Книга О чем говорят анализы. Секреты медицинских показателей - для пациентов, страница 22 – Евгений Гринь

Авторы: А Б В Г Д Е Ж З И Й К Л М Н О П Р С Т У Ф Х Ч Ш Ы Э Ю Я
Книги: А Б В Г Д Е Ж З И Й К Л М Н О П Р С Т У Ф Х Ц Ч Ш Щ Ы Э Ю Я
Бесплатная онлайн библиотека LoveRead.in

Онлайн книга «О чем говорят анализы. Секреты медицинских показателей - для пациентов»

📃 Cтраница 22

• Сахарный диабет.

• Нарушение толерантности к глюкозе.

• Нарушенное содержание сахара крови на голодный желудок.

8.2. Показатели лаборатории при других эндокринных заболеваниях

Теперь пришло время разобрать, какие же лабораторные показатели исследуются при таких эндокринных заболеваниях, как:

• Заболевания щитовидной железы.

• Заболевания околощитовидных желез.

• Заболевания гипофиза.

• Заболевания надпочечников.

• Заболевания половых желез.

8.2.1. Что смотрят в анализе при заболеваниях щитовидной железы?

Щитовидная железа, состоящая из двух долей, располагается в области шеи. Уникальностью этой железы является то, что она способна вырабатывать вещества, в которых содержится йод.

Иллюстрация к книге — О чем говорят анализы. Секреты медицинских показателей - для пациентов [i_026.jpg]

Рис. 25. Так выглядит щитовидная железа


Щитовидная железа синтезирует гормоны, которые способны усиливать производство белков и разложение питательных веществ, что сопровождается образованием тепла и энергии. Кроме того, действие гормонов ускоряет обменные процессы. И делают все это тироксин (Т4) и трийодтиронин (Т3), которые, поступая в кровь, надежно связываются со специальными белками плазмы, причем связь с ними больше, нежели трийодтиронина.

Наибольший интерес для лабораторных исследований представляет определение в крови количества различных разновидностей вышеперечисленных гормонов. Так, определяют:

• Общий тироксин.

• Свободный тироксин.

• Общий трийодтиронин.

• Свободный трийодтиронин.

• Обратный трийодтиронин.

В щитовидной железе основным гормоном является тироксин. Его функция заключается в регулировании обмена веществ, энергии процессов образования и разложения белков, жиров, углеводов, а также роста, развития и размножения, кислородного обмена и температуры тела. Образование же тироксина активируется благодаря действию тиреотропного гормона гипофиза, а сам тироксин угнетает его выделение.

Содержание в норме общего тироксина в крови колеблется в пределах от 64 до 150 нмоль/л или от 5 до 10 мкг/100 мл.

Причиной повышения количества данного гормона считается избыточная функция щитовидной железы, наблюдаемая при гипертиреозе и тиреотоксикозе, а также ожирение и беременность.

В случаях снижения количества тироксина говорят о снижении функции щитовидной железы (например, гипотиреоз при микседеме).

Та часть тироксина, которая не связывается с белками плазмы крови, называется свободным тироксином и в норме в крови он содержится в количестве 10–26 пмоль/л или 0,8–2,1 мкг/100 мл.

Причинами повышения свободного тироксина являются:

• Тиреотоксикоз.

• Неправильный чрезмерный прием лекарств, в состав которых входит тироксин.

• Тиреотоксическая аденома щитовидной железы.

Падение же уровня свободного тироксина наблюдается у больных микседемой, а также в третьем триместре беременности.

Из тироксина происходит образование еще одного гормона щитовидной железы, который называется трийодтиронин. Выполняемые этим гормоном функции схожи с функциями тироксина, однако по активности трийодтиронин в 4–5 раз выше. Содержание же в крови у здорового человека общего трийодтиронина составляет 1,2–2,8 нмоль/л или 65-190 нг/100 мл.

Рост количества этого гормона обнаруживается при тиреотоксикозе и беременности, а снижение – при гипотиреозе.

Что касается свободного трийодтиронина, то при норме его концентрация находится в пределах 3,4–8 нмоль/л или 0,25-0,52 нг/100 мл.

Рост концентрации свободного трийодтиронина можно наблюдать при гипертиреозе, снижение – при недостатке функции щитовидной железы, а также при беременности.

Продуктом превращения и деградации тироксина является обратный трийодтиронин и в норме его концентрация находится на уровне 0,39-1,16 нмоль/л или 25–80 нг/л.

Увеличение содержания трийодтиронина обнаруживается при тиреотоксикозе, у новорожденных – при недостаточном питании, при заболеваниях печени и почек, а также в пожилом и старческом возрасте, снижение – при гипотиреозе.

В передней доле гипофиза синтезируется гормон, который способен управлять деятельностью щитовидной железы и называется тиреотропным гормоном или тиреотропином. Кроме того, он вынуждает щитовидную железу выделять гормоны, способные влиять на синтез тиреотропина по принципу обратной связи. При отсутствии в организме тиреотропного гормона возможно развитие атрофии щитовидной железы.

В норме же в крови его можно обнаружить 1–4 мЕд/мл. В гипофизе общее содержание тиреотропина составляет 500-1500 мЕд.

Причинами повышения количества тиреотропина считается гипертиреоз и опухоли гипофиза, снижения – тиреотоксикоз, снижение функции гипофиза и лечение препаратами, содержащими гормоны щитовидной железы.

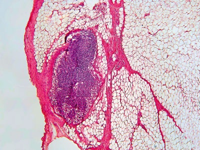
8.2.2. На что обращают внимание в анализах при заболеваниях околощитовидных желез?

При исследовании околощитовидных желез особое внимание обращают на содержание в крови паратгормона, кальция и фосфора.

Иллюстрация к книге — О чем говорят анализы. Секреты медицинских показателей - для пациентов [i_027.jpg]

Рис. 26. Стократное увеличение околощитовидной железы


Так, паратгормон синтезируется в околощитовидных железах и совместно с кальцитонином и витамином D регулирует содержание кальция в организме. Главнаяй же функция этого гормона заключается в обеспечении постоянного количества ионизированного кальция в крови. Осуществляется это путем вымывания кальция из костей, а также путем усиленного всасывания его в кишечнике и почках. Механизм выделения паратгормона и изменения количества кальция работает по принципу обратной связи. Плюс ко всему гормон околощитовидной железы участвует в обмене фосфора и магния.

В крови у здорового человека можно обнаружить 8-76 нг/л.

Что касается причин повышения уровня паратгормона, то наиболее распространены следующие:

• Повышение функции околощитовидной железы (первичный гиперпаратиреоз).

• Вторичный гиперпаратиреоз при хроническом заболевании почек.

• Недостаток витамина D.

• Опухоль, способная производить паратгормон.

• Энтерогенная тетания и тетания беременных.

Вход
Поиск по сайту
Ищем:
Календарь