Книга Измените свой мозг - изменится и жизнь!, страница 56 – Дэниэл Дж. Амен

Авторы: А Б В Г Д Е Ж З И Й К Л М Н О П Р С Т У Ф Х Ч Ш Ы Э Ю Я
Книги: А Б В Г Д Е Ж З И Й К Л М Н О П Р С Т У Ф Х Ц Ч Ш Щ Ы Э Ю Я
Бесплатная онлайн библиотека LoveRead.in

Онлайн книга «Измените свой мозг - изменится и жизнь!»

📃 Cтраница 56

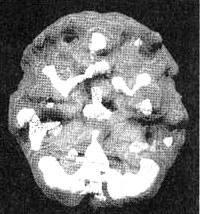
Мозг Роба. Результаты сканирования SPECT

Трехмерное изображение — активный мозг, вид сверху.

Иллюстрация к книге — Измените свой мозг - изменится и жизнь! [i_061.jpg]

До лечения: обратите внимание на выраженное усиление активности в поясной системе (см. стрелку).

Иллюстрация к книге — Измените свой мозг - изменится и жизнь! [i_062.jpg]

После лечение Anafranil. Активность поясной системы нормализовалась.


Трехмерное изображение — активный мозг, вид сбоку.

Иллюстрация к книге — Измените свой мозг - изменится и жизнь! [i_063.jpg]

До лечения: обратите внимание на выраженное усиление активности в поясной системе (см. стрелку).

Иллюстрация к книге — Измените свой мозг - изменится и жизнь! [i_064.jpg]

После лечение Anafranil. Активность поясной системы нормализовалась.


После трех лет неуклонного улучшения состояния на фоне приема Anafranil (оба раза, когда предпринимались попытки снизить дозу, симптомы возвращались), повторное сканирование показало нормализацию функции мозга.

Препараты помогают не всегда. Порой у них бывают побочные эффекты, которые нередко досаждают и даже беспокоят пациентов. Однако серотогенные препараты принадлежат к новейшим и наиболее эффективным средствам борьбы с эмоциональной болью и страданиями. Миллионам людей они помогли вернуться к нормальной жизни.

Кроме того, я убедился в том, что поднимать уровень серотонина и успокаивать поясную систему хорошо помогает лекарственная трава зверобой. Ее действие изучалось наряду с действием целого ряда антидепрессантов. Эта травка оказалась такой же эффективной, как и лекарства, но при этом имела меньше побочных действий. Много лет она использовалась в Германии, где ее прописывают в семь раз чаще, чем Prozac. Обычно зверобой прописывают по 300 мг (содержит 0,3 % гиперицина) три раза в день. Сам я использую в своей практике зверобой на протяжении многих лет и считаю его очень эффективным средством. Вот пример.

Линда

Когда Линда пришла ко мне на прием, ей было 26 лет. Два раза она подвергалась жестокому изнасилованию, ее любовник был садистом, а сама она подростком пережила смерть многих своих друзей. Она страдала от депрессии, тревоги, беспокойства и наркотической зависимости. На первом сканировании SPECT мы обнаружили повышенную активность поясной системы (трудности с переключением внимания), базальных ганглиев (тревога) и лимбической области (депрессии и неконтролируемые настроения). После четырех сеансов с использованием техники десенсибилизации и коррекции переработки информации с помощью движений глазных яблок (EMDR) — специального метода коррекции, применяемого для лечения после травмирующих событий, и одного месяца приема зверобоя (по 900 мг в день), Линда почувствовала себя значительно лучше. Повторное сканирование выявило нормализацию активности во всех.

Мозг Линды. Результаты сканирования SPECT

Трехмерное изображение — активный мозг, вид сбоку.

Иллюстрация к книге — Измените свой мозг - изменится и жизнь! [i_065.jpg]

До лечения: обратите внимание на выраженное усиление активности в поясной системе, в базальных ганглиях и в лимбической системе.

