Книга Измените свой мозг - изменится и жизнь!, страница 16 – Дэниэл Дж. Амен

Авторы: А Б В Г Д Е Ж З И Й К Л М Н О П Р С Т У Ф Х Ч Ш Ы Э Ю Я
Книги: А Б В Г Д Е Ж З И Й К Л М Н О П Р С Т У Ф Х Ц Ч Ш Щ Ы Э Ю Я
Бесплатная онлайн библиотека LoveRead.in

Онлайн книга «Измените свой мозг - изменится и жизнь!»

📃 Cтраница 16

Когда Ли Анн вновь приехала ко мне, она все еще отказывалась поверить, что с ней «что-то не так», и по-прежнему отказывалась возобновить прием препарата. После того как я назначил ей исследование мозга, чтобы оценить состояние ее глубокой лимбической системы, я показал ей область повышенной активности в этой части мозга. Это стало для нее убедительным доказательством в пользу приема лекарства.

Мозг Ли Анн — депрессия

Иллюстрация к книге — Измените свой мозг - изменится и жизнь! [i_032.jpg]

Трехмерное изображение снизу — активный мозг. Обратите внимание на повышенную активность в лимбической системе.


Этот случай иллюстрирует важный момент: из опыта моего и моих коллег следует, что, если пациент начал принимать лекарственный препарат, это не значит, что ему придется принимать его пожизненно. Однако в отдельных случаях с отдельными препаратами, такими как Prozac, необходимо принимать их в течение определенного минимального периода, прежде чем это назначение можно будет безболезненно отменить. Если пациент, страдающий депрессией, готов принимать препарат на протяжении достаточно долгого времени (в данном случае срок приема составил два года), высока вероятность, что при отмене этого лекарства симптомы болезни не вернутся.

Маниакально-депрессивные расстройства

Сара

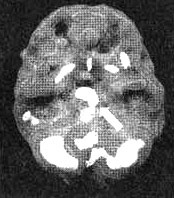
Саре было 53 года, когда ее поместили в наш госпиталь в мое отделение. Месяцем ранее семья поместила ее в другую психиатрическую клинику из-за бредовых идей и странного поведения. Она слышала голоса, доносящиеся до нее из стен, и по этой причине сорвала у себя дома всю электропроводку. В дополнение к этому она почти не спала, была раздражительной, и мысли ее неслись с безумной скоростью. Ее лечащий врач поставил ей диагноз: маниакально-депрессивный синдром (циклическое нарушение эмоционального состояния) и назначил ей литий (антиманиакальный препарат) и Другой препарат для лечения тревожности. Лечение помогло, и ее выписали домой. Однако Сара, как и Ли Анн, не верила, что с ней что-то не в порядке. Она прекратила принимать оба препарата. В этом ее поддержали несколько родственников, открыто заявлявших ей, что она вполне может не принимать таблетки, что доктора назначают их, только чтобы пациенты приходили на прием. Их советы оказались дурными. Через несколько недель после того, как она бросила пить лекарства, странное поведение возобновилось. И тогда ее близкие привели ее к нам в клинику. Когда я впервые увидел Сару, она демонстрировала все симптомы тяжелой паранойи. Пребывая в уверенности, что все только и думают, как бы ей навредить, она постоянно искала способ удрать из больницы. Ее опять одолели бредовые идеи. Она утверждала, что обладает особой силой и что ее хотят этой силы лишить. В какие-то моменты она становилась очень «космической». Пытаясь определить для себя, что же с ней происходит, а ей — показать, что ее проблема хотя бы отчасти имеет биологическую природу, я назначил исследование SPECT.

Провести его оказалось нелегко. Мы пытались провести сканирование три раза. Первые два раза она вырывала из вены иглу, утверждая, что мы хотим ее отравить. В третий раз нам удалось провести обследование, поскольку рядом стояла ее сестра, которая разговаривала с ней на всем протяжении процедуры. Результаты показали повышенную активность в глубокой лимбической системе, но не только. Я обнаружил очаги повышенной активности в левой части мозга и участки выраженного повышения активности по всей коре. Иными словами, в каких-то областях отмечалась повышенная активность, а в других — пониженная. Из своего опыта я знал, что циклические нарушения эмоционального состояния часто сочетаются с очагами повышенной активности в глубокой лимбической системе и с участками повышенной активности по поверхности всего мозга.

Мозг Сары — маниакально-депрессивный синдром

Иллюстрация к книге — Измените свой мозг - изменится и жизнь! [i_033.jpg]

Трехмерное изображение активного мозга — вид сверху. Обратите внимание на участки повышенной активности, разбросанные по всей поверхности коры.


Для близких Сары результаты исследования стали убедительным подтверждением биологической природы ее болезни. Поэтому, когда она вновь отказалась принимать лекарства, они все стали убеждать ее в необходимости пить таблетки. Она прислушалась к их советам, и ее поведение нормализовалось. Как только я понял, что она на самом деле чувствует себя лучше, я показал ей снимки ее мозга. Благодаря им она получила более полное представление о своей проблеме, согласилась приходить к нам повторно и принимать лекарства.

Иногда через несколько месяцев лечения я назначаю своим пациентам повторное сканирование, чтобы посмотреть, как отразился прием препаратов на физиологическом состоянии мозга. Повторное сканирование мозга Сары показало значительное улучшение по сравнению с предыдущим. Тем не менее я все-таки заметил область повышенной активности в левой височной доле. Сара же продолжала жаловаться на странные ощущения большого пространства. Я перевел ее на Depakote, который используется главным образом в качестве противосудорожного препарата, но также используется для лечения маниакально-депрессивных расстройств. Симптомы психического расстройства не вернулись, странные ощущения ушли. Сейчас, пять лет спустя, Сара ведет нормальную жизнь, продолжая принимать Depakote в малых дозах. Случай с Сарой иллюстрирует одну из наиболее существенных клинических проблем, с которой сталкиваются люди, страдающие маниакально-депрессивными состояниями. Это расстройство, как правило, хорошо поддается лечению. Проблема состоит в том, что, как только состояние больных улучшается, они чувствуют себя настолько хорошо, что не могут поверить, что у них когда-то были подобные проблемы. Людям трудно смириться с мыслью, что надо продолжать принимать лекарство даже при хорошем самочувствии. Тем не менее, как мы видим, преждевременная отмена препарата повышает вероятность рецидива. Показывая своим больным снимки, мне удалось снизить количество рецидивов, так как они начинают понимать, что их проблема имеет биологическую природу, а следовательно, и лечить ее, надо соответствующими методами. Прекрасно, когда удается заручиться поддержкой пациента в его собственном лечении. Кроме того, демонстрируя им снимки, мне удается доказать им, что они не виноваты в проявлениях своей болезни.

ПМС

В предыдущей главе я рассказал о Мишель и ее случае ПМС, ярко выраженном и опасном. Все свелось к дисфункции глубокой лимбической системы. В последние годы мы стали часто назначать подобные исследования женщинам с ПМС: сначала в самые трудные для них дни — незадолго до начала цикла, а затем — в самое спокойное время — через неделю после начала. Чаще всего, когда мы имеем дело с ПМС, между двумя снимками существует огромная разница. Когда женщина чувствует себя хорошо, ее глубокая лимбическая система находится в спокойном состоянии. Когда ей плохо, перед началом нового цикла, ее глубокая лимбическая система «раскалена».

Вход
Поиск по сайту
Ищем:
Календарь