Книга Истории от разных полушарий мозга. Жизнь в нейронауке, страница 81 – Майкл Газзанига

Авторы: А Б В Г Д Е Ж З И Й К Л М Н О П Р С Т У Ф Х Ч Ш Ы Э Ю Я
Книги: А Б В Г Д Е Ж З И Й К Л М Н О П Р С Т У Ф Х Ц Ч Ш Щ Ы Э Ю Я
Бесплатная онлайн библиотека LoveRead.in

Онлайн книга «Истории от разных полушарий мозга. Жизнь в нейронауке»

📃 Cтраница 81

При этом Скотт имел еще одну профессию. Он был неврологом, врачом, который работал в академической среде. Прежде чем окончательно переключиться на исследования, он двадцать лет лечил людей. Он обходил больничные палаты, констатировал гибель мозга у пациентов, видел страдания, помогал любому человеку, переступившему порог его кабинета, и выполнял все прочие медицинские обязанности. По сравнению со всем этим трудности разного рода, с которыми он сталкивался на факультете психологии, казались ему мелкими неприятностями и никак не могли привести в состояние тревоги или сильного раздражения. Никто не мог похвастаться такой уравновешенностью, и это качество Скотта ценили все.

Такой его характер дополнялся еще и жадностью до идей и готовностью учить новичков непростым методам визуализации мозга. Поэтому, если к Скотту обращался кто-нибудь из социальных психологов, изучавший многоплановость личности, эмоциональный мозг, возможные способы, которыми мозг передает зрительную информацию из одной области в другую, или любую из десятков тем, он всегда делал все для того, чтобы исследование было выполнено корректно.

Исправление научных ошибок

В последний раз я имел дело с МРТ-сканером в Нью-Йорке, когда надо было проверить истинную степень расщепления мозга у нашей пациентки В. П. Обследование проводилось на томографе одной из первых моделей с магнитной индукцией 0,5 тесла. Машина позволяла получать отчетливые изображения, и на тот момент это было счастье. Наш новый дартмутский томограф был мощнее (магнитная индукция составляла 1,5 тесла), и мы могли поймать более детализированные и четкие сигналы от тканей мозга. Сейчас обычно используются машины с магнитной индукцией три тесла, а в научных лабораториях при обследовании людей – до семи тесла. Чем больше индукция магнитного поля, тем сильнее сигналы и тем более четкими выходят снимки, на которых можно разглядеть больше анатомических подробностей.

Когда пациентка В. П. приехала в Дартмут для участия в очередном эксперименте, мы подумали, что неплохо было бы снова ее просканировать. Мы хотели перепроверить снимки ее мозга и убедиться в том, что те волокна, которые, как мы думали, должны были остаться нетронутыми во время операции, действительно сохранились. В течение нескольких лет мы полагали, что хирург упустил часть волокон в задней области мозолистого тела и поэтому, вероятно, у полушарий оставалась возможность обмениваться какой-то зрительной информацией. Также у В. П. остались нерассеченными некоторые волокна на самом краю передней области мозолистого тела. Никто не знал, какую информацию могли передавать эти две зоны.

За несколько лет до этого Алан Кингстон сделал весьма интересное открытие – по-видимому, В. П. обладала кое-какими необычными способностями. Дж. У. и В. П. по-разному выполняли задания с составными словами. В случае Дж. У. никаких сомнений насчет сохранившихся волокон не было. Его послеоперационные МРТ-снимки были чисты как стеклышко. Если ему показывали разделенное на две части составное слово, например, правому полушарию – sky (“небо”), а левому – scraper (“скребок”), он рисовал правой рукой нож с зазубренным лезвием, а левой – небо в облаках. Не воспринимая эти слова вместе, небоскреб он не рисовал. А вот В. П. в каждом задании суммировала информацию (илл. 7).

Зная это, а также будучи уверенными, что те первые результаты нейровизуализации не просто любопытны, а еще и абсолютно верны, мы решили посмотреть, какого типа зрительная информация могла бы передаваться по сохранившимся волокнам в задней части мозолистого тела. Все наши прежние эксперименты говорили об участии в процессе задних волокон. Изучая с разных сторон этот вопрос, Маргарет Фаннелл обнаружила еще один загадочный эффект. В 99 % предложенных тестов В. П. вела себя точно так же, как любой другой пациент с расщепленным мозгом. Ей не удавалось выполнить перекрестные сравнения цветов, узоров, размеров и чего угодно еще, что мы предлагали обоим ее полушариям. И вот однажды, после задания с разными комбинациями раздражителей, Маргарет показала одному полушарию словосочетание “красный квадрат”, а другому – цветное изображение этой геометрической фигуры. А если точнее, то Маргарет показала слова правому полушарию, а на десятую долю секунды позже изображение красного квадрата вместе с еще одной фигурой – левому полушарию. Задание было несложным: как только одно полушарие увидит словосочетание, другое должно всего лишь выбрать не вторую фигуру (допустим, синий кружок), а именно красный квадрат. В. П. сделала все правильно. Однако нас поразило, что для успешного выполнения подобного задания одному из полушарий требовался раздражитель для сравнения именно в виде написанных слов. Когда мы показали не слова “красный квадрат”, а саму эту фигуру, В. П. не справилась с элементарным заданием! Возможно ли, чтобы какие-то из сохранившихся задних волокон избирательно передавали информацию о словах?

Иллюстрация к книге — Истории от разных полушарий мозга. Жизнь в нейронауке [i_007.jpg]

Илл. 7. Мы протестировали способность пациентки В. П. суммировать зрительную информацию [192]. Она могла это делать, поскольку во время операции по расщеплению мозга некоторые волокна мозолистого тела по случайности остались целыми.


Чарльз Хэмилтон, мой друг еще со времен Калтеха, проводил хитроумное исследование мозолистого тела у обезьян. Чак показал, что задний отдел мозолистого тела делится на отдельные зоны, которые обслуживают разные аспекты зрительного восприятия [193]. Это была сложная и красивая работа, и у нас сразу родилась идея, что в эксперименте с В. П. мы, вероятно, наткнулись на гомологичную [194]* структуру у человека, на те пути, что не напрямую связаны с простым опытом восприятия, а специфическим образом предназначены для высокоуровневой информации. Мы все это описали и, ликуя, отослали для публикации. Наша статья была принята и напечатана незамедлительно [195]. И уже после этого мы обследовали В. П. на новом аппарате.

Иллюстрация к книге — Истории от разных полушарий мозга. Жизнь в нейронауке [i_008.jpg]

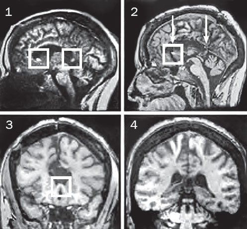
Илл. 8. МРТ-снимки мозга пациентки В. П. 1984 и 2000 года. Белыми квадратами выделены области интенсивного сигнала, которые наблюдались на обоих концах мозолистого тела в 1984 году (слайд 1) и на ростральном конце в 2000 году (слайд 2). Стрелки на слайде 2 указывают локализацию фронтальных срезов, показанных на слайдах 3 и 4. На слайде 3 показан срез через область интенсивного сигнала, обнаруженную в передней части мозолистого тела, где отчетливо видны сохранившиеся волокна. На слайде 4 показан срез через ту область задней части мозолистого тела, где в 1984 году мы наблюдали интенсивный сигнал. Здесь волокна явно рассечены.

Вход
Поиск по сайту
Ищем:
Календарь