Книга Остеохондроз для профессионального пациента, страница 67 – Игорь Данилов

Авторы: А Б В Г Д Е Ж З И Й К Л М Н О П Р С Т У Ф Х Ч Ш Ы Э Ю Я
Книги: А Б В Г Д Е Ж З И Й К Л М Н О П Р С Т У Ф Х Ц Ч Ш Щ Ы Э Ю Я
Бесплатная онлайн библиотека LoveRead.in

Онлайн книга «Остеохондроз для профессионального пациента»

📃 Cтраница 67

Безусловно, случай сложный. Но как говорится, возобладал профессиональный интерес. Ведь чем сложнее ситуация, тем больше она требует умения, научно-практического подхода в решении данной проблемы, мобилизации знаний и навыков. Пациентка прошла два курса лечения методом вертеброревитологии. За это время мне удалось не только устранить грыжу межпозвонкового диска, но и выстроить такую функциональную биомеханическую конструкцию позвоночника, при которой были восстановлены нормальные соотношения суставных поверхностей, естественные (нестенозированные) размеры фораминальных отверстий. Столь хороший результат лечения позвоночника не замедлил отразиться и на восстановлении репродуктивной функции данной пациентки. Практически сразу после второго курса лечения методом вертеброревитологии женщине наконец-то удалось забеременеть. Более того, она благополучно выносила ребёнка и родила здорового и крепкого малыша. Контрольные снимки были сделаны через полгода после родов (МРТ № 162 и № 163). Они говорят о том, что выстроенная с помощью метода вертеброревитологии биомеханическая конструкция отлично сохранилась, даже с учётом нагрузок и изменений в организме женщины, связанных с вынашиванием плода. На сегодняшний день самочувствие счастливой мамы и малыша хорошее. Как говорится, и слава Богу!

В своей повседневной практике мне приходится сталкиваться с самыми разными людьми и случаями разнообразных патологий позвоночника. Большой процент составляют пациенты, которые уже пытались лечить свой позвоночник, поражённый дегенеративно-дистрофическим процессом, методами вытяжения, мануальной терапии, укреплением мышечного корсета. Слушая истории их мытарств «по докторам», удивляет, с какой лёгкостью люди добровольно усугубляют состояние своего здоровья, даже не задумываясь о тех негативных последствиях для организма, которые их ожидают в ближайшем будущем. И когда начинаешь объяснять по снимкам МРТ состояние их позвоночника на данный момент после пройденного «лечения» вышеперечисленными методами, то человек, как правило, следуя на поводу у своей неизменной, любимой привычки, начинает винить всех и вся, но только не себя. Но спрашивается, чего махать кулаками после драки? Да и причём тут эти врачи, если детально разобраться? Часть из них, уверен, даже не знает, что происходит со здоровьем пациента через год, через два, потому что не занимается отслеживанием таких отдалённых результатов. Другая часть, даже если и знает, то обещает вполне реальное — устранить боль после лечения. С юридической точки зрения они чисты. Боль после лечения во многих случаях уходит (временно, конечно, но уходит), а за отдалённые последствия вам никто ничего не обещал.

Ну что поделаешь, если общество у нас так устроено, всё в нём шиворот-навыворот, не по-человечески. Но ведь всё в руках людей, в руках каждого человека. Уверен, что ситуацию можно исправить. Если люди начнут хотя бы немного человечнее относиться друг к другу, если в сфере той же медицины пациенты станут грамотнее в вопросах собственного здоровья, так сказать профессиональнее относиться к своим заболеваниям, то и врачи никуда не денутся — им придётся повышать уровень своих знаний и изыскивать индивидуально для каждого пациента наиболее приемлемые методы и способы лечения. Спрос на качество порождает соответствующее предложение. Так что обществу и каждой его ячейке нужны не взаимные обвинения и распри, а консолидация усилий. Только в этом случае можно добиться качественного результата! Надеюсь, что так оно и будет. В противном случае, как свидетельствует история, общество, где господствуют распри, обречено на гибель.

