Онлайн книга «Многоликий вирус. Тайны скрытых инфекций»
|
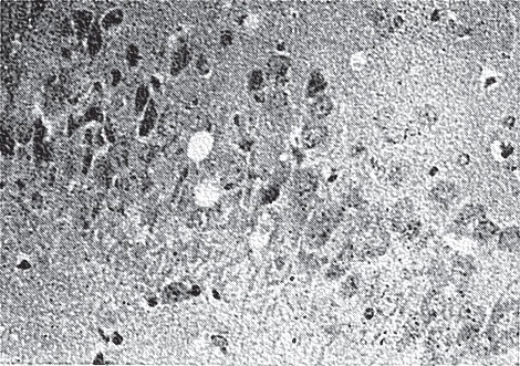
Для проверки этого предположения поставили специальный опыт «перекрестной подсадки»: от самки-вирусоносителя мышат сразу после рождения пересаживали к нормальной, здоровой (контрольной) самке и, наоборот, нормальных мышат (родившихся от контрольной самки) пересаживали к самке-вирусоносителю. Вне зависимости от кормящей матери вирус обнаруживали только в организме мышат, родившихся от самки-вирусоносителя. Следовательно, вертикальная передача вируса гриппа состоялась! Мало того, сотрудники нашей лаборатории М. С. Гордеева и Н. Б. Нефедова установили, что радиоактивно меченный вирус проходит через плаценту в организм плода буквально «как горячий нож сквозь талое сливочное масло». Но самая главная находка ждала нас впереди. Обнаружение у мышат, родившихся от самок-вирусоносителей, повышенных концентраций инфекционного вируса, да еще абсолютно во всех органах, конечно же, обескураживало. Что касается Е. П. Мирчинк, то ее удивление граничило с возмущением (как будто вирус просто не имел права на персистенцию в столь высоких титрах, да еще в столь широких масштабах). Не буду скрывать, полученные результаты смутили и автора этих строк. Во всем этом разобраться нам очень помогли факты, связанные с историей изучения вируса лимфоцитарного хориоменингита, с которыми мы с вами недавно познакомились (помните «призрачное благополучие»?). Наши мышата после рождения тоже выглядели внешне здоровыми и подвижными. Это благополучие настораживало (не было ли и оно призрачным?). Именно поэтому я попросил Е. П. Мирчинк отсадить таких мышат и понаблюдать за ними подольше. Отсаженные зверьки долгое время не вызывали сомнений в состоянии их здоровья. Но вот миновало три недели, и у некоторых из них начали появляться признаки… отставания в росте и массе тела, становившиеся все заметнее. Так, их братья и сестры (они называются сибсы) спустя два месяца весили по 15–16 граммов, а отстающие в росте едва тянули на 5. К признакам отставания в массе тела и росте присоединялись симптомы нарушения координации движений, походки. Появлялись признаки так называемой «утиной» походки. Такие животные отличались выраженным истощением и между вторым и третьим месяцами жизни погибали (рис. 16). ![]() Рис. 16. Шестинедельные мышата, родившиеся от самки-вирусоносителя (порода SHK). «Карлик» втрое отстает по массе от сибсов Опыты по вертикальной передаче персистирующего вируса гриппа повторили на мышах другой породы – с черной окраской шерсти. Были получены аналогичные результаты, эти мыши также не доживали до 3-месячного возраста (рис. 17). При этом иногда мышата, рожденные от черных самок-вирусоносителей, отличались неожиданным дефектом – кожа шеи, спины и верхней части лапок была лишена волосяного покрова. Таких мышат условно называли «голые». Условно потому, что вскоре некоторые из таких мышат начинали зарастать шерстью, и в последующем их уже нельзя было отличить от обычных животных. Те же из «голых» мышат, которые обнаруживали признаки отставания в массе тела и росте, нарушения походки и координации движений, шерстью не зарастали и погибали, не дожив до трех месяцев. ![]() Рис. 17. Четырех недельные мышата, родившиеся от зараженной самки (справа). «Карлики» (показаны стрелками) в два с половиной раза отстают по массе от сибсов Естественно, возникал вопрос: если вертикальная передача вируса гриппа легко осуществляется от самок-вирусоносителей и в результате этого у их потомства может развиваться медленно прогрессирующее заболевание со смертельным исходом, то возможно ли развитие такого же заболевания у мышат, родившихся от самок, заражаемых вирусом гриппа во время беременности? Нам всем необходимо было получить ответ на этот вопрос еще и