систему, а при выдохе – забирают из крови углекислый газ, который удаляется из организма вместе с выдыхаемым воздухом.

Многие курильщики страдают хроническим обструктивным заболеванием легких, или эмфиземой. Это состояние снижает способность легких поглощать кислород и выводить углекислый газ, затрудняя дыхание и препятствуя поступлению в организм столь необходимого ему кислорода. Эмфизема является одной из основных причин смерти в странах Запада.

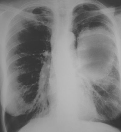
Вдобавок табачный дым содержит ряд токсичных химических веществ, ответственных за развитие рака легких. Чтобы узнать, болен ли пациент раком легких, врачи прибегают к рентгеноскопии. Темные места на рентгеновском снимке показывают участки, где рентгеновские лучи не встретили серьезных преград, тогда как белым цветом отмечены препятствия, например уплотненные ткани или кости.

Позвольте продемонстрировать вам рентгеновский снимок пациента, у которого диагностировали рак левого легкого. Человеку этому было чуть за шестьдесят, и большую часть своей жизни он много курил. Пораженное легкое изобилует рубцовой тканью и раковыми клетками, которые выглядят на снимке как большое белое пятно. Прогноз крайне неблагоприятный. В случаях, когда раковая опухоль легкого превышает в диаметре один дюйм, менее чем пятидесяти процентам пациентов удается прожить пять лет – при том что они получают самые эффективные формы лечения. Этот пациент, скорее всего, умер, не прожив и года.

Иллюстрация к книге — Разорви шаблон! [i_020.jpg]

Как давно вы курите? Испытываете затруднения с дыханием? Вы осознаете, что находитесь на пути к серьезным проблемам со здоровьем? Если вы продолжите курить, очень велика вероятность, что через несколько лет ваши легкие будут выглядеть так же, как на этом снимке. Подумайте, что в таком случае произойдет. Какой эффект это окажет на вашу жизнь и па жизнь ваших близких?

Все это очень плохо. Однако хорошо то, что будущее не предопределено. Плачевной участи можно избежать. Что вы намерены сделать, чтобы в будущем под этим рентгеновским снимком не значилось ваше имя?

2. Почему большое начинается с малого

Представьте, что вы находитесь дома и внезапно слышите стук в дверь. Вы выглядываете через занавеску на улицу и видите на крыльце молодого человека. Выглядит он вполне безобидно, поэтому вы решаете открыть дверь. Парень объясняет, что он волонтер из канадской ассоциации борьбы с раком, и спрашивает, не желаете ли вы сделать пожертвование. Секунду вы колеблетесь, затем даете гостю небольшую сумму денег.

На первый взгляд, все просто и очевидно. В реальности вы, возможно, только что стали частью психологического эксперимента. Такого рода эксперимент в духе «Вы не пожертвуете на благотворительность?» впервые был проведен Патрицией Плайнер из Университета Торонто, которая продемонстрировала, каким образом принцип «как если бы» можно применить, чтобы подтолкнуть человека к действию110.

Вход
Поиск по сайту
Ищем:
Календарь