Книга Нетленный прах, страница 14 – Хуан Габриэль Васкес

Авторы: А Б В Г Д Е Ж З И Й К Л М Н О П Р С Т У Ф Х Ч Ш Ы Э Ю Я
Книги: А Б В Г Д Е Ж З И Й К Л М Н О П Р С Т У Ф Х Ц Ч Ш Щ Ы Э Ю Я
Бесплатная онлайн библиотека LoveRead.in

Онлайн книга «Нетленный прах»

📃 Cтраница 14

Я все еще предавался этим мучительным думам, когда в дверь постучали.

Отворив, я увидел перед собой сгорбленную и осунувшуюся версию доктора Бенавидеса, которого недавние происшествия изнурили и довели до изнеможения. Он держал поднос с двумя чашками и термосом – все было цвета фуксии, – какой берут с собой бегуны на длинные дистанции, с той лишь разницей, что в этом оказалась не вода и не энергетический напиток, а крепкий черный кофе. «Я – нет, спасибо», – сказал я, а он ответил: «Вы – да. Пожалуйста». И налил мне чашку. «Ах, Васкес, – продолжил он, – в какую передрягу я влип сегодня по вашей милости».

– Да уж, – сказал я. – Прошу у вас прощения, Франсиско. Сам не знаю, что на меня нашло.

– Не знаете? А я вот знаю. Это случилось бы с каждым, кто оказался бы на вашем месте. Еще я знаю, что Карбальо сам напросился. Но это вовсе не значит, будто я не вляпался. – Он отошел в угол кабинета и нажал кнопку на каком-то устройстве с решеткой впереди: температура в комнате опустилась на несколько градусов, и у меня возникло ощущение, что воздух уже не такой влажный. – Вы, друг мой, сорвали званый ужин. Испортили праздник мне и моей жене.

– Давайте, я спущусь к гостям, – предложил я. – Извинюсь перед ними.

– Не беспокойтесь. Все уже разошлись.

– И Карбальо тоже?

– И Карбальо тоже, – сказал Бенавидес. – В клинику поехал. Нос починять.

Он подошел к письменному столу, уселся за него и включил компьютер.

– Карбальо – личность весьма своеобразная и может сойти за полоумного. Не отрицаю. Но вместе с тем он человек отважный, страстный – до такой степени, что руки чешутся врезать ему. Но мне нравятся люди, которые если уж верят во что-то, так – с неподдельной страстью. Слабость у меня к ним, что тут поделаешь. И, видит бог, именно таков Карбальо. – Говоря все это, Бенавидес водил мышкой по зеленой коже столешницы, и изображения на экране менялись: открывались и наплывали друг на друга окна, а в глубине появилась картинка, которую он выбрал фоном. Я не удивился, узнав одну из знаменитых фотографий Сади Гонсалеса, где был запечатлен трамвай, подожженный во время беспорядков 9 апреля. Она буквально источала дух насилия и кое-что говорил о человеке, который каждый раз, включая компьютер, желает видеть ее перед собой, но я предпочел не задумываться об этом: при желании в картинке можно было увидеть не опасность и разрушения того злосчастного дня, а всего лишь напоминание, простое историческое свидетельство.

– Вы уже выпили свой кофе? – осведомился Бенавидес.

Я показал ему пустую чашку, где на донышке остались коричневые круги, по которым кое-кто (не я) умеет гадать.

– Выпил.

– Очень хорошо. И пришли в себя или сварить еще?

– Я давно очнулся, доктор. Там, внизу, было другое… Это было…

– Умоляю, Васкес, не называйте меня доктором. Во-первых, в нашей стране это слово обесценено. Всех, всех и каждого здесь называют так. Во-вторых, я не ваш врач. В-третьих, мы друзья. Разве не так?

– Так, доктор. То есть Франсиско. Так, Франсиско.

– А друзья не признают титулов и званий. Или признают?

– Нет, Франсиско.

– Вас ведь тоже можно называть доктором, Васкес. Вы избрали стезю сочинительства, но сначала стали дипломированным адвокатом, а к ним в этой стране тоже обращаются «доктор», не правда ли?

