Книга Пять литров красного. Что необходимо знать о крови, ее болезнях и лечении, страница 18 – Михаил Фоминых

Авторы: А Б В Г Д Е Ж З И Й К Л М Н О П Р С Т У Ф Х Ч Ш Ы Э Ю Я
Книги: А Б В Г Д Е Ж З И Й К Л М Н О П Р С Т У Ф Х Ц Ч Ш Щ Ы Э Ю Я
Бесплатная онлайн библиотека LoveRead.in

Онлайн книга «Пять литров красного. Что необходимо знать о крови, ее болезнях и лечении»

📃 Cтраница 18
Иллюстрация к книге — Пять литров красного. Что необходимо знать о крови, ее болезнях и лечении [i_045.jpg]

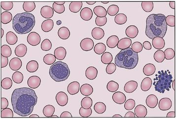
Рис. 8. Окрашенный мазок крови


Составной краситель, как я уже говорил, состоит из нескольких химических соединений – щелочной (основные, или базовые, красители) и кислой (кислотные красители) реакции, под воздействием которых составляющие клеток крови (кислотной или основной природы) по-разному окрашиваются. Таким образом становится легче определить их морфологию – строение и форму.

Окрашивание применяется в основном, чтобы выявить разные виды лейкоцитов. Эритроциты и тромбоциты имеют характерное строение, и оценить их морфологию довольно легко. А вот разные виды лейкоцитов достаточно сходны между собой: только когда мы их окрашиваем, они начинают выглядеть по-разному.

Например, гранулы внутри эозинофилов окрашиваются в оранжево-розовый цвет. Они являются структурами основной (щелочной) природы и получили название в честь кислотного красителя, который их так окрашивает, – эозина. А он, в свою очередь, носит имя древнегреческой богини утренней зари Эос.

Гранулы базофилов, напротив, окрашиваются в интенсивный сине-фиолетовый цвет. Они представляют собой структуры кислой природы, поэтому окрашиваются базовыми красителями, отсюда и название.

Ядра лейкоцитов красятся в фиолетово-красный цвет, и некоторые виды лейкоцитов получили свои названия из-за разной формы под микроскопом, например палочкоядерные и сегментоядерные.

Иллюстрация к книге — Пять литров красного. Что необходимо знать о крови, ее болезнях и лечении [i_046.jpg]

Рис. 9. Мазок крови под микроскопом


Осторожно сдвигая окрашенный мазок в поле зрения микроскопа, врач считал клетки каждого вида (отличающиеся по форме ядра, цвету цитоплазмы и гранул) и их общее количество. Насчитав в совокупности 100, он получал требуемое процентное соотношение каждого вида клеток. Для облегчения подсчета использовались счетчики лейкоцитарной формулы с отдельными клавишами для каждого вида клеток. Если обнаруживались какие-либо отклонения от нормы, обязательно просматривали еще 100 лейкоцитов.

И да, после этих процедур все использовавшиеся при конкретном анализе скарификаторы, пробирки, капилляры, пипетки промывались, заворачивались в крафт-бумагу и стерилизовались при температуре 180 ºС в сухожаровом шкафу.

Современные процедуры клинического анализа крови

В соответствии с Национальным стандартом России по обеспечению качества лабораторных исследований сейчас клинический анализ крови проводится из венозной крови, за исключением особых клинических ситуаций вроде забора крови у малышей. Да и при заборе капиллярной крови скарификаторы-копья (уже одноразовые) уступили место одноразовым автоматическим ланцетам с узкой режущей частью (иглой), имеющим разную глубину прокола и не вызывающим болезненных ощущений. Для различения ланцетов с разными размерами игл и глубиной прокола они окрашены в разный цвет. До момента прокола игла (или лезвие) скрыта в корпусе и после забора анализа убирается обратно и блокируется, не допуская повторного использования ланцета. Капилляры Панченкова на сегодняшний день в ряде регионов вообще под запретом, так что забор крови в пробирку осуществляется либо одноразовым капилляром end-to-end, либо самотеком. СОЭ определяется с помощью пробирок Вестергрен; впрочем, суть метода и используемый реактив (цитрат натрия) остались теми же самыми.

А вот для определения гемоглобина применяется уже не метод Сали с применением соляной кислоты, а трансформирующий реагент – смесь ацетонциангидрина, калия железосинеродистого и гидрокарбоната натрия. При реакции гемоглобина с ним образуется гемиглобинцианид, причем интенсивность окраски содержимого пробирки, измеряемая уже не на глазок, а спектрофотометрами или фотоэлектроколориметрами, пропорциональна количеству гемоглобина.

Для забора крови из вены в наши дни используются устройства, которые называются вакутайнеры (или вакутейнеры). Название Vacutainer является зарегистрированной торговой маркой фирмы Becton Dickinson and Company (США). Вакутайнер состоит из стерильной одноразовой иглы и пластиковой пробирки (непосредственно вакутайнера). Пробирки (опять же применяется цветовая маркировка) содержат внутри дозированный объем вакуума для разного объема проб крови, разделительный гель (разделяет сыворотку и сгусток после центрифугирования) и различные антикоагулянты (тогда пробирки силиконизируют, то есть наносят на них силиконовое покрытие для избежания контактной активации свертывания крови) или же, наоборот, активаторы свертывания. В таких пробирках удобно хранить длительное время и транспортировать образцы крови, что позволяет обеспечить централизацию лабораторных исследований.

Иллюстрация к книге — Пять литров красного. Что необходимо знать о крови, ее болезнях и лечении [i_047.jpg]

Рис. 10. Получение крови из вены с помощью вакутайнера


В середине XX века на смену ручному анализу клеток крови пришел автоматический метод. Технику автоматизированного подсчета клеток разработали в 1947 году братья Джозеф и Уоллес Культеры. Созданная ими компания Coulter Corporation была приобретена в 1997 году фирмой Beckman Instruments, сменившей свое название на Beckman Coulter, на сегодняшний день она является одним из ведущих игроков на рынке клинической диагностики.

Принцип работы счетчика основан на кондуктометрическом (или апертурно-импедансном) методе. Каждая клетка крови, плавающая в емкости с раствором электролита, увлекаемая потоком, проходит через отверстие очень маленького диаметра (апертуру) в погруженной в емкость трубке, из которой жидкость отсасывается насосом. Внутри и снаружи трубки расположены два электрода, так что, когда при прохождении клетки через апертуру вытесняется определенный объем электролита, это приводит к возрастанию сопротивления (импеданса) и изменению тока, протекающего в электролите, пропорционально размеру клетки.

Если в апертуре одновременно находятся две или более клетки, это приведет к ошибке подсчета, поэтому проба крови разводится до такой концентрации, при которой в апертуре датчика всегда будет не больше одной клетки. Анализируя количество и амплитуду импульсов, можно определить число и объем частиц, прошедших через апертуру. А измерив количество жидкости, пропускаемой через апертуру, можно вычислить концентрацию частиц в пробе.

Понятно, что небольшие по размеру тромбоциты легко выделить по амплитуде импульсов, но определение количества лейкоцитов, близких по размеру к эритроцитам, возможно только после лизиса (растворения) эритроцитов, поэтому при подсчете лейкоцитов в разведенную суспензию крови добавляют лизирующий раствор. Различение популяций лейкоцитов при кондуктометрическом методе невозможно из-за близости их размеров, однако можно подобрать такой состав растворителя, при котором различные формы лейкоцитов в разной степени меняются в размерах, что позволяет провести их подсчет.

Вход
Поиск по сайту
Ищем:
Календарь