Книга Многоликий вирус. Тайны скрытых инфекций, страница 24 – Виктор Зуев

Авторы: А Б В Г Д Е Ж З И Й К Л М Н О П Р С Т У Ф Х Ч Ш Ы Э Ю Я
Книги: А Б В Г Д Е Ж З И Й К Л М Н О П Р С Т У Ф Х Ц Ч Ш Щ Ы Э Ю Я
Бесплатная онлайн библиотека LoveRead.in

Онлайн книга «Многоликий вирус. Тайны скрытых инфекций»

📃 Cтраница 24

Причина, как считают американские исследователи, может заключаться в том, что заболевшие куру люди когда-то в прошлом проглотили с пищей очень маленькие дозы возбудителя (ведь и в опыте не заболела именно та обезьяна, которая получила меньшее его количество). Для накопления в организме заразившихся людей критических количеств возбудителя, способных вызвать первые признаки заболевания, понадобились не годы, а десятилетия.

Для полного представления о причинах этого заболевания необходимо учитывать и роль генетических факторов: недуг поражает только представителей народности форе; порой заболевали более 30 человек на каждую тысячу. К этому следует добавить случаи куру у представителей форе, покинувших свои родные места. Все эти наблюдения заставляют признать существование выраженной предрасположенности к куру у туземцев именно Восточного нагорья Новой Гвинеи.

В результате многолетних наблюдений теперь уже твердо установлено, что искоренение ритуального людоедства среди народности форе, за редким исключением, привело к исчезновению случаев куру к 1967 году среди детей моложе 10 лет, к 1972 – моложе 15 лет, к 1977 году – уже среди взрослых моложе 20 лет, к 1982 – моложе 25 лет, к 1987 – моложе 30 лет, к 1997 – моложе 40 лет, к 2007 году – моложе 50 лет и к 2012 году, т. е. на сегодняшний день, можно рассчитывать на полное отсутствие случаев даже с необычно продолжительным инкубационным периодом.

Учитывая подобную тенденцию, а также тот факт, что возбудитель куру не передается от беременных женщин плодам – больные куру матери рожают здоровых детей, – есть все основания считать, что исчезновение заболевания будет окончательным.

История третья: Виновник всех зол, или Скрепи

Среди заболеваний, которые изучал Б. Сигурдсон, одно – скрепи – представляло собой смертельное поражение мозга у овец и коз. У больных животных появляются признаки сильного раздражения кожи, они трутся об изгороди, деревья, столбы и другие неподвижные предметы (отсюда и название болезни: английское scrape означает «скоблить», «скрестись»). Невыносимый зуд приводит к тому, что животные начинают кусать друг друга и при этом даже скусывают участки кожи, они находятся в состоянии сильного возбуждения, например, начинают дрожать при приближении к ним. Наконец, еще одним характерным признаком заболевания служит нарушение координации движений, что выражается поначалу в появлении спотыкающейся походки, а несколько позже больное животное уже не может стоять.

Все эти проявления создают весьма типичную картину, облегчающую постановку диагноза. Заболевание развивается медленно, продолжается от нескольких месяцев до нескольких лет и всегда заканчивается гибелью животного.

Это заболевание было известно в Англии еще с 1732 года, а в 1755-м оно оказывается уже столь широко распространенным, что становится предметом петиции, поданной в британский парламент фермерами-овцеводами графства Линкольншир.

Получение точных сведений о скрепи долгое время затруднялось из-за того, что информация нередко умышленно скрывалась по коммерческим соображениям. Тем временем болезнь все более распространяется с племенными овцами и получает в различных странах мира свои названия. Для скрепи известны по крайней мере 34 наименования. Только в Англии заболевание называли «вертячка», «почесуха», «трясучка» и даже «рахит». Существовали и другие названия, в которых так или иначе отражалось характерное для заболевания стремление животных тереться обо что-то и чесаться. (Интересно, что одно из названий скрепи было французское – la tremblante. А ведь trembler в переводе с французского означает «дрожать». Вспомните куру!)

