Онлайн книга «Пять литров красного. Что необходимо знать о крови, ее болезнях и лечении»
|
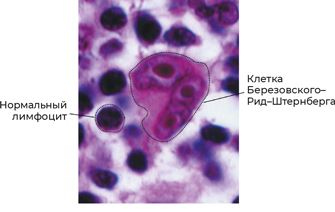
Чаще всего пациенты с подозрением на лимфому замечают у себя увеличенный лимфатический узел (лимфаденопатию), и именно с этого начинается постановка диагноза. В отличие от инфекции, которая провоцирует резкое и болезненное увеличение лимфоузлов, при лимфоме лимфатические узлы увеличиваются постепенно, обычно в течение нескольких месяцев, прежде чем на них обращают внимание. Чаще увеличенные узлы локализуются на шее или в подмышках. Хотя это увеличение не сопровождается никакими неприятными ощущениями, иногда болезненность возникает после употребления алкоголя. Также среди общих симптомов весь тот же стандартный «гематологический набор»: слабость, температура, потеря веса, ночная потливость, кожный зуд. Все эти симптомы не специфичны именно для лимфомы Ходжкина. Но, если они появились и не проходят в течение некоторого времени, это серьезный повод обратиться к врачу. Чем раньше будет установлен правильный диагноз, тем выше шанс на полное излечение. Правильно установленный диагноз с уточнением гистологического варианта и стадии заболевания – залог успешного лечения. При подозрении на лимфому Ходжкина в первую очередь необходимо выполнить общеклинический анализ крови, в результатах которого важно обратить внимание на лейкоцитарную формулу, уровень гемоглобина и тромбоцитов и, что немаловажно для этого заболевания, СОЭ. Снижение гемоглобина и ускорение СОЭ говорят о косвенном поражении костного мозга и учитываются при определении прогноза. Другие тесты проводятся по показаниям. Для подтверждения диагноза лимфомы Ходжкина обязательно обнаружение клеток Березовского‒Рид‒Штернберга. Для этого проводят биопсию увеличенного лимфоузла – такое исследование является обязательным для диагностики этого заболевания. Подробно про такую процедуру написано в главе 9. Полученную при биопсии ткань готовят специальным образом и делают тонкие срезы, которые затем изучают под микроскопом. Очень часто требуется дополнительное исследование – иммуногистохимия. ![]() Рис. 25. Клетки Березовского – Рид – Штернберга в лимфатическом узле Иммуногистохимия – диагностический метод, использующий моноклональные антитела (о них мы поговорим в следующей части). Окрашивание среза ткани моноклональными антителами позволяет определить тип опухоли и подобрать необходимое лечение. После окрашивания срез помещают под микроскоп, и, зная, какие опухоли окрашиваются теми или иными антителами, можно определить происхождение опухоли. Сегодня такой анализ является обязательным для подтверждения первичного диагноза, особенно если лечение требует использования дорогих лекарств. Другие методы исследований используются для определения распространенности заболевания и стадирования. На начальных этапах обследования делают рентгенографию грудной клетки и УЗИ всех доступных лимфатических узлов, в том числе внутри живота. Этот простой метод позволяет выявить увеличенные лимфоузлы. Как правило, УЗИ делается в рамках скрининга – это более дешевое исследование, и аппараты УЗИ есть практически в каждой поликлинике. Если же заболевание выявлено, необходимо определиться с лечением и следить за его прогрессом (отслеживать эффективность терапии), то назначаются более современные методы исследования, такие как КТ и ПЭТ-КТ. Врачи сразу получают необходимую информацию об увеличенных лимфоузлах во всех областях, а также о возможных изменениях формы и размеров всех внутренних органов. Для исключения поражения костного мозга необходимо проведение трепанобиопсии (подробно мы говорили об этом методе исследования в главе 8). В некоторых случаях используют эндоскопические методы исследования: бронхоскопию и гастроскопию, а также другие хирургические методы диагностики, например лапароскопию или торакоскопию, при сложном доступе или расположении опухолевых узлов в грудной клетке или брюшной полости [68]. Я не буду подробно останавливаться на разнообразии гистологических вариантов лимфом, а перейду к более важной теме – стадированию. Четыре стадии лимфомы
«Стадия» – термин, который используется для того, чтобы описать распространенность болезни в организме. Развитие лимфомы обычно протекает в четыре стадии: на первой и второй отмечается локальное поражение лимфатических узлов, в то время как третья и четвертая считаются распространенными [69], [70], [71], [72]. |
![Иллюстрация к книге — Пять литров красного. Что необходимо знать о крови, ее болезнях и лечении [i_121.jpg] Иллюстрация к книге — Пять литров красного. Что необходимо знать о крови, ее болезнях и лечении [i_121.jpg]](img/book_covers/102/102149/i_121.jpg)
![Иллюстрация к книге — Пять литров красного. Что необходимо знать о крови, ее болезнях и лечении [i_122.jpg] Иллюстрация к книге — Пять литров красного. Что необходимо знать о крови, ее болезнях и лечении [i_122.jpg]](img/book_covers/102/102149/i_122.jpg)
![Иллюстрация к книге — Пять литров красного. Что необходимо знать о крови, ее болезнях и лечении [i_123.jpg] Иллюстрация к книге — Пять литров красного. Что необходимо знать о крови, ее болезнях и лечении [i_123.jpg]](img/book_covers/102/102149/i_123.jpg)
![Иллюстрация к книге — Пять литров красного. Что необходимо знать о крови, ее болезнях и лечении [i_124.jpg] Иллюстрация к книге — Пять литров красного. Что необходимо знать о крови, ее болезнях и лечении [i_124.jpg]](img/book_covers/102/102149/i_124.jpg)
![Иллюстрация к книге — Пять литров красного. Что необходимо знать о крови, ее болезнях и лечении [i_125.jpg] Иллюстрация к книге — Пять литров красного. Что необходимо знать о крови, ее болезнях и лечении [i_125.jpg]](img/book_covers/102/102149/i_125.jpg)
![Иллюстрация к книге — Пять литров красного. Что необходимо знать о крови, ее болезнях и лечении [i_126.jpg] Иллюстрация к книге — Пять литров красного. Что необходимо знать о крови, ее болезнях и лечении [i_126.jpg]](img/book_covers/102/102149/i_126.jpg)
![Иллюстрация к книге — Пять литров красного. Что необходимо знать о крови, ее болезнях и лечении [i_127.jpg] Иллюстрация к книге — Пять литров красного. Что необходимо знать о крови, ее болезнях и лечении [i_127.jpg]](img/book_covers/102/102149/i_127.jpg)