потому, что все сотрудники нашей лаборатории, да и визитеры из других дивились картине, которую может вызывать вирус гриппа в организме мышей, зараженных в утробе матери-вирусоносительницы: то рождаются «карлики» (так Е. П. Мирчинк окрестила отстающих в росте мышат), то «голые». Уж больно хороши были результаты, чтобы в них сразу поверить. Исследовательница заражает нескольких белых и черных самок мышей вирусом гриппа во время беременности. Ждем… Родилось потомство. Посмотрите на него сами (рис. 18)! ![]() Рис. 18. Восьми недельные мышата («голые карлики»), родившиеся от самки, зараженной вирусом гриппа на третьем триместре беременности Итак, теперь можно немного успокоиться – все-таки и «голые» и «карлики» рождаются под воздействием вируса гриппа. А почему они становятся такими? Что происходит у них в организме? На этот вопрос первой дала ответ А. М. Харитонова – опытный патоморфолог нашей лаборатории. А у мышат в организме происходили поистине удивительные вещи. Прежде всего поражало, что в зараженном (хотя и внутриутробно, но все же зараженном!) вирусом гриппа организме «карликов» полностью отсутствовали признаки воспаления (а ведь где вирус гриппа – там всегда воспаление!). Зато были ярко выражены признаки дегенерации. Они наблюдались всюду – в иммунных органах, в половых железах, в эндокринной системе, а самое главное – в центральной нервной системе, где, кроме разрушения нервных клеток, А. М. Харитонова обнаружила и спонгиоз. Да, тот самый спонгиоз – губкообразное состояние, которое оказалось столь характерным для куру, болезни Крейтцфельдта – Якоба, скрепи, трансмиссивной энцефалопатии норок, трансмиссивной энцефалопатии крупного рогатого скота и всех, всех прионных болезней человека и животных (рис. 19). При обследовании мышей – «голых» и «карликов» – оказалось, что практически во всех внутренних органах у них отсутствует воспалительная реакция, но развивается дегенеративный процесс (рис. 20). ![]() Рис. 19. Губкообразные изменения (спонгиоз) в мозге мышат, родившихся от зараженной самки. Видны пустоты в мозговом веществе ![]() Рис. 20. Яичники мыши: А – здоровой, видна яйцеклетка; Б – родившейся от самки – носителя вируса гриппа; гибель яйцеклетки в граафовом фолликуле. Микрофотография, увеличение в 180 раз Так вот, спонгиоз у «карликов» также обнаруживался в коре и в белом веществе головного мозга, что, к нашей великой радости, было подтверждено ведущим патоморфологом страны, директором Научно-исследовательского института морфологии человека РАМН академиком А. П. Авцыным. Просмотрев в течение трех с половиной часов наши стекла с гистологическими срезами различных органов мышат-«карликов», академик оторвался от микроскопа, обвел нас внимательным взглядом и после короткой паузы выдохнул: «А теперь приговор!.. Молодцы, ребята, вы открыли новую болезнь!» |
![Иллюстрация к книге — Многоликий вирус. Тайны скрытых инфекций [i_032.jpg] Иллюстрация к книге — Многоликий вирус. Тайны скрытых инфекций [i_032.jpg]](img/book_covers/044/44537/i_032.jpg)
![Иллюстрация к книге — Многоликий вирус. Тайны скрытых инфекций [i_033.jpg] Иллюстрация к книге — Многоликий вирус. Тайны скрытых инфекций [i_033.jpg]](img/book_covers/044/44537/i_033.jpg)
![Иллюстрация к книге — Многоликий вирус. Тайны скрытых инфекций [i_034.jpg] Иллюстрация к книге — Многоликий вирус. Тайны скрытых инфекций [i_034.jpg]](img/book_covers/044/44537/i_034.jpg)
![Иллюстрация к книге — Многоликий вирус. Тайны скрытых инфекций [i_035.jpg] Иллюстрация к книге — Многоликий вирус. Тайны скрытых инфекций [i_035.jpg]](img/book_covers/044/44537/i_035.jpg)
![Иллюстрация к книге — Многоликий вирус. Тайны скрытых инфекций [i_036.jpg] Иллюстрация к книге — Многоликий вирус. Тайны скрытых инфекций [i_036.jpg]](img/book_covers/044/44537/i_036.jpg)