– Правда.

– А знаете, почему я так не поступаю?

– Потому что мы друзья.

– Точно! Потому что мы друзья. И по этой же причине я вам доверяю. А вы – мне, я так полагаю?

– Да, Франсиско. Я вам доверяю.

– Совершенно верно. А коль скоро мы друг другу доверяем, я собираюсь сделать нечто такое, что возможно только меж теми, кто друг другу доверяет. Я сделаю это, потому что доверяю вам и потому что должен кое-что вам объяснить. Вы мне должны новый стакан для виски и дружеский ужин, а я вам – объяснения. И даже если б я вам не был должен – я бы вам их дал. Полагаю, вы сможете понять то, что я вам собираюсь показать. Понять и оценить. А это не всякому по плечу. Надеюсь, вам – да. Дай бог, дай бог, чтобы я не ошибся. Идите сюда, – велел он, указующим перстом очертив пространство подле своего кресла и перед столом с бумагами. – Сюда, сюда.

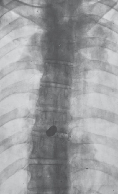
Я повиновался и оказался у монитора, который теперь преобразился. Все его пространство – если не считать нескольких иконок внизу, какие бывают практически на всяком мониторе – занимало изображение, и я сейчас же узнал рентгеновский снимок грудной клетки, а на нем меж тенями ребер виднелось прильнувшее к позвоночному столбу темное пятно, размером и формой напоминающее фасолину. Да, то ли я так и сказал: «Фасолина!», а то ли спросил: «А что это за фасолина такая?», и Бенавидес объяснил мне, что это никакая не фасолина, а сплющенная от удара о ребра пуля – одна из тех четырех, которыми 9 апреля 1948 года был убит Хорхе Эльесер Гайтан.


Кости Гайтана. Пуля, оборвавшая жизнь Гайтана. Я видел их, они были передо мной. Я понимал, что удостоился высокой чести. И подумал об уже мертвом лице Гайтана на знаменитом снимке и о том, как пришел в его дом в университетскую пору, когда начал интересоваться жизнью и смертью этого человека и их значением для нас, колумбийцев. Вспомнил застекленную витрину с костюмом-тройкой, который надел Гайтан в день своей гибели, и отверстия, оставленные в темно-синем сукне пулями Хуана Роа Сьерры. Одну из них я сейчас увидел в теле Гайтана. Бенавидес тоном хорошего преподавателя давал пояснения и комментарии, считал ребра и показывал невидимые внутренние органы, нараспев и наизусть, как стихи, декламируя целые фразы из протокола вскрытия. И одна из этих фраз – «не задета сердечная сумка и инфаркта следов никаких» – показалась мне достойной лучшей участи, но время сейчас явно было неподходящее для поэзии. Я мог лишь спрашивать себя, каким же это образом все это оказалось в руках Бенавидеса. А потом перестал спрашивать про себя и спросил про него, то есть вслух:

– Как же это возможно? Каким же образом это оказалось у вас в руках?

– Оригинал хранится у меня в ящике, – ответил Бенавидес на вопрос, который ему не задавали. – Ничего себе, а? И никому невдомек, что он здесь.

– Но откуда же он взялся?

Иллюстрация к книге — Нетленный прах [i_003.jpg]

Бенавидес позволил, чтобы на лице у него появилось нечто вроде улыбки: «Отец принес», – сказал он. Не «папа», как говорим мы, колумбийцы, даже став взрослыми и даже в разговоре с другими взрослыми, вовсе нам незнакомыми. В других испаноязычных странах такая манера гарантированно воспринимается как неуместная ребячливость или жеманство. У нас не так. А вот доктор Бенавидес неизменно называл отца «отец». И мне это по неведомой причине нравилось.

– Принес? – спросил я. – Откуда? Как к нему попал снимок?

– Хорошо, что вы спросили, – сказал Бенавидес. – Теперь наберитесь терпения, а я расскажу вам всю историю, не комкая.

Вход
Поиск по сайту
Ищем:
Календарь