Книга Измените свой мозг - изменится и жизнь!, страница 28 – Дэниэл Дж. Амен

Авторы: А Б В Г Д Е Ж З И Й К Л М Н О П Р С Т У Ф Х Ч Ш Ы Э Ю Я
Книги: А Б В Г Д Е Ж З И Й К Л М Н О П Р С Т У Ф Х Ц Ч Ш Щ Ы Э Ю Я
Бесплатная онлайн библиотека LoveRead.in

Онлайн книга «Измените свой мозг - изменится и жизнь!»

📃 Cтраница 28

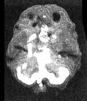
Мозг Билла — мозг влюбленного человека

Иллюстрация к книге — Измените свой мозг - изменится и жизнь! [i_038.jpg]

Трехмерное изображение — активный мозг, вид снизу. Обратите внимание на повышенную активность базальных ганглиев слева и справа (помечено стрелками).

Проблемы, связанные с работой базальных ганглиев:

тревожность, нервозность;

приступы паники;

физическое ощущение тревоги;

склонность к пессимизму, ожидание худшего;

боязнь конфликтов;

синдром Туретта/тики;

мышечное напряжение, мышечные боли;

тремор;

нарушение мелкой моторики;

головные боли;

низкая или чрезмерная мотивация.

Тревожность, нервозность, панические состояния

Повышенная активность базальных ганглиев задает нашему организму, даже в состоянии покоя, повышенные обороты и приводит к возникновению чувства тревоги, нервозности, напряжения и пессимизма. Почти у всех пациентов, проходивших у нас лечение по поводу панических состояний, которым проводилось сканирование мозга, отмечалась повышенная активность базальных ганглиев.


Вот история болезни пациента, страдавшего приступами паники.

Гэри

Гэри пришел ко мне на прием лет восемь назад. Перед этим он сначала пришел к своему лечащему врачу с жалобами на боли в спине. Тот обследовал спину и обнаружил болезненный участок в области почек. Он отправил Гэри на рентген почек. Как только пациент услышал о рентгеновском исследовании, его мысли потекли в заданном направлении: «Доктор хочет проверить, нет ли у меня рака». (Обратите внимания на скачок в его логике.) Но на этом выводе его предположения не прекратились. «У меня обнаружат рак и назначат курс химиотерапии». Через десять секунд он уже «лечился от рака». «Меня начнет выворачивать наизнанку, я облысею, начнутся дикие боли, и я умру». Весь этот путь он проделал в своем сознании за тридцать секунд. И тогда у Гэри случился приступ паники. Его сердце заколотилось с бешеной скоростью. Руки стали ледяными. Он стал делать судорожные вдохи. А затем весь покрылся холодным потом. Повернувшись к врачу, он сказал: «Я не могу идти на рентген!»

Потрясенный доктор переспросил: «В каком смысле? Вы пришли ко мне за помощью. Мне нужен снимок, чтобы я смог…»

Но Гэри ответил: «Нет! Вы не поняли! Я не могу идти на рентген!»

Тогда доктор отыскал мой номер, позвонил мне и попросил: «Дэниэл, пожалуйста, помогите мне с этим пациентом».

Когда Гэри рассказал мне, что случилось на приеме у врача, я понял, что он всю жизнь страдал приступами паники. К тому же Гэри оказался специалистом по худшим из всех возможных прогнозов, что, в свою очередь, приводило к очередному приступу. Когда мы приступили к лечению, я дал Гэри рекомендации для страдающих нарушенной функцией базальных ганглиев, которые привожу в этой книге в главе 6. Я даже съездил с ним на рентгенографию почки, так как это надо было сделать по возможности быстрее. Он вел себя прекрасно: дышал расслабленно и спокойно прошел через эту процедуру. Все было хорошо до того момента, пока в кабинет с озабоченным лицом не вошел рентгенолог и не обратился к нему с вопросом, в каком боку у него были боли. Гэри схватился за грудь и посмотрел на меня так, будто хотел сказать: «Мерзавец! Ты врал! Я умираю!» Я похлопал его по колену и сказал: «Подождите, Гэри. Прежде чем вы умрете, дайте мне взглянуть на снимок» (психиатры имеют медицинское образование). На снимке я увидел, что у Гэри в почке крупный камень, который может причинять чрезвычайно сильную боль. Тем не менее от камня в почке, как правило, не умирают. Чересчур активные базальные ганглии Гэри причинили ему огромные душевные страдания, заставив пережить худший из возможных сценариев.

Тревожность, которую провоцирует нарушение функций базальных ганглиев, может усиливать болевые ощущения. По мере того, как Гэри начинал все сильнее тревожиться по поводу болей, сигналы тревоги заставляли его мышцы напрягаться. По этой же причине сокращалась гладкая мускулатура в мочеточнике, по которому моча проходит из почки в мочевой пузырь. В результате сокращений возрастало давление на камень, и боль усиливалась. Психотерапия в сочетании с препаратом Nardil (ингибитор оксидазы МАО, антидепрессант, помогающий при приступах паники) и разовыми приемами Valium помогли Гэри вести более-менее нормальную жизнь.

В ситуациях, провоцирующих чувство тревоги, некоторые люди с повышенной активностью базальных ганглиев оказываются парализованными страхом и не могут выйти из дома. Такое состояние называется агорафобией — страхом находиться на публике. Среди моих пациентов были люди, просидевшие дома по нескольку лет (одна женщина провела взаперти 40 лет), из опасения, что с ними случится приступ паники.

Марша

Марша — медицинская сестра, которую привез к нам ее муж. Первый приступ паники случился с ней в 36 лет. Она покупала продукты, когда вдруг у нее закружилась голова, ей стало нечем дышать, сердце заколотилось, а саму ее охватило ощущение надвигающейся беды. Она бросила тележку с покупками посреди магазина, убежала в машину и там целый час проплакала. После того раза приступы паники стали повторяться и со временем участились настолько, что она перестала выходить из дома, опасаясь, что на улице с ней случится очередной приступ и ей никто не поможет. Она оставила работу и просила мужа отвозить детей в школу и забирать их из школы. Марша отказывалась пить лекарства, так как когда-то давно у ее матери, которая тоже пыталась бороться с такими же приступами, развилась зависимость от Valium. С Маршей в то время она обращалась довольно жестоко. Марша ни в чем не желала походить на мать. Ей казалось, что она «должна» справиться с этими приступами. Ее муж, видя, что состояние жены продолжает ухудшаться, поехал с ней к семейному психологу. Тот показал ей приемы расслабления и научил отвечать неприятным мыслям. Это не помогло. Марше становилось все хуже, и тогда муж привез ее к нам. Поскольку Марша отказывалась принимать лекарства, я назначил исследование SPECT, чтобы оценить ее состояние и наглядно показать ей, что происходит с ее мозгом. Результаты сканирования выявили повышенную очаговую активность правого базального узла — довольно частое состояние у пациентов, страдающих приступами паники. Любопытно, что у больных судорожным синдромом также наблюдаются очаги повышенной активности мозга. В силу того, что приступ паники сопровождается бурными эмоциональными переживаниями, мы с коллегами пытаемся понять, насколько то, что мы узнали о функциях базальных ганглиев, справедливо для случаев поведенческих судорог.

Мозг Марты — паническое расстройство

Иллюстрация к книге — Измените свой мозг - изменится и жизнь! [i_039.jpg]

Трехмерное изображение — активный мозг, вид снизу. Обратите внимание на повышенную активность базальных ганглиев справа (помечено стрелкой).

Вход
Поиск по сайту
Ищем:
Календарь