Книга Измените свой мозг - изменится и жизнь!, страница 36 – Дэниэл Дж. Амен

Авторы: А Б В Г Д Е Ж З И Й К Л М Н О П Р С Т У Ф Х Ч Ш Ы Э Ю Я
Книги: А Б В Г Д Е Ж З И Й К Л М Н О П Р С Т У Ф Х Ц Ч Ш Щ Ы Э Ю Я
Бесплатная онлайн библиотека LoveRead.in

Онлайн книга «Измените свой мозг - изменится и жизнь!»

📃 Cтраница 36

Эта же часть мозга отвечает за то, как вы учитесь на собственных ошибках. Хорошая работа ПК не означает, что вы не совершаете просчетов. Однако она поможет вам не совершать одну и ту же ошибку снова и снова. Вы в состоянии учиться на опыте и использовать уроки прошлого. Скажем, студент с хорошей работой ПК в состоянии усвоить, что, приступая к работе по большому проекту как можно раньше, он тем самым обеспечит себе больше времени на исследовательскую работу и у него будет меньше поводов волноваться, что он не успеет сдать ее вовремя. Между тем студент с пониженной функцией ПК не принимает в расчет прошлые волнения и неудачи и будет постоянно откладывать все на последний момент. У тех, кто не способен учиться на прошлых неудачах, как правило, нарушена функция ПК. Они постоянно совершают одни и те же ошибки. Их действия основаны не на полученном опыте, а на том, что им хочется в данный момент.


ПК (в особенности дорсолатеральная зона) также участвует в сохранении устойчивости внимания. Она помогает сосредоточиваться на важной информации и отфильтровывать менее значимые мысли и ощущения. Устойчивое внимание играет важную роль для кратковременной памяти и обучения. При помощи многочисленных связей с другими областями мозга ПК позволяет вам длительное время заниматься одним проектом и не отвлекаться от него вплоть до его окончания. ПК посылает успокаивающие сигналы в лимбическую и сенсорную системы мозга, когда вам надо сосредоточиться, и снижает отвлекающие импульсы, поступающие из других областей мозга. Когда функция ПК снижена, человек начинает легче отвлекаться от основного занятия (об этом мы поговорим подробнее, когда приступим к обсуждению синдрома дефицита внимания).

ПК, и в особенности дорсолатеральная зона, позволяют нам переживать и выражать эмоции; чувствовать себя счастливыми, грустными, ощущать радость и любовь. То, как это происходит в ПК, отличается от более примитивной лимбической системы. Несмотря на то что лимбическая система управляет настроением и половым влечением, ПК может переводить процессы в лимбической системе в узнаваемые чувства, эмоции и слова, такие, как любовь, страсть или ненависть. Сниженная активность или травма в этой области мозга часто приводят к снижению способности выражать мысли и чувства.

ПК оказывает серьезное воздействие на способность размышлять и контролировать импульсивное поведение. Способность продумывать последствия своих действий (выбор партнера, работа с клиентами, общение с трудными детьми, трата денег, вождение по шоссе) имеет решающее значение для полноценной жизни, практически в каждом из ее аспектов. Без нормальной работы ПК сложно действовать продуманно и последовательно, и тогда в нашем поведении решающую роль начинает играть импульсивность.

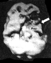
ПК связана многими связями с лимбической системой. Она посылает запрещающие сигналы, которые помогают ей держать лимбическую систему под контролем Она дает возможность «думать головой, а не только эмоциями». Когда в этой области мозга, особенно в ее левой части, отмечается снижение активности или повреждение, ПК уже не в состоянии должным образом влиять на лимбическую систему, а это может вызвать повышенную предрасположенность к депрессии — в том случае, если лимбическая система начинает работать слишком активно. Классической иллюстрацией тому могут стать пациенты, перенесшие кровоизлияние в левую лобную долю мозга. У шестидесяти процентов таких больных в течение первого года после инсульта развивается тяжелая депрессия.

Инсульт в левой фронтальной доле

Иллюстрация к книге — Измените свой мозг - изменится и жизнь! [i_047.jpg]

Трехмерное изображение поверхности, вид сбоку.

Иллюстрация к книге — Измените свой мозг - изменится и жизнь! [i_048.jpg]

Трехмерное изображение, нижняя поверхность.


Обратите внимание на обширную «дыру» активности мозга, расположенную в левой фронтальной доле.


При сканировании ПК такими методами, как, например, SPECT, ученые часто проводят два исследования: одно — на мозге в состоянии покоя и другое — во время упражнения на концентрацию. Оценивая функцию мозга, им важно видеть картину активного мозга. Когда нормальному мозгу предлагают задание, требующее концентрации, — математическую задачу или сортировку карточек — активность ПК возрастает. При некоторых мозговых нарушениях, таких, как шизофрения или синдром дефицита внимания, при необходимости решить интеллектуальную задачу активность ПК снижается.

Проблемы, связанные с нарушением деятельности префронтальной коры:

короткий период концентрации внимания;

отвлекаемость;

недостаток настойчивости;

трудности с контролированием импульсивного поведения;

гиперактивность;

постоянные опоздания, неумение управлять временем;

неорганизованность;

медлительность;

низкая эмоциональность;

ошибочные предположения;

неверные оценки;

неспособность учиться на собственном опыте;

проблемы с кратковременной памятью;

социальная фобия и страх перед испытанием.


Проблемы в дорсолатеральной префронтальной коре часто приводят к снижению способности удерживать внимание, отвлекаемости, нарушениям кратковременной памяти, снижению скорости мышления, апатии и снижению способности к вербализации мыслей.

Проблемы в коре нижней поверхности лобных долей часто влекут за собой плохое управление импульсивностью, трудности в управлении настроением (из-за тесных связей с лимбической системой), снижение способности к общению и контролю над поведением.


Страдающие нарушениями в ПК часто совершают поступки, о которых потом сожалеют. В этом и проявляется их низкая способность управлять собственной импульсивностью. Кроме того, им трудно удерживать внимание, они легко отвлекаются, медлительны, плохо анализируют происходящее и трудно выражают собственные мысли. Ситуации, требующие концентрации, управления собственными импульсами и быстрой реакции, часто представляют трудность для страдающих нарушениями ПК. Проявлениями таких нарушении могут стать социальная фобия и страх перед испытанием, тестами Тесты требуют сосредоточенности и способности искать информацию. Многие испытывают затруднения на экзаменах, так как в условиях стресса они не могут активизировать эту часть мозга, даже если хорошо подготовились. То же относится и к ситуации, когда необходимо выйти в общество, общаться или выступать. Там тоже приходится собираться, контролировать свои импульсы и справляться с неуверенностью. Из-за низкой активности ПК мышление такого человека часто «выключается», скажем, во время разговора, а это, естественно, приводит к неловкой ситуации.

Вход
Поиск по сайту
Ищем:
Календарь