Книга Потерявшая разум. Откровенная история нейроученого о болезни, надежде и возвращении, страница 31 – Барбара Липска, Элейн Макардл

Авторы: А Б В Г Д Е Ж З И Й К Л М Н О П Р С Т У Ф Х Ч Ш Ы Э Ю Я
Книги: А Б В Г Д Е Ж З И Й К Л М Н О П Р С Т У Ф Х Ц Ч Ш Щ Ы Э Ю Я
Бесплатная онлайн библиотека LoveRead.in

Онлайн книга «Потерявшая разум. Откровенная история нейроученого о болезни, надежде и возвращении»

📃 Cтраница 31

Каждый из этих моментов меня расстраивал, но я не могла сопоставить эти факты и понять, что они означают. Я будто не помнила, что всего пару недель назад у меня все отлично получалось. Не видела связи между серьезными проблемами с мозгом и тем, что разучилась готовить любимые блюда.

Несмотря на все мучения, которые я испытывала на кухне, моя одержимость едой никуда не делась. С середины июня по начало июля я набрала четыре с половиной килограмма, но меня это не беспокоило. После январской операции на мозге я очень похудела – во мне было чуть больше 50 килограммов. Меньше во взрослом возрасте я не весила никогда. Однако вскоре я поправлюсь до 63 килограммов. Будь я здорова, мне, с моим ростом 167 сантиметров, это показалось бы чересчур. Но тогда мне было плевать. Люди часто набирают вес из-за стероидов, но в моем случае дело было не только в этом. Я постоянно что-то жевала, даже если есть не хотелось. Просто все выглядело таким вкусным, что устоять было невозможно. Да и зачем?

Кася опасалась, что такое количество сахара может мне навредить, и мягко предлагала попытаться обуздать этот зверский аппетит. Она эндокринолог, поэтому ее очень беспокоило, что стероиды, которые я принимала, в сочетании с большим количеством углеводов могут привести к гипергликемии.

– Мам, ты что, хочешь съесть все это мороженое?

– Отстань, – огрызалась я. – Нечего мне указывать, что можно есть, а что нет. Сама разберусь.

Тогда никто из нас этого не понимал, но моя прожорливость была классическим признаком проблем с лобной долей. При этом стероиды еще сильнее подстегивали неуемный аппетит. Люди с лобно-височной деменцией обычно очень быстро полнеют, потому что у них нарушен механизм, тормозящий желание есть. Когда префронтальная кора работает как положено, мы можем взвесить все за и против, чтобы решить, идти ли на поводу у своих желаний. Но, когда эта функция подавлена, мы просто делаем все что вздумается, не заботясь о последствиях.

Я люблю сладости, поэтому буду их есть. И точка.


В среду, 24 июня мы с Миреком и Касей поехали к доктору Аткинсу решать, что делать дальше. Мне было очень интересно, что же он скажет. Энергия от стероидов била через край, я чувствовала себя значительно лучше и знала, что иду на поправку, даже несмотря на новые опухоли.

Я с улыбкой подошла к регистратуре, чтобы отметиться. Мирек с Касей, наоборот, были в плохом настроении. Они сидели в приемной мрачнее тучи, пока нас не позвала ассистентка доктора Аткинса.

– Здравствуйте! – радостно поздоровалась я. – Очень рада снова вас видеть!

Она грустно улыбнулась и проводила нас в кабинет.

Вошел доктор Аткинс с очень серьезным лицом и попросил нас сесть. Три медсестры – Келли, Бриджит и Дороти – стояли рядом и были чем-то сильно расстроены.

– Добрый день! – бодро сказала я, стараясь поднять всем настроение. – Ну, что у нас плохого?

– Как вы уже знаете, – ответил доктор, – у вас в мозге появились новые опухоли и…

– Значит, нам придется с ними разобраться, – перебила я. – У меня и раньше появлялись опухоли. В конце концов они усохнут и пропадут, поверьте.

Медсестра по имени Бриджит, которая стояла ближе к двери, не сдержалась и заплакала. Она отвернулась, утирая слезы.

– Да правда! Все нормально! – убеждала я их. – Я же говорю…

– Судя по всему, в вашем мозге по меньшей мере восемнадцать опухолей, – сказал доктор Аткинс.

Кася ахнула.

– Как вам известно, их было три, когда вы начали клинические испытания, – продолжал он. – С момента последней МРТ появилось как минимум еще пятнадцать.

– Восемнадцать? – срывающимся голосом переспросила Кася.

Мирек, сидевший рядом со мной, напрягся, но промолчал.

– Думаю, это не совсем так, – возразила я. – То, что вы там увидели, скорее всего, воспаление или…

Доктор Аткинс остановил меня и предложил посмотреть на снимки у него в кабинете. Кася вышла за ним, но я не двинулась с места, и Мирек остался со мной. Когда они вернулись, в глазах Каси стояли слезы.

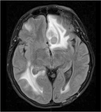
На снимках моего мозга четко виднелась россыпь черных точек, каждая размером с изюминку, – всего около восемнадцати, по словам доктора Аткинса. Самые крупные опухоли находились в лобной и теменной долях, но были и другие – в височной, в затылочной доле, в базальных ганглиях, расположенных в глубине мозга, которые помогают нам координировать движения. Позже Кася рассказала, что на снимках мой мозг был похож на ломоть хлеба с изюмом.

Самая большая опухоль, размером с миндалину, по словам доктора, находилась в лобной доле.

– Неудивительно, что ты сама на себя не похожа, – тихо сказала Кася.

– Брось, не так уж я изменилась!

Иллюстрация к книге — Потерявшая разум. Откровенная история нейроученого о болезни, надежде и возвращении [i_006.jpg]

Снимок моего мозга, сделанный 19 июня, на котором доктор Аткинс обнаружил новые опухоли (круглые образования) и обширный отек (белые области). Самая заметная опухоль – в верхней части снимка в префронтальной коре


Доктор Аткинс кивнул Касе и продолжил:

– Также на снимках видны несколько смазанных белых областей, которые указывают на сильнейший отек мозга.

– Мам, я люблю тебя, – проговорила Кася по-польски.

– Но от стероидов отек спадет! Мне уже намного лучше! – широко улыбаясь, сказала я.

Я обвела взглядом Мирека, молча смотревшего на меня, и медсестер, у которых опять глаза были на мокром месте.

Почему они так пессимистично настроены? Они все принимают слишком близко к сердцу. Можно подумать, настал конец света.

– Мне очень жаль, что иммунотерапия не помогла, – повторил доктор Аткинс. – Я надеялся, что она сработает.

Больше никто не сказал ни слова. В комнате повисла тяжелая тишина. Но я не сдавалась:

– Ну хорошо, а дальше что? Что будем делать?

– Мы проведем лучевую терапию, – ответил доктор. – Наш радиоонколог Шон Коллинз свяжется с вами в ближайшее время.

Но мы все понимали, что облучение – это не лекарство.

– А потом? – спросила я. – Что, если это не сработает?

Доктор Аткинс молчал.

– Пожалуйста, скажите мне, – попросила я. – Что будет потом?

Я чувствовала себя ученым, который спрашивает о подопытном образце в банке, как будто речь шла не о моей возможной смерти, а о чем-то совершенно постороннем.

– Вместе с отеком усилится давление на мозг, и вы, вероятно, впадет в кому, – ответил доктор.

Кома? Кома меня не пугает. Это звучит успокаивающе, как сон.

Вход
Поиск по сайту
Ищем:
Календарь