Книга Что такое наука, и как она работает, страница 46 – Джеймс Цимринг

Авторы: А Б В Г Д Е Ж З И Й К Л М Н О П Р С Т У Ф Х Ч Ш Ы Э Ю Я
Книги: А Б В Г Д Е Ж З И Й К Л М Н О П Р С Т У Ф Х Ц Ч Ш Щ Ы Э Ю Я
Бесплатная онлайн библиотека LoveRead.in

Онлайн книга «Что такое наука, и как она работает»

📃 Cтраница 46
Разрывы восприятия: не видеть того, что есть

Помимо поиска несуществующих закономерностей в случайных данных, люди также обладают удивительной способностью не замечать то, что находится прямо перед ними. Некоторые люди обладают сверхъестественной способностью запоминать детали недавнего опыта; однако в целом люди сплошь и рядом упускают большую часть этих деталей. Побывав в комнате или став свидетелем какой-либо сцены, люди обычно не замечают такие детали, как цвет, форма, узор или даже предмет целиком. Эта неудача распространяется не только на новые или незнакомые места; большинству людей трудно описать мелкие детали своих спален или гостиных (помещений, где они проводят много времени ежедневно). Конечно, неоднократное знакомство с обстановкой приведет к большему знанию о ней по сравнению с однократным посещением; тем не менее большинство людей запоминают лишь отдельные признаки знакомых мест. Изображение внешнего мира проецируется на сетчатку и передается в кору, но не обязательно включается в сознательное наблюдение.

Когнитивные эксперименты продемонстрировали удручающе низкую способность людей к развернутому наблюдению. В ходе известного и часто упоминаемого эксперимента Кристофера Шабриса и Дэниэла Саймонса подопытным демонстрировали фильм, в котором игроки перебрасывают друг другу баскетбольный мяч [129]. Игроки были одеты в черную или белую форму, и наблюдателям было поручено подсчитать, сколько раз мяч был передан и получен игроками в черной форме. Во время фильма человек в костюме гориллы ходит по экрану, останавливается в центре, бьет себя в грудь, а затем уходит с экрана. Но это заметили только 54 % зрителей! Этот эффект получил название «слепота невнимания» [130], или «перцептивная слепота». Вы можете сами посмотреть видео [131], хотя, заранее зная, что вы ищете, вы исключите слепоту невнимания.

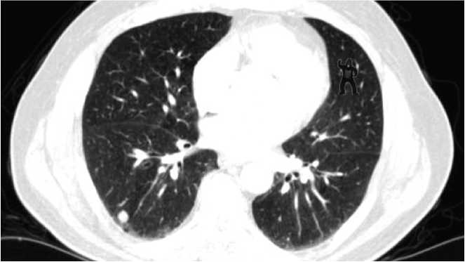
Слепота невнимания — это не просто следствие первого наблюдения незнакомой сцены (например, баскетбольного матча с участием гориллы). Дефект восприятия также распространяется на людей, которые проводили бесчисленные часы, наблюдая одну и ту же сцену снова и снова. Например, было проведено исследование с участием радиологов, которые анализируют компьютерную томографию при диагностике рака легких [132]. Радиологам показали пять снимков компьютерной томографии с опухолевыми узлами и попросили описать их. Небольшое изображение гориллы было помещено в верхний правый квадрант пятого снимка (рис. 6.4). После того как радиологи закончили писать заключение по пятому снимку, им задали три вопроса:


1. Это последнее испытание чем-то отличалось от предыдущих?

2. Вы заметили что-нибудь необычное на последнем испытании?

3. Вы видели гориллу на последнем испытании?

Иллюстрация к книге — Что такое наука, и как она работает [img_9.jpg]

Рис. 6.4. Слепота невнимания в действии


Из 24 участвовавших в исследовании радиологов только 4 (17 %) заметили гориллу. Исследователи отслеживали движения глаз рентгенологов, поэтому они могли опровергнуть предположение о том, что изображение гориллы просто не попало в поле зрения участников — рентгенологи его видели. Но, несмотря на визуально ощущаемые данные, большинство участников не воспринимали гориллу; они искали паттерны, указывающие на рак, и любые другие детали того, что было прямо перед ними, отсеивались где-то на пути между глазами и их сознанием.

Недостаток внимания к деталям также распространяется на взаимодействие с трехмерными объектами. Ярким примером является эксперимент, в котором люди встречают другого человека, с которым они ранее не встречались (например, продавца за прилавком). Когда испытуемый отворачивается, продавец прячется под прилавком, и его заменяет совершенно другой человек. Новый продавец может быть одет в такую же униформу и иметь общие черты с предшественником, но это ощутимо разные люди. Тем не менее 75 % людей в этом опыте не замечают подмену [133]. Это называется слепотой к изменению, и это еще один пример того, насколько неверно мы воспринимаем мир. Эта проблема не ограничивается зрением, так как 40 % людей не замечают смены голоса диктора в середине списка слов, которые он читает вслух [134]. Также была описана тактильная форма слепоты к изменению [135] [136].

Вторая проблема, отличная от слепоты к чувственным данным, — это искажение данных. Хотя, как мы уже убедились, человеческий разум не собирает непрерывный поток данных, человеческое восприятие конкретного события обычно принимает форму непрерывного повествования. Это происходит потому, что мозг заполняет пробелы там, где фактически наблюдаемые детали отсутствуют. Поскольку недостающие пробелы с обеих сторон окружены реальным восприятием, мозг обычно правильно заполняет данные. Это происходит, когда мозг подставляет детали во время событий, протекающих слишком быстро, чтобы их можно было обработать.

Бейсболисты регулярно отбивают мяч, летящий со скоростью более 140 км/ч. На самом деле бейсболисты успевают заметить только часть траектории полета мяча, но они знают, что наблюдают непрерывный полет. Они могут взмахнуть битой, чтобы отбить мяч, даже если не могут разглядеть полет мяча и его столкновение с битой. Их мозг восполняет эти недостающие детали.

Процесс подстановки деталей не ограничивается созданием континуума для движущихся объектов, а распространяется на все виды наблюдений. Хорошо известно, что многие очевидцы дают разные и противоречивые описания одного и того же события. Они получали одинаковую визуальную информацию в виде света, падающего на их сетчатку, но их мозг выстраивал очень разные изображения, и в конечном итоге они «видели» разные вещи («видели» в смысле когнитивной функции восприятия или конструирования события в человеческом мозгу). Что особенно важно, так это то, что многие свидетели будут абсолютно и недвусмысленно уверены, что именно их версия событий является правильной.

Вход
Поиск по сайту
Ищем:
Календарь