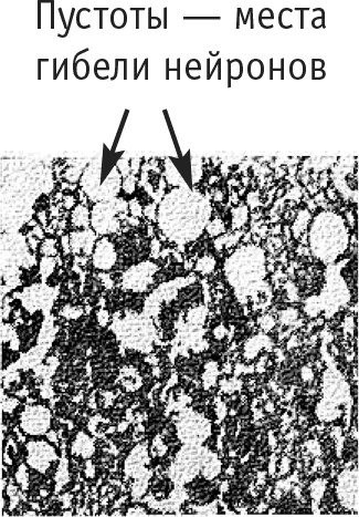
Несмотря на широкое распространение, 80 лет назад скрепи еще рассматривали как чисто сельскохозяйственную проблему. Природа болезни оставалась неизвестной, хотя более 100 лет назад уже предпринимались первые попытки продемонстрировать заразительность и передачу этого заболевания: в 1899 году мозговой тканью от больного скрепи животного была искусственно заражена здоровая овца, а в 1936 году французские исследователи Ж. Кюи и П. Шелле доказали, что возбудитель скрепи способен проходить через бактериальные фильтры и такой фильтрующийся агент вызываету здоровых овец развитие первых признаков заболевания лишь спустя много лет (иногда до 5 лет). Так впервые была установлена продолжительность инкубационного периода при этой медленной инфекции. Как и при куру, при скрепи поражения обнаруживаются только в головном мозге. И опять мозговая ткань напоминает губку. Вот почему и скрепи была отнесена к группе так называемых губкообразных энцефалопатий (рис. 8).

Иллюстрация к книге — Многоликий вирус. Тайны скрытых инфекций [i_018.jpg]

Рис. 8. Губкообразные изменения в мозге мыши, зараженной скрепи


Легко понять, в каких непростых условиях в течение многих лет проводились исследования скрепи в связи с необходимостью использовать для этих целей таких крупных животных, как овцы. И не удивительно, что успешное перенесение опытов на мышей в 1961 году оказалось переломным моментом в истории изучения заболевания. Благодаря дешевизне новых лабораторных животных появилась реальная возможность резко увеличить объемы исследований и их интенсивность. А главное, работа с мышами позволяла приступить к проведению разнообразных количественных определений. И еще одно важное обстоятельство: у зараженных мышей заболевание развивалось спустя всего лишь 4–5 месяцев!

Что же происходит с возбудителем в организме зараженных мышей? Когда и где можно (если можно) обнаружить инфекционный агент? Оказалось, что после подкожного заражения мышей возбудитель скрепи в течение недели находится в селезенке, затем не обнаруживается ни в одном органе, спустя месяц вновь появляется в селезенке и лимфатических узлах, еще через 2 месяца – в спинном мозге, а еще через месяц – и в головном. Но при этом во всех органах животного, исключая, конечно, головной мозг, не было ни малейших признаков каких-либо патологических изменений, а возбудитель в них находился в концентрации, равной 10 000 000(!) смертельных доз в 1 грамме ткани.

Стало быть, персистенция возбудителя в органах? Итак, скрепи – инфекционное заболевание. Это доказано давно и неопровержимо сначала опытами по передаче агента овцам, а затем и многим другим видам животных. Твердо установлено, что возбудитель проходит через бактериальные фильтры; не размножается на искусственных питательных средах (на которых размножаются бактерии); вместе с тем способен к длительной персистенции в культурах клеток, приготовленных из мозга зараженных животных; наконец, доказана скрытая персистенция его в организме в тканях (исключая мозговую).

Все это вместе взятое, казалось, недвусмысленно обосновывало вирусную природу возбудителя скрепи. Оставалось только произвести ряд уточняющих определений, например установить размеры вирусных частиц, их устойчивость к физическим воздействиям и химическим веществам; посмотреть, как выглядят частицы этого вируса под электронным микроскопом. Однако…

Вход
Поиск по сайту
Ищем:
Календарь