Онлайн книга «Флипноз. Искусство мгновенного убеждения»
|
Как и в первом варианте, вагонетка вот-вот наедет на пятерых. Но на сей раз вы стоите за спиной очень крупного незнакомца на пешеходном мосту над рельсами. Единственный способ спасти этих пятерых – толкнуть незнакомца. Он, безусловно, погибнет, но его массивное тело заблокирует вагонетку, спасая пять жизней. Вопрос: следует ли вам толкать его? Перед нами то, что можно было бы назвать «истинной» дилеммой. Хотя счет в жизнях тот же, что и в первом сценарии (пять к одному), выбор действия намного каверзнее. Все же, почему именно так? Психолог из Гарварда Джошуа Грин полагает, что у него есть ответ, и он сводится к холодности. Причина, которую предлагает Грин, кроется в структуре мозга – в соответствующих его областях, участвующих в решении каждой дилеммы. В случае 1, предполагает он, происходит то, что можно назвать безличной моральной дилеммой, и вовлекаются области мозга, ответственные, прежде всего, за рассуждение и рациональное мышление: префронтальная кора и задняя теменная кора. Это, если помните, зоны переживания холодной эмпатии. А вот в случае 2 имеет место то, что можно назвать личной моральной дилеммой, и вовлекаются центры эмоций. Мозжечковая миндалина. Цепи горячего сочувствия. Так же, как вы или я, психопаты мало затрудняются с выбором решения в случае 1. Они щелкают переключателем, вагонетка переходит на другой путь, убивая лишь одного человека вместо пяти. Однако – и вот здесь-то и возникает интерес и принципиальное отличие от вас или меня – они столь же мало затрудняются в случае 2. Психопаты без малейшего колебания совершенно счастливы спихнуть толстяка на рельсы, если это то, что доктор прописал. Кроме того, у этой разницы в поведении есть отличный нейронный признак. При решении безлично-моральных дилемм схема мозгового возбуждения и у нас, и у психопатов одинакова, но она совершенно иная, когда дело доходит до лично-моральных дилемм. Предположим, я запихнул вас в аппарат фМРТ, а потом по очереди поставил перед вами эти две дилеммы, сначала одну, затем другую. Какую картину я наблюдал бы, пока вы пытались их решить? А вот какую. Именно в тот момент, когда одна дилемма – безличная – сменялась другой – личной, я увидел бы, как ваша мозжечковая миндалина и связанные с нею мозговые цепи – например, средняя орбитофронтальная кора – сияют, словно рождественская елка. Другими словами, я увидел бы, как вспыхивает эмоция. А вот у психопатов я бы ничего не разглядел. Дом остался бы погруженным в темноту, и переход от безличной дилеммы к личной прошел бы незамеченным. Оценка эмоций
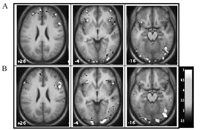
Аналогичную работу по идентификации выражений лица проводили Хизер Гордон и ее сотрудники в Центре когнитивной неврологии, в Дартмутском колледже. В процессе распознавания эмоций (участники которого должны были придавать своему лицу те же выражения, что поочередно появлялись перед ними на экране компьютера) Гордон сравнивала высокие и низкие значения маркеров по Методу исследования психопатической личности (МИЛ) – тесту, как мы уже знаем, разработанному специально для выявления преклинических психопатических черт у населения в целом. Затем с помощью фМРТ она изучала то, что при этом происходило в их мозгу. Обнаруженное ею оказалось весьма необычным и интересным. У тех, кто при тестировании выдал высокие результаты, активность мозжечковой миндалины снижалась по сравнению с теми, чьи результаты были ниже (что вполне согласуется с дефицитом в обработке эмоций по «горячим следам»), зато активность и зрительной, и дорсолатеральной зон префронтальной коры – повышалась. Это, как отмечают Гордон с коллегами, указывает на то, что «участники с высокими результатами, дабы выполнить поставленную перед ними задачу распознавания эмоций, задействовали области, связанные с восприятием и познанием» (рис. 7.1). Но еще интереснее стало, когда Гордон и ее команда, занявшись точностью распознавания… не выявили ничего. В отличие от паттернов активности головного мозга, здесь не нашлось ярко выраженных различий между высокими и низкими значениями маркеров по психопатическим чертам, а это дает веские основания предполагать, что прекрасно срабатывала любая стратегия, какую бы психопаты ни использовали случайно для расшифровки предъявленных им эмоций. ![]() Правая часть дорсолатеральной префронтальной коры Правая часть нижней лобной извилины Зрительная зона Рис. 7.1. Активность в зависимости от уровня оксигенации крови во время распознавания эмоций относительно базового уровня. (A) Участники, показавшие результаты ниже средних на PPL. (B) Участники, показавшие результаты выше средних на PPL. Картинки, представленные в неврологической ориентации: левая часть картинки соответствует левому полушарию мозга (по Гордон и др., 2004) Саймон Барон-Коэн, психолог, профессор Кембриджского университета, пошел дальше. В его тесте «Распознавание эмоций по выражению глаз» («Reading the Mind in the Eyes») требуется рассмотреть фотографии глаз и на основе только этой визуальной информации охарактеризовать психическое состояние человека на фото (см. рис. 7.2). ![]() ![]() ![]() Рис. 7.2. Тест «Распознавание эмоций по выражению глаз» (по Барону-Коэну и др., 2001) Не так легко, как кажется на первый взгляд, верно? Большинство людей крутится в пределах двух из трех (впрочем, я выбрал уж точно не самые простые примеры). Один из трех – и вы успешно справитесь с ним (варианты ответов внизу страницы [53] ). Тест «Распознавание эмоций по выражению глаз», как вы уже, вероятно, поняли, представляет собой прекрасный пример полного отсутствия сопереживания – в противоположность горячему сочувствию, о чем мы только что говорили. Участники, в конце концов, не обязаны испытывать эмоцию, изображенную на картинках. Они должны ее просто распознавать. А вот Барону-Коэну в голову пришла блестящая идея. Он спрашивал себя, как – в сравнении со всеми нами – психопатам удается проходить тест? В свете предыдущих результатов нейровизуализации (томографии головного мозга) можно было бы предположить, что у психопатов результаты должны практически ничем не отличаться от результатов остальных людей. |
![Иллюстрация к книге — Флипноз. Искусство мгновенного убеждения [i_047.jpg] Иллюстрация к книге — Флипноз. Искусство мгновенного убеждения [i_047.jpg]](img/book_covers/047/47978/i_047.jpg)
![Иллюстрация к книге — Флипноз. Искусство мгновенного убеждения [i_048.jpg] Иллюстрация к книге — Флипноз. Искусство мгновенного убеждения [i_048.jpg]](img/book_covers/047/47978/i_048.jpg)
![Иллюстрация к книге — Флипноз. Искусство мгновенного убеждения [i_049.jpg] Иллюстрация к книге — Флипноз. Искусство мгновенного убеждения [i_049.jpg]](img/book_covers/047/47978/i_049.jpg)
![Иллюстрация к книге — Флипноз. Искусство мгновенного убеждения [i_050.jpg] Иллюстрация к книге — Флипноз. Искусство мгновенного убеждения [i_050.jpg]](img/book_covers/047/47978/i_050.jpg)