Так что на сегодняшний день пока приходится работать в условиях, когда люди озадачены не общим светлым будущим и благими стремлениями, а своим тёмным настоящим и взаимными обвинениями. Приведу ряд случаев из своей врачебной практики, связанных с последствиями лечения методами вытяжения, мануальной терапии, укрепления мышечного корсета, и, соответственно, возможностями вертеброревитологии по их устранению. Надеюсь, что они дадут рациональную пищу для размышления как пациентам, так и специалистам, практикующим в данной области, и помогут сделать соответствующие прогрессивные выводы, которые приведут к новому витку в развитии науки вертебрологии.

О процессах, которые происходят в позвоночнике при применении метода вытяжения, подробнее рассказывалось, как вы помните, в главе «Тракционные методы лечения — вытяжение». Поэтому я не буду повторяться, а лишь констатирую для примера некоторые случаи из моего медицинского архива, в которых удалось устранить соответствующие последствия (как правило, связанные с грыжами межпозвонковых дисков) после применения данных методов.

Итак, наиболее типичный случай образования грыжи диска, осложнённой секвестром после вытяжения позвоночника.


Иллюстрация к книге — Остеохондроз для профессионального пациента [i_155.jpg]

На МРТ № 164 наблюдается поясничный отдел позвоночника: секвестрированная грыжа межпозвонкового диска в сегменте LIV-LV с разрывом задней продольной связки, абсолютный стеноз спинномозгового канала.

На МРТ № 165 состояние поясничного отдела позвоночника после лечения методом вертеброревитологии: отсутствие грыжи межпозвонкового диска в сегменте LIV-LV, отсутствие стеноза спинномозгового канала, восстановление физиологического лордоза.


Обратите внимание на форму позвоночника и расположение позвонков в данном отделе до лечения (МРТ № 164). Вы увидите явное сглаживание поясничного лордоза, клиновидную форму межпозвонкового диска LIV-LV с расширением кзади (где и образовалась секвестрированная грыжа межпозвонкового диска). Как вы помните, наш позвоночник устроен так, что при его растяжении (вытяжении, висе на турнике и так далее) вначале растягиваются суставы, потом задние отделы межпозвонкового диска, а передние его отделы сближаются. Таким образом, содержимое межпозвонкового диска под давлением устремляется от передних отделов к задним. Напомню, что именно задние отделы фиброзного кольца наиболее слабые и легко уязвимые, поэтому именно в них и образуются протрузия или грыжа межпозвонкового диска. Таким образом, при вытяжении позвоночника получается перерастяжение задних отделов фиброзного кольца, что при наличии грыжи межпозвонкового диска способствует ускорению процесса разрыва фиброзного кольца и увеличению размеров грыжи, вплоть до осложнения секвестром. Эти процессы и наблюдаются на МРТ № 164.


Иллюстрация к книге — Остеохондроз для профессионального пациента [i_156.jpg]

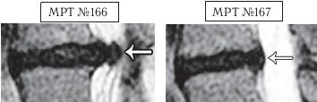
На МРТ № 166 (увеличенный фрагмент МРТ № 164) наблюдается помимо секвестрированной грыжи межпозвонкового диска также и спондилёз, то есть хроническое дегенеративно-дистрофическое заболевание позвоночника (формирование костных выростов по краям тел позвонков), что говорит о длительности заболевания и наличии в прошлом (до лечения вытяжением) протрузии. Эти факты свидетельствуют о прямых противопоказаниях к вытяжению позвоночника.

На МРТ № 167 (увеличенный фрагмент МРТ № 165) наблюдается состояние межпозвонкового диска после лечения методом вертеброревитологии. «Клиновидность» межпозвонкового диска устранена в связи с восстановлением биомеханики позвоночника. Оставшийся спондилёз — костный нарост, образовавшийся вследствие «включения» компенсаторных механизмов над выпятившимся межпозвонковым диском, к сожалению, обратного развития не имеет. Однако это «не мешает жить», поскольку главная причина, спровоцировавшая нарушение функций позвоночника и, соответственно, нестерпимые боли у пациента (секвестрированная грыжа диска, вызвавшая абсолютный стеноз спинномозгового канала), была устранена методом вертеброревитологии.

Вход
Поиск по сайту
Ищем:
Календарь