Иллюстрация к книге — Измените свой мозг - изменится и жизнь! [i_066.jpg]

После лечение зверобоем. Активность в поясной системе, в базальных ганглиях и в лимбической системе нормализовалась.


Трехмерное изображение — активный мозг, вид снизу.

Иллюстрация к книге — Измените свой мозг - изменится и жизнь! [i_067.jpg]

До лечения: обратите внимание на выраженное усиление активности в поясной системе, в базальных ганглиях и в лимбической системе.

Иллюстрация к книге — Измените свой мозг - изменится и жизнь! [i_068.jpg]

После лечение зверобоем. Активность в поясной системе, в базальных ганглиях и в лимбической системе нормализовалась.


Несмотря на то что зверобой может быть эффективным он тоже обладает побочным действием. У одного из моих пациентов развилось значительное снижение частоты сердечных сокращений. Другая пациентка, почувствовавшая себя хуже после приема Prozac, чувство вала себя хуже и принимая зверобой. Если у вас серьезные проблемы с настроением и поведением, я советую вам подбирать лечение в тесном взаимодействии с психиатром и обсуждать с ним в том числе и лечение лекарственными травами.

Рекомендация 10:
Попробуйте лечебную диету

Низкий уровень серотонина и повышенная активность поясной системы часто проявляются беспокойством, плохим настроением, эмоциональной ригидностью и раздражительностью. Существует два способа повышения уровня серотонина с помощью диеты. Продукты с высоким содержанием углеводов, такие, как паста, картофель, хлеб, пирожные, соленые крендельки и попкорн, повышают содержание в крови l-триптофана (природной аминокислоты — основного материала для синтеза серотонина), что увеличивает его поступление мозг, где он превращается в серотонин. Успокаивающее действие серотонина часто проявляется в течение получаса после употребления в пищу этих продуктов. Уровень серотонина в тканях мозга можно повышать и употребляя в пищу продукты с высоким содержанием l-триптофана — курицу, индейку, лосося, говядину, арахисовое масло, яйца, зеленый горошек, картофель и молоко. Многие люди, сами того не подозревая, создают себе когнитивную негибкость, употребляя продукты с низким содержанием l-триптофана. Например, диета с высоким содержанием белков и низким содержанием углеводов, которую я рекомендую при состояниях, обусловленных низким уровнем дофамина (при сниженной функции префронтальной коры), часто только усугубляет проблемы, вызванные сниженной функцией поясной системы. Молекула l-триптофана обладает сравнительно небольшими размерами. При употреблении в пищу продуктов с высоким содержанием белков более крупные молекулы других аминокислот легче проникают в мозг, вызывая снижение уровня серотонина и более негативный эмоциональный фон.

Хорошо помогают пищевые добавки с l-триптофан ом. Несколько лет назад l-триптофан отозвали с рынка, так как была обнаружена одна недоброкачественная партия этого вещества, содержавшего какие-то примеси. Несколько человек, употреблявших зараженный l-триптофан, погибли от неизвестной болезни, при которой развивалась ригидность мышц. На самом же деле l-триптофан не имел к гибели этих людей никакого отношения. Это природная аминокислота, которая содержится в молоке, мясе и яйцах. Многим моим пациентам l-триптофан очень помог наладить сон, снизить агрессивность и лучше контролировать настроение. Кроме того, у большинства людей он не вызывает никаких побочных эффектов, и это дает ему огромные преимущества перед другими антидепрессантами. Недавно Администрация США по лекарствам и продуктам питания (FDA) одобрила применение l-триптофана, и он вновь появился в продаже. Я прописываю принимать l-триптофан по 1000–3000 мг перед сном. Недавно были проведены исследования другого препарата из группы витаминов В — инозитола. Он продается в любом магазине товаров для здорового образа жизни. Если принимать его по 12–20 мг в сутки, он помогает при плохом настроении, депрессии и чрезмерной фиксации внимания. Прежде чем вы решите попробовать эти пищевые добавки, посоветуйтесь со своим врачом.

Вход
Поиск по сайту
Ищем:
Календарь