Онлайн книга «Остеохондроз для профессионального пациента»
|
Рисунок М°24. Зоны возможной локализации грыжи межпозвонкового диска в аксиальной плоскости Классификацию межпозвонковых грыж в сагиттальной плоскости мы рассмотрим ниже. А сейчас предоставляю вашему вниманию несколько наглядных примеров межпозвонковых грыж и их локализацию в аксиальной плоскости (из истории болезней пациентов). Вентральная локализация грыжи межпозвонкового диска как правило клинически ничем характерным не проявляется и определяется случайно (при обследованиях, связанных с другими заболеваниями позвоночника). Однако она не менее опасна, чем дорсальная грыжа межпозвонкового диска, особенно из-за близкого расположения аорты. Дело в том, что по анатомическому расположению брюшная часть аорты начинается на уровне XII грудного позвонка и, проходя по передней поверхности тел поясничных позвонков (немного левее срединной линии), продолжается практически до уровня середины тела IV поясничного позвонка. При вентральной грыже межпозвонкового диска значительных размеров в верхних сегментах поясничного отдела позвоночника могут возникать «конфликты» грыжи с аортой и соответственно спаечные процессы с вовлечением в них последней, что в свою очередь может привести к нарушению кровообращения в области малого таза и нижних конечностей. МРТ № 11 ![]() МРТ № 12
На МРТ № 11 наблюдается парамедианная грыжа межпозвонкового диска, которая как бы обхватывает с двух сторон спинной мозг На МРТ № 12 наблюдается медианная (срединная) грыжа межпозвонкового диска, которая часто протекает безсимптомно и может достигать больших размеров МРТ № 13 ![]() МРТ № 14
На МРТ № 13 наблюдается медиолатеральная грыжа межпозвонкового диска (заднебоковая) На МРТ № 14 наблюдается фораминальная грыжа межпозвонкового диска с локализацией внутрь межпозвонкового отверстия МРТ № 15 ![]() МРТ № 16
На МРТ № 15 наблюдается двухсторонняя экстрафораминальная грыжа межпозвонкового диска (расположенная за межпозвонковыми отверстиями) На МРТ № 16 наблюдается медиолатеральная протрузия и вентральная грыжа межпозвонкового диска
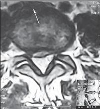
На МРТ № 17 наблюдается вентральная грыжа межпозвонкового диска в сегменте ThXII-LI с выраженными спаечными процессами на этом уровне, с вовлечением в данный процесс брюшной аорты В сагиттальной плоскости (вертикальный срез) грыжи межпозвонковых дисков разделяют на вентральные, дорсальные, краниальные и каудальные. МРТ № 18
На МРТ № 18 наблюдаются грыжи межпозвонковых дисков в сегментах: — LIV-LV вентральной локализации с образованием каудального секвестра; при расположении межпозвонковой грыжи на один сегмент выше, «конфликт» с брюшной аортой был бы неизбежен; — LV-SI — дорсальная грыжа межпозвонкового диска, частично компенсированная спондилёзом МРТ № 19 ![]() МРТ № 20 ![]() На МРТ № 19 наблюдается дорсальная грыжа межпозвонкового диска шейного отдела позвоночника в сегменте СV-СVI с компрессией спинного мозга На МРТ № 20 наблюдается грыжа межпозвонкового диска шейного отдела позвоночника в сегменте CV—CVI и протрузия в сегменте CVI-CVII Замечу, что если грыжа межпозвонкового диска имеет достаточно большой размер и локализована в шейном отделе, то она способна вызвать не только соматические нарушения, но и даже психические расстройства. Причина кроется в сдавлении дурального мешка грыжей межпозвонкового диска (дуральный мешок — это герметичный соединительнотканный мешок, формируемый твёрдой мозговой оболочкой, в котором расположен спинной мозг). Как известно, спинной мозг не имеет болевых рецепторов. Однако вышеуказанная патология приводит к локальному устойчивому возбуждению определённых зон коры головного мозга. На субъективном уровне это может проявляться как постоянное чувство тревоги (так называемый «синдром ожидания»). Грыжи межпозвонковых дисков в грудном отделе позвоночника явление довольно редкое, но всё же наиболее опасное. Опасное потому, что эпидуральное пространство в грудном отделе позвоночника узкое по сравнению с другими отделами, в пределах всего 0,2–0,4 см по всей окружности дурального мешка (твёрдой оболочки спинного мозга). Поэтому даже небольшое грыжевое выпячивание может сдавить спинной мозг и вызвать тяжелейшие осложнения. Но, как уже говорилось, это явление в грудном отделе позвоночника редкое, поскольку высота межпозвонковых дисков довольно мала, всего около 3–5 мм, да и грудной отдел позвоночника менее подвижен по сравнению с другими отделами за счёт жёсткого рёберного каркаса, а значит, менее подвержен травматизации. МРТ № 21
|
![Иллюстрация к книге — Остеохондроз для профессионального пациента [i_043.jpg] Иллюстрация к книге — Остеохондроз для профессионального пациента [i_043.jpg]](img/book_covers/044/44717/i_043.jpg)
![Иллюстрация к книге — Остеохондроз для профессионального пациента [i_044.jpg] Иллюстрация к книге — Остеохондроз для профессионального пациента [i_044.jpg]](img/book_covers/044/44717/i_044.jpg)
![Иллюстрация к книге — Остеохондроз для профессионального пациента [i_045.jpg] Иллюстрация к книге — Остеохондроз для профессионального пациента [i_045.jpg]](img/book_covers/044/44717/i_045.jpg)
![Иллюстрация к книге — Остеохондроз для профессионального пациента [i_046.jpg] Иллюстрация к книге — Остеохондроз для профессионального пациента [i_046.jpg]](img/book_covers/044/44717/i_046.jpg)
![Иллюстрация к книге — Остеохондроз для профессионального пациента [i_047.jpg] Иллюстрация к книге — Остеохондроз для профессионального пациента [i_047.jpg]](img/book_covers/044/44717/i_047.jpg)
![Иллюстрация к книге — Остеохондроз для профессионального пациента [i_048.jpg] Иллюстрация к книге — Остеохондроз для профессионального пациента [i_048.jpg]](img/book_covers/044/44717/i_048.jpg)
![Иллюстрация к книге — Остеохондроз для профессионального пациента [i_049.jpg] Иллюстрация к книге — Остеохондроз для профессионального пациента [i_049.jpg]](img/book_covers/044/44717/i_049.jpg)
![Иллюстрация к книге — Остеохондроз для профессионального пациента [i_050.jpg] Иллюстрация к книге — Остеохондроз для профессионального пациента [i_050.jpg]](img/book_covers/044/44717/i_050.jpg)
![Иллюстрация к книге — Остеохондроз для профессионального пациента [i_051.jpg] Иллюстрация к книге — Остеохондроз для профессионального пациента [i_051.jpg]](img/book_covers/044/44717/i_051.jpg)
![Иллюстрация к книге — Остеохондроз для профессионального пациента [i_052.jpg] Иллюстрация к книге — Остеохондроз для профессионального пациента [i_052.jpg]](img/book_covers/044/44717/i_052.jpg)
![Иллюстрация к книге — Остеохондроз для профессионального пациента [i_053.jpg] Иллюстрация к книге — Остеохондроз для профессионального пациента [i_053.jpg]](img/book_covers/044/44717/i_053